Coeliakie
| Inheemse spruw | ||||
|---|---|---|---|---|
| Coeliakie | ||||
![]() | ||||
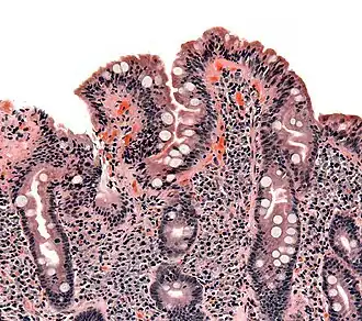
Biopsie van de dunne darm met coeliakie in Marsh-fase 3 met partiële of volledige villusatrofie wat zich uit in aftopping van de darmvlokken, crypt-hyperplasie en lymfocyt-infiltratie van de crypten. (Een crypt is een darmsapklier.) | ||||
| Synoniemen | ||||
| Latijn | morbus coeliacus[1][2] coeliacia[3] | |||
| Nederlands | glutenenteropathie[2] darmspruw[2] | |||
| Coderingen | ||||
| ICD-11 | ||||
| OMIM | 212750 | |||
| DiseasesDB | 2922 | |||
| DOID | 10608 | |||
| MedlinePlus | 000233 | |||
| eMedicine | med/308 | |||
| MeSH | D002446 | |||
| ||||
Coeliakie[2] ("seuliakíe"[2]) is een chronische darmaandoening die ongeveer één procent van de bevolking treft. Meer specifiek betreft het een gluten-intolerantie, die bij een onaangepast dieet leidt tot beschadiging van het darmslijmvlies. De aandoening wordt waarschijnlijk veroorzaakt door een immunologische reactie tegen een van de eiwitten van het glutencomplex. Het lichaam vormt daarbij antistoffen uit de IgA-klasse. 'Gluten' of 'kleefeiwit' is de naam voor een groep van eiwitten die voorkomen in alle graansoorten, maar niet alle graaneiwitten bevatten de gliadine-fractie, die de oorzaak is van coeliakie. De aandoening leidt bij deze patiënten tot een verminderde absorptie (malabsorptie) van voedingsstoffen, die verbetert bij het volgen van een glutenvrij dieet. Coeliakie wordt al decennialang voornamelijk geassocieerd met maag-darmklachten. Uit recenter onderzoek blijkt echter dat tegenover elke coeliakiepatiënt met maag-darmklachten er acht staan zonder deze symptomen.[6]
Pathogenese (ziekteverloop)
Intussen zijn enkele componenten van het kleefeiwit die de allergie veroorzaken geïdentificeerd. Ze behoren tot de in alcohol oplosbare fractie van tarwe-eiwitten (ook gerst, spelt en rogge bevatten deze eiwitcomponenten, het zogeheten prolamine). Deze bestanddelen worden gliadine genoemd en bestaan grotendeels uit de aminozuren proline en glutamine. Deze bestanddelen wekken een overgevoeligheidsreactie van het immuunsysteem en het darmslijmvlies op bij patiënten die hier gevoelig voor zijn, er is sprake van een auto-immuunziekte. Het afweersysteem van deze mensen herkent het gluten als "gevaarlijk", waarop een immunologische en ontstekingsreactie volgt. Antigeen-presenterende cellen, die deel uitmaken van het immuunsysteem, produceren verscheidene HLA-klassen (HLA I, DR en DQ). Bepaalde bestanddelen van het kleefeiwit (het gliadinepeptide) binden aan de bij deze patiënten overvloedig voorkomende HLA-DQ2-antigenen. Deze binding wordt versterkt door glutamine, dat talrijk in het gliadine-peptide aanwezig is. Het enzym tissue-transglutaminase produceert glutaminezuur uit dit glutamine. Door deze configuratieverandering bindt gliadine beter in het slot van het HLA-eiwit. Het gevormde complex van gliadine en het HLA-DQ2-antigen bindt op zijn beurt aan speciale lymfocyten (T-helpercellen van het CD4+ type), en zorgt hierbij voor een toegenomen productie van ontstekingsmediatoren (interferon-γ, TNF-α, interleukine-6 en interleukine-2).
In een verdergevorderde fase van de ontsteking worden verscheidene antilichamen gevormd. Van deze antilichamen weet men tot op heden niet of ze een oorzakelijke factor zijn bij het ontstaan van coeliakie of dat ze gevormd worden door geassocieerde auto-immuunreactie. Naast antilichamen tegen het kleefeiwit zelf (gliadine-antilichaam) komen ook antilichamen tegen lichaamseigen antigenen voor (zogeheten auto-antilichamen), zoals tegen het tissue-transglutaminase. Op basis van deze waarneming wordt coeliakie vanuit pathofysiologische grond eveneens beschouwd als auto-immuunziekte. Gliadine vormt de uitlokkende component van de aandoening. Voor het tot stand komen van de symptomen is hoofdzakelijk de auto-immunologische reactie tegen lichaamseigen eiwitten verantwoordelijk. Als eindfase van de ontstekingscascade treedt geprogrammeerde celdood (=apoptose) van de enterocyten in. Deze celdood leidt tot een meer of minder uitgesproken verlies van darmvlokken (vlokatrofie). Hierdoor worden voedingsstoffen niet meer goed opgenomen (wat onder andere tot energieverlies en vermagering leidt, en bij kinderen tot een slechte groei) en vaak ontstaat een vettige, volumineuze diarree.
Marsh Classification
De klassieke pathologische veranderingen bij coeliakie kunnen gecategoriseerd worden volgens de "Marsh Classification" [7]:
- Marshfase 0: normale mucosa
- Marshfase 1: toegenomen aantal intra-epitheliale lymfocyten, gewoonlijk meer dan 20 per 100 enterocyten
- Marshfase 2: proliferatie van de crypten van Lieberkühn
- Marshfase 3: partiële of volledige villusatrofie
- Marshfase 4: hypoplasie van de dunnedarmarchitectuur
Deze veranderingen verbeteren of verdwijnen compleet nadat een glutenvrij dieet wordt gevolgd.
In sommige gevallen kan een test gedaan worden na het eten van gluten om de diagnose aan te nemen dan wel te weerleggen (gluten challenge). Een normale biopsie en serologie na deze test kunnen een aanwijzing vormen dat de initiële diagnose incorrect was. Patiënten dienen gewaarschuwd te worden dat men de aandoening niet ontgroeit (zoals bij sommige voedselintoleranties bij kinderen) en men dus een levenslang glutenvrij dieet dient te volgen.
Symptomen
De symptomen van coeliakie werden voor het eerst beschreven door de Griekse arts Aretaeos in het jaar 100. De kenmerkende maag-darmklachten gaven de aandoening haar naam: 'koilia' is Grieks voor buik. De symptomatologie varieert enorm tussen patiënten onderling. Bij kinderen tussen 9 en 24 maanden staan groeiachterstand en darmgerelateerde symptomen (aansluitend op het eerste contact met glutenbevattende producten) voorop. Bij oudere kinderen kunnen voornamelijk absorptiegerelateerde symptomen en psychosociale problemen aanwezig zijn. Bij volwassenen staan symptomen in verband met de malabsorptie van nutriënten voorop. De klassieke symptomen zijn diarree, flatulentie, gewichtsverlies en vermoeidheid. Ondanks de chroniciteit van de aandoening, zijn de symptomen vaak mild waardoor vele patiënten hulp zoeken rond het 50e levensjaar. Ze presenteren zich dan met milde uitingen van de ziekte zoals moeheid of anemie. In sommige gevallen bestaat er een karakteristieke blaasjesvormende huidaandoening (dermatitis herpetiformis) naast de darmaandoening[8].
De volgende symptomen doen zich voor bij coeliakie:
- chronische diarree
- onregelmatige ontlasting, overmatige ontlasting en/of opstopping (constipatie)
- gewichtsverlies
- groeiachterstand (vooral bij jonge kinderen)
- een opgezette buik
- bloedarmoede
- gebrek aan eetlust
- braken
- lusteloosheid
- slaperigheid
- botontkalking (osteoporose)
- sterke stemmingswisselingen
- een late puberteit
- spierklachten
- vruchtbaarheidsproblemen
- zenuwaandoeningen
- psychische klachten
Gastro-intestinaal
De karakteristieke diarree bij coeliakie is bleek en volumineus met een penetrante geur. Abdominale pijn en krampen, een opgezette buik (door fermentatie in het colon) en zweertjes in de mond[9] kunnen aanwezig zijn. Bij het voortschrijden van de ziekte kan zich tot op zekere hoogte een lactose-intolerantie ontwikkelen. De waaier aan gastro-intestinale symptomen is echter zeer breed. De klachten worden dan ook vaak toegeschreven aan het prikkelbaredarmsyndroom, waarna de aandoening pas later als coeliakie wordt herkend. Een klein percentage van patiënten met het prikkelbaredarmsyndroom heeft onderliggend coeliakie, waardoor screening op deze aandoening dan ook aangewezen lijkt[10].
Coeliakie wordt in verband gebracht met een verhoogd risico op het ontwikkelen van adenocarcinoom en maligne lymfoom van de dunne darm. Het risico op deze maligniteiten keert terug naar basisniveau bij het volgen van een aangepast glutenvrij dieet. De aandoening kan eveneens leiden tot jejunumzweren en vernauwde darmlumen door littekenvorming[11].
Symptomen gerelateerd aan malabsorptie
De veranderingen in het slijmvlies van de dunne darm maakt het moeilijker om nutriënten, mineralen en vetoplosbare vitamines (A, D, E, K) te absorberen:
- De moeilijkheden om koolhydraten en vetten te absorberen kan gewichtsverlies en vermoeidheid veroorzaken (of groeistoornissen/groeiachterstand in kinderen);
- Anemie kan zich ontwikkelen via verscheidene wegen zoals de malabsorptie van ijzer (ijzergebreksanemie), foliumzuur en vitamine B12 (megaloblastische, pernicieuze anemie);
- De malabsorptie van calcium en vitamine D (en de compensatoire secundaire hyperparathyreoïdie) kan leiden tot osteopenie (een verminderd mineraalgehalte van het bot) of osteoporose (vermindering van de botdensiteit met normale mineraalgehaltes);
- Een kleine proportie van de patiënten (10%) heeft een abnormale bloedstolling veroorzaakt door een tekort aan vitamine K.
- Coeliakie is eveneens geassocieerd met een bacteriële kolonisatie van de dunne darmen(small intestinal bacterial overgrowth, SIBO)[12].
Diagnose

De diagnose wordt vaak gesteld door een kinderarts of een internist. Ook kunnen bepaalde antistoffen in het bloed worden aangetoond (anti-gliadine en anti-endomysiumantistoffen) die de diagnose waarschijnlijk maken. Op basis van de klachten is de diagnose in typische gevallen vaak al vrij zeker, maar voor een definitieve diagnose is een endoscopie van de dunne darm nodig, waarbij een biopsie van het darmweefsel wordt gedaan, die de typische ontstekingsreactie van de darmwand laat zien. De tests verliezen echter hun bruikbaarheid wanneer de patiënt reeds een glutenvrij dieet volgt. De darmbeschadigingen beginnen te genezen binnen enkele weken nadat de patiënt met een glutenvrij dieet is begonnen.
Endoscopisch onderzoek is aangewezen wanneer enkele kernsymptomen aanwezig zijn of er een positieve serologie aanwezig is. In een studie[13] worden volgende kernsymptomen als indicatie beschouwd voor een endoscopie:
- gewichtsverlies of grote gewichts toename (met een bol/opgezette buik)
- anemie (hemoglobine minder dan 6,8 mmol/l bij vrouwen en minder dan 7,5 mmol/l bij mannen)
- diarree (meer dan driemaal daags).
Bloedtesten
Antilichamen
De serologische bepaling van antilichamen is bruikbaar in het aantonen (specificiteit van ongeveer 95%) en het uitsluiten (sensitiviteit van ongeveer 98%) van de ziekte. Een positieve bloedtest wordt idealiter gevolgd door een endoscopie. Een negatieve test kan ook aanleiding geven tot biopsiename, wanneer de symptomen toch doen denken aan de aandoening. Deze test kan ook de 2% gevallen die ongediagnosticeerd bleven bij serologische bepaling (de sensitiviteit van serologische bepaling bedroeg immers 98%) oppikken. Daarnaast kunnen door biopsiename alternatieve verklaringen voor de symptomen geformuleerd worden. Omwille van deze redenen geldt endoscopie met biopsie nog steeds als gouden standaard bij de diagnose van coeliakie.
Gezien de ontwikkelingen in bloedtesten (IgA-tTG in combinatie met IgG-DGP) en de betrouwbaarheid hiervan, zal deze gouden standaard bij kinderen in een gecontroleerde omgeving worden aangepast. De Europese richtlijn is dan dat in dit soort gevallen (symptomen en een positieve uitslag op de bloedtest) er geen biopsie genomen hoeft te worden om de diagnose Coeliakie te stellen.
| Test | sensitiviteit | specificiteit |
|---|---|---|
| Antigliadineantilichamen (AGA) IgA | 50% | 98% |
| Antigliadineantilichamen (AGA) IgG | 25% | 98% |
| Anti-endomysium (EMA) IgA | 81% | 99% |
| Antitransglutaminaseantilichamen (ATA) IgA (Anti-weefseltransglutaminase (TTG)) | 81% | 99% |
Behandeling
De behandeling bestaat uit het volgen van een strikt glutenvrij dieet. Meestal herstelt het darmepitheel zich, zodat ook de darmwerking herstelt en alle klachten verdwijnen. De coeliakie-patiënten zijn hun hele leven gebonden aan het volgen van het strikte dieet. Bij sommige patiënten kan het eten van één kruimeltje "gewoon" brood leiden tot de (tijdelijke) terugkeer van de klachten. Coeliakiepatiënten hebben een groter risico op de ontwikkeling van bepaalde vormen van kanker, al is die kans niet zo groot als vroeger werd gedacht.[15]
Etymologie
De naam coeliakie komt van het Latijnse woord coeliacus, ziek in maag of ingewanden, en is ontleend aan het Griekse woord koiliakos, van koilia voor (buik)holte, ingewanden, ontlasting, van koilos: hol.
Coeliakievereniging
In Nederland is de Nederlandse Coeliakie Vereniging actief, in Vlaanderen de Vlaamse Coeliakie Vereniging. Beiden bieden informatie en steun aan patiënten met coeliakie (en hun familieleden), en bevorderen onderzoek naar de behandeling van coeliakie.
Zie ook
Externe links
- Vlaamse Coeliakie Vereniging
- Nederlandse Coeliakie Vereniging
- Jongerencommissie Nederlandse Coeliakie Vereniging
- 1 2 Pinkhof, H. (1935). Vertalend en verklarend woordenboek van uitheemsche geneeskundige termen. (2de druk). Haarlem: De Erven F. Bohn.
- 1 2 3 4 5 6 Everdingen, J.J.E. van, Eerenbeemt, A.M.M. van den (2012). Pinkhof Geneeskundig woordenboek (12de druk). Houten: Bohn Stafleu Van Loghum.
- 1 2 3 Arnaudov, G.D. (1964). Terminologia medica polyglotta. Latinum-Bulgarski-Russkij-English-Français-Deutsch. Sofia: Editio medicina et physcultura.
- 1 2 Leflot-Soetemans, C. & Leflot, G. (1975). Standaard Geneeskundig woordboek Frans-Nederlands. Antwerpen-Amsterdam: Standaard Uitgeverij.
- 1 2 Beijer, T. & Apeldoorn, C.G.L. (1996). Woordenboek van medische eponiemen. Houten/Diegem: Bohn Stafleu Van Loghum.
- ↑ Fasano A, Catassi C. Current approaches to diagnosis and treatment of celiac disease: an evolving spectrum. Gastroenterology. 2001;1203:636-51.
- ↑ Marsh M (1992). Gluten, major histocompatibility complex, and the small intestine. A molecular and immunobiologic approach to the spectrum of gluten sensitivity ('celiac sprue'). Gastroenterology 102 (1): 330-54. PMID 1727768.
- ↑ Maitra, A., Abbas, A.K. "The Endocrine System". In: Kumar, V., Abbas, A.K., Fausto, N. Robbins and Cotran Pathologic Basis of Disease. 7th ed. Philadelphia: Elsevier, 2005; 843
- ↑ Ferguson R, Basu M, Asquith P, Cooke W (1976). Jejunal mucosal abnormalities in patients with recurrent aphthous ulceration. Br Med J 1 (6000): 11–13. PMID 1247715.
- ↑ Spiegel BM, DeRosa VP, Gralnek IM, Wang V, Dulai GS (Jun 2004). Testing for celiac sprue in irritable bowel syndrome with predominant diarrhea: a cost-effectiveness analysis. Gastroenterology 126 (7): 1721–32. PMID 15188167.
- ↑ (2001). American Gastroenterological Association medical position statement: Celiac Sprue. Gastroenterology 120 (6): 1522–5. PMID 11313323.
- ↑ Tursi A, Brandimarte G, Giorgetti G (2003). High prevalence of small intestinal bacterial overgrowth in celiac patients with persistence of gastrointestinal symptoms after gluten withdrawal. Am J Gastroenterol 98 (4): 839-43. PMID 12738465.
- ↑ Hopper A, Cross S, Hurlstone D, McAlindon M, Lobo A, Hadjivassiliou M, Sloan M, Dixon S, Sanders D (2007). Pre-endoscopy serological testing for coeliac disease: evaluation of a clinical decision tool. BMJ 334: 729. PMID 17383983.
- ↑ Hadithi M, von Blomberg BM, Crusius JB, et al (2007). Accuracy of serologic tests and HLA-DQ typing for diagnosing celiac disease. Ann. Intern. Med. 147 (5): 294-302.
- ↑ Tio, M., M.R. Cox, G.D. Eslick (2012). Meta-analysis: coeliac disease and the risk of all-cause mortality, any malignancy and lymphoid malignancy. Alimentary Pharmacology & Therapeutics 35 (5): 540-551. Ik heb coeliakie, heb ik nu een hoger risico op kanker? - voedingenkankerinfo.nl
