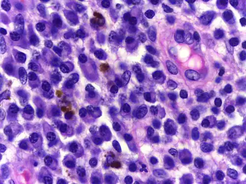
Plasmacel

Plasmacellen[1] of plasmocyten[1] zijn immunoglobuline producerende witte bloedcellen, die ontstaan zijn uit B-lymfocyten. Plasmacellen worden gekenmerkt door:
- een grote hoeveelheid cytoplasma,
- een excentrisch gelegen celkern die een radstructuur vertoont,
- en met daaromheen een perinucleair, optisch leeg 'hofje'.
B-cellen ontwikkelen zich tot plasmacellen, na activatie door een T-helpercel, via de T-celafhankelijke B-celrespons. In het geval van een structureel eenvoudig antigen kan dit ook zonder T-cellen: een T-celonafhankelijke B-celrespons.
Plasmacellen ontstaan uit B-lymfocyten in 'perifere, secundaire lymfoïde organen', zoals daar zijn de milt en de lymfeklieren. De B-lymfocyten geraken vanuit het bloed in deze organen op dezelfde manier als T-cellen, en zullen er alleen levend blijven als ze hun overeenkomstige antigen vinden. Indien dit antigen, gepresenteerd op T-helpercellen, er niet is, gaan ze dood of keren ze vanuit het lymfoïde orgaan terug naar het bloed. In geval van activatie in de secundaire lymfoïde organen, migreren de gevormde plasmacellen via lymfe en bloed naar het beenmerg. Ze zullen van daaruit grote hoeveelheden antilichamen naar het bloed sturen. Voorts kunnen de B-cellen ook zelf in het lichaam worden verspreid, en vervolgens geactiveerd worden via de T-celonafhankelijke B-celrespons. Zo zullen ze bijvoorbeeld vanuit het bloed de nodige antilichamen aanmaken.