Myelocyt


Een myelocyt is een jonge cel uit de granulocytenreeks, die normaal voorkomt in het beenmerg (en kan ook in circulerend bloed worden aangetroffen bij bepaalde ziekten (myelemie). De voorloper van de myelocyt is de promyelocyt, die op zijn beurt uit de myeloblast ontstaat. Uit de myelocyt ontstaat een metamyelocyt met uiteindelijk een u-vormig celkern. In het myelocytstadium begint de celkern zijn bolvorm te verliezen en het chromatine wordt meer gecondenseerd. De nucleoli worden ook minder duidelijk zichtbaar en de kern-cytoplasmatische verhouding wordt 1:1. Een ander type granula begint te overheersen in het cytoplasma van deze cellen dan in promyelocyten – acidofiele, basofiele en neutrofiele granula – waardoor deze cellen zich kunnen differentiëren tot een specifiek type granulocyt (respectievelijk acidofiele, basofiele of neutrofiele).
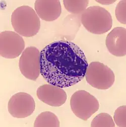
Het cytoplasma van de cel is duidelijk basofiel en relatief overvloediger dan in promyelocyten en myeloblasten, ook al zijn myelocyten kleinere cellen met een grootte tussen 20 en 25 μm.[1] In de meer volwassen myelocyten zijn talrijke cytoplasmatische granula {korrels) aanwezig. Neutrofiele en eosinofiele granula zijn peroxidase-positief, terwijl basofiele granula dat niet zijn. Het chromatine van de nucleus is grover dan dat van een promyelocyt, maar het is relatief zwak gekleurd en mist een goed gedefinieerd celmembraan. De rond of ovale celkern heeft een vrij regelmatige omtrek (niet ingedeukt) en lijkt 'begraven' te zijn onder de talrijke cytoplasmatische korrels. (Als de kern ingedeukt zou zijn, zou het waarschijnlijk een metamyelocyt zijn.)
Op het oppervlak van de myelocyt bevinden zich de differentiatieclusters: CD13, CD15, CD33 en CD65.
Klinische betekenis
Bij acute myeloïde leukemie is een vorm van kanker die specifiek de myeloïde lijn van de witte bloedcellen aantast. Myeloïde voorlopercellen van de myeloïde lijn vormen granulocyten, monocyten, erytrocyten en megakaryocyten. AML leidt tot een enorme proliferatie van onrijpe voorstadia van deze cellen in het beenmerg en meestal ook in het bloed (leukocytose).


Bron
- Dit artikel of een eerdere versie ervan is een (gedeeltelijke) vertaling van het artikel Myelocyte op de Engelstalige Wikipedia, dat onder de licentie Creative Commons Naamsvermelding/Gelijk delen valt. Zie de bewerkingsgeschiedenis aldaar.