Apoptose
| Apoptose | ||||
|---|---|---|---|---|
![]() | ||||
Een met etoposide behandelde kankercel valt uiteen via apoptose. Time-lapse-opnames gedurende 61 uur. | ||||
| ||||
Apoptose is het proces van geprogrammeerde celdood dat plaatsvindt in meercellige organismen.[1] Apoptose is een normale cellulaire respons die belangrijk is bij de embryonale ontwikkeling, in het immuunsysteem en voor de homeostase van lichaamsweefsels. Tijdens apoptose vinden er binnen de cel verschillende reactiecascades plaats die ervoor zorgen dat de cel zichzelf vernietigt en het DNA gefragmenteerd wordt. Gemiddeld genomen verliest een volwassen mens elke dag tussen de 50 en 70 miljard cellen door middel van apoptose.[2]
Apoptose is een strikt gereguleerd proces dat sterk verschilt van andere vormen van celdood, zoals necrose.[3] Kenmerkend voor apoptose is de fragmentatie van het DNA door endonucleasen, en het afgeven van membraan-omsloten cytoplasma-blaasjes. De restanten van de apoptotische cel worden uiteindelijk gefagocyteerd door macrofagen. Dit in tegenstelling tot een cel die sterft door necrose waarbij alle enzymsystemen, inclusief proteolytische enzymen, in de omgeving vrijkomen. Apoptose leidt dan ook niet tot schade aan omliggende cellen, terwijl bij necrose van enige omvang er altijd naburige weefselschade ontstaat.[3]
Apoptose wordt op gang gebracht door de activatie van caspasen: gespecialiseerde enzymen die eiwitten afbreken. Door middel van een complexe signaaltransductieketen geven de caspasen aanleiding tot het systematisch desintegreren van de cel. De initiatie van apoptose wordt strikt gereguleerd; zodra het proces is begonnen, leidt dit noodzakelijkerwijs tot de dood van de cel.[4]
Apoptose bij dieren
Functie van apoptose
Apoptose is belangrijk bij de embryonale ontwikkeling, in het immuunsysteem en in alle levende weefsels. In de embryonale ontwikkeling zorgt apoptose ervoor dat niet noodzakelijke of ongewenste weefsels verdwijnen. Een voorbeeld hiervan zijn de 'zwemvliezen' die bij mensen in aanleg aanwezig zijn, maar tijdens de ontwikkeling van het embryo verdwijnen. In het immuunsysteem worden T-cellen die lichaamseigen epitopen herkennen en dus ongewenst zijn, tot celdood aangezet door stimulatie van apoptose.
Verschil met necrose
Een cel kan op twee manieren doodgaan. Apoptose, zoals hier besproken, of necrose; dit is het proces waarbij een cel op een abrupte manier doodgaat door ziekte, verwonding of vermindering van bloedtoevoer. Hierbij wordt de inhoud van de cel, het cytoplasma, in het omringende weefsel vrijgelaten. Dit heeft vaak een activerende werking op het immuunsysteem, waardoor er een ontstekingsreactie kan ontstaan.
Biochemisch mechanisme

Een voor een cel georganiseerde manier van doodgaan is apoptose of 'geprogrammeerde celdood', omdat in elke cel de mechanismen aanwezig zijn die apoptose mogelijk maken. Als een cel signalen van zijn omgeving ontvangt die de cel tot apoptose dwingen, of als de cel zoveel schade heeft opgelopen dat verder bestaan niet mogelijk is, wordt een intracellulair mechanisme geactiveerd. Dit mechanisme leidt uiteindelijk tot de activatie van proteasen, de zogenaamde caspases (cysteïne-aspartylprotease). Deze eiwitten zetten de cel aan tot de afbraak van eiwitten en DNA. De substraten van de caspases bevinden zich in de celkern, het cytoplasma en het cytoskelet.
De basis van de geprogrammeerde celdood in zoogdieren is onderverdeeld in drie groepen van eiwitten, alle behorende tot de Bcl-2 superfamilie:
- sensoren, onder andere Bad, Bim en Bid: stoppen de beschermers. Bij een adequate concentratie van sensoren worden beschermers geblokkeerd waarop de effectoren actief worden.
- beschermers, onder andere Bcl-2 en Bcl-xL: verhinderen de werking van de effectoren en vermijden daarmee apoptose.
- effectoren, onder andere Bax en Bak: zetten de apoptose cascade in gang door het mitochondriaal membraan permeabel te maken voor cytochroom c.
Dat er meerdere eiwitten onder een groep vallen resulteert in redundantie van het systeem, waarbij, bij het optreden van niet-functionerende eiwitten, andere eiwitten het systeem werkend kunnen houden.
De verhoogde concentratie van cytochroom c in het cytoplasma leidt vervolgens tot activering van het apoptosoom. Het apoptosoom is verantwoordelijk voor de activering van caspase-9, die op zijn beurt caspase-3 activeert. De omzetting van pro-caspase-3 naar caspase-3 markeert, definitief, de dood van de betreffende cel. Caspase-3 zorgt onder andere voor het klieven van eiwitten die de homeostase van de cel in stand houden, bevordert de degradatie van het cytoskelet en activeert endonucleases.
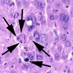
Kenmerken van apoptose

Een cel die apoptose ondergaat is te herkennen aan een aantal kenmerken. Het duidelijkste morfologische kenmerk is het afsplitsen van kleine bolletjes cytoplasma met celinhoud (blebbing). Ook kunnen apoptotische cellen worden herkend aan DNA fragmentatie als gevolg van afbraak van het DNA. Cellen die apoptose ondergaan vertonen ook negatief geladen fosfolipiden op het celoppervlak. Deze negatief geladen fosfolipiden kunnen door fagocyten herkend worden. Na herkenning verwijdert de fagocyt de apoptotische cel.
Apoptose en kanker
Bij sommige vormen van kanker kunnen verschillende systemen die de integriteit van de cel bewaken uitgeschakeld zijn. Deze cellen zullen dan niet tot apoptose kunnen overgaan, wat kan leiden tot een te grote hoeveelheid ervan, of het doorgroeien van cellen die eigenlijk te ernstig beschadigd zijn.
Modern farmacologisch onderzoek is erop gericht om nieuwe stoffen te ontwikkelen die het pad naar de apoptose weer kunnen inschakelen. Hieronder valt bijvoorbeeld navitoclax dat de werking van Bcl-2 inhibeert (door te binden aan het BH3-domein daarvan), dat de rol van beschermer heeft in de geprogrammeerde celdood. Het blokkeren van de functie van de beschermer zorgt ervoor dat effectoren actief het mitochondriaal membraan permeabel kunnen maken, waardoor uiteindelijk caspase-3 weer geactiveerd kan worden.
Apoptose bij planten
Apoptose bij planten is een natuurlijke reactie die veel voorkomt. Zo treedt apoptose op bij het verwelken van bloemen en het afrijpen van sommige soorten vruchten, zoals doosvruchten.
Ook treedt het op bij beschadiging van planten. Planten proberen namelijk een evenwicht te bewaren tussen de hoeveelheid bovengrondse en ondergrondse delen. Worden bovengrondse delen verwijderd door bijvoorbeeld vraat dan worden voedingsstoffen uit delen van het wortelgestel onttrokken, waarbij wortels afsterven. Bij verplanten zullen bovengrondse delen afsterven zodat door relocatie van voedingsstoffen sneller nieuwe wortels gevormd kunnen worden. Ook bij vochttekort zullen bovengrondse delen afsterven om het wortelstelsel uit te kunnen breiden op zoek naar water.
Bij aantasting door ziekteverwekkers treedt soms ook apoptose op bij en rondom de geïnfecteerde cellen, waardoor verdere infectie wordt voorkomen. Dit uit zich in resistentie tegen de ziekteverwekker.

Etymologie
Het woord werd in 1972 als apoptosis geïntroduceerd in het internationale (Engelse) taalgebruik in de onderhavige betekenis.[5] In het Nederlands komt het woord eerst in de tevens klassieke vorm (apoptosis)[6] voor en later in de vernederlandste vorm (apoptose).[7] Het woord is afkomstig uit het Oudgrieks (ἀπόπτωσις apoptōsis)[5][8] en betekent "(eraf)vallen, wegvallen, verdwijnen".[9] Eerder kwam het woord apoptosis al binnen de geneeskunde voor, maar dan in de betekenis van "het loslaten van korstjes".[10][11][12]
Zie ook
Bronnen
- ↑ Everdingen, J.J.E. van, Eerenbeemt, A.M.M. van den (2012). Pinkhof Geneeskundig woordenboek (12de druk). Houten: Bohn Stafleu Van Loghum.
- ↑ (en) Stillwell W. (2016). An Introduction to Biological Membranes (Second Edition). Elsevier, "Chapter 24: Cell Death, Apoptosis", 539–546. ISBN 978-0-444-63772-7.
- 1 2 G.T. Rijkers, F.G.M. Kroese, C.G.M Kallenberg, R.H.W.M. Derksen (2016). Leerboek immunologie. Bohn Stafleu van Loghum, p. 163. ISBN 978-90-368-0257-4.
- ↑ (en) Böhm I, Schild H (2003). Apoptosis: the complex scenario for a silent cell death. Molecular Imaging and Biology 5 (1): 2–14. PMID 14499155. DOI: 10.1016/S1536-1632(03)00024-6.
- 1 2 Kerr, J.F.R., Wyllie, A.H. & Currie, A.R. (1972). Apoptosis: a basic biological phenomenon with wide-ranging implications in tissue kinetics. British Journal of Cancer, 26(4), 239-257
- ↑ Hilfman, M.M. (1978). Pinkhof-Hilfman Geneeskundig woordenboek (7de druk). Utrecht: Bohn, Scheltema & Holkema.
- ↑ Hilfman, M.M. (1984). Pinkhof-Hilfman Geneeskundig woordenboek (8ste druk). Utrecht/Antwerpen: Bohn, Scheltema & Holkema.
- ↑ Kerr et al. (1972) schrijven abusievelijk ἁπόπτωσισ hapoptōsis (gebruik spiritus lenis in plaats van spiritus asper en onjuiste vorm sigma aan het einde van het woord).
- ↑ Liddell, H.G. & Scott, R. (1940). A Greek-English Lexicon. revised and augmented throughout by Sir Henry Stuart Jones. with the assistance of. Roderick McKenzie. Oxford: Clarendon Press.
- ↑ Kraus, L.A. (1844). Kritisch-etymologisches medicinisches Lexikon (Dritte Auflage). Göttingen: Verlag der Deuerlich- und Dieterichschen Buchhandlung.
- ↑ Siebenhaar, F.J. (1850). Terminologisches Wörterbuch der medicinischen Wissenschaften. (Zweite Auflage). Leipzig: Arnoldische Buchhandlung.
- ↑ Foster, F.D. (1891-1893). An illustrated medical dictionary. Being a dictionary of the technical terms used by writers on medicine and the collateral sciences, in the Latin, English, French, and German languages. New York: D. Appleton and Company.
