Immunoblast
Een immunoblast is een lymfocyt die is geactiveerd door een antigeen en zich vervolgens klonaal vermeerdert om het aantal lymfocyten te vergroten dat in staat is zich aan dat antigeen te binden. Immunoblasten zijn de meest onrijpe cellen die betrokken zijn bij een immuunrespons.
Geactiveerde B-cellen kunnen differentiëren tot B-geheugencellen of plasmacellen, terwijl geactiveerde T-cellen kunnen differentiëren tot T-geheugencellen of effectorcellen, zoals cytotoxische T-cellen of T-helpercellen, die bijdragen aan de immuunrespons.
Histologie
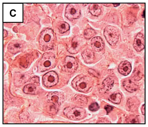
De meeste lymfocyten zijn klein en hebben een dunne rand cytoplasma, met een diameter van 6-9 μm, ongeveer even groot als rode bloedcellen (diameter 7,5 μm). Grote lymfocyten (12-18 μm in diameter) zijn waarschijnlijk geactiveerde, oftewel immunoblasten, cellen met een lichtere en bredere rand cytoplasma en worden vaak verward met monocyten. Ze hebben een matig tot overvloedig basofiel cytoplasma en een prominente, centraal gelegen, trapeziumvormige enkele nucleolus die vaak fijne strengen chromatine aan het kernmembraan heeft vastzitten ('spinnenpoten'). In sommige gevallen vertonen immunoblasten enkele morfologische kenmerken van plasmacellen. Centroblasten onderscheiden zich van immunoblasten doordat ze grote lymfocyten zijn met een matige hoeveelheid cytoplasma, ronde tot ovale vesiculaire (d.w.z. met kleine met vloeistof gevulde) celkernen, vesiculair chromatine en 2-3 kleine nucleoli die zich vaak naast het kernmembraan bevinden. Zowel immunoblasten als centroblasten zijn afgeleid van B-cellen.[1]
![]() |
![]() |
- Dit artikel of een eerdere versie ervan is een (gedeeltelijke) vertaling van het artikel Immunoblast op de Engelstalige Wikipedia, dat onder de licentie Creative Commons Naamsvermelding/Gelijk delen valt. Zie de bewerkingsgeschiedenis aldaar.
Referenties
- ↑ Li S, Young KH, Medeiros LJ (January 2018). Diffuse large B-cell lymphoma. Pathology 50 (1): 74–87. PMID 29167021. DOI: 10.1016/j.pathol.2017.09.006.
cropped_A.png)
_cropped.png)