Syndroom van Goodpasture
| Syndroom van Goodpasture | ||||
|---|---|---|---|---|
![]() | ||||
| Coderingen | ||||
| ICD-11 | ||||
| OMIM | 233450 | |||
| DiseasesDB | 5363 | |||
| DOID | 9808 | |||
| MedlinePlus | 000142 | |||
| eMedicine | med/923 ped/888 | |||
| MeSH | D019867 | |||
| ||||
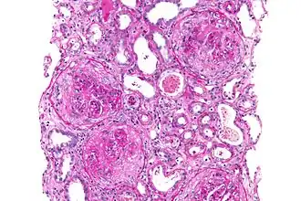
Het syndroom van Goodpasture is een auto-immuunziekte vernoemd naar de Amerikaanse patholoog en arts Ernest Goodpasture (1886-1960). In het bloed kunnen antistoffen gevonden worden die binden aan het NC1 domein van collageen type IV. Dit eiwit wordt aangetroffen in de nier (in de glomerulaire basale membraan) en in de long. Daardoor ontwikkelen patiënten glomerulonefritis (nierontsteking), wat leidt tot eiwit- en bloedverlies in de urine, en teruglopen van de nierfunctie. Daarnaast kunnen longbloedingen ontstaan. Dit kan blijken uit het ophoesten van bloed en benauwdheid. Patiënten zijn vaak ook vermoeid, ziek, en koortsig.
De acute fase kan behandeld worden met plasmaferese (om de auto-antistoffen uit het bloed te filteren), gecombineerd met hoge dosis immuunsuppressiva, vooral prednisolon.
