Acute myeloïde leukemie
| Acute myeloïde leukemie | ||||
|---|---|---|---|---|
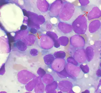
Beenmerg met acute myeloïde leukemie. Pijlen geven de Auer rods aan. | ||||
| Coderingen | ||||
| ICD-11 | ||||
| ICD-O | M9861/3 | |||
| OMIM | 602439 | |||
| DiseasesDB | 203 | |||
| DOID | 9119 | |||
| MedlinePlus | 000542 | |||
| eMedicine | med/34 | |||
| MeSH | D015470 | |||
| ||||
Acute myeloïde leukemie[1] (AML[1]) of acute myeloblastenleukemie[1] is een vorm van kanker die specifiek de myeloïde lijn van de witte bloedcellen aantast. Myeloïde voorlopercellen van de myeloïde lijn vormen granulocyten, monocyten, erytrocyten en megakaryocyten. AML leidt tot een enorme proliferatie van onrijpe voorstadia van deze cellen in het beenmerg en meestal ook in het bloed (leukocytose). Het snel doordringen van abnormale cellen in het beenmerg interfereert met de normale vorming van bloedcellen (hematopoëse). De symptomen van AML worden veroorzaakt door het vervangen van normale beenmergcellen met leukemische cellen. Dit leidt ertoe dat de normale productie van rode bloedcellen (erytrocyten), bloedplaatjes en normale witte bloedcellen (leukocyten) in het gedrang komt. De symptomen omvatten moeheid, kortademigheid, blauwe plekken, bloedingsneiging en een toegenomen risico op infectie.
AML is de meest voorkomende vorm van acute leukemie bij volwassenen, met een incidentie die toeneemt met de leeftijd. Hoewel AML een betrekkelijk weinig voorkomende aandoening is is het verantwoordelijk voor ca. 1,2% van de sterfte aan kanker in de VS.[2] Door de toenemende vergrijzing van de bevolking wordt verwacht dat de incidentie van deze aandoening zal stijgen.
Hoewel verscheidene risicofactoren voor AML reeds geïdentificeerd zijn, blijft de oorzaak van de ziekte tot op heden grotendeels onbekend. Omdat het een acute leukemie betreft is de ziekte snel progressief. Typisch overlijdt de patiënt binnen enkele weken tot maanden indien de ziekte onbehandeld blijft. De vijfjaarsoverleving bedraagt 15 à 70%, afhankelijk van het subtype AML. AML wordt initieel behandeld met chemotherapie met als doel de ziekte in remissie te brengen. Vervolgens ontvangen patiënten additionele chemotherapie of een hematopoëtische stamceltransplantatie. Recente onderzoeken naar de genetica achter AML leidde tot de beschikbaarheid van tests die de werkzaamheid van bepaalde medicijnen voor een individuele patiënt kunnen beoordelen.
Epidemiologie
Acute myeloïde leukemie is een zeldzame aandoening met ongeveer 3.7/100 000 nieuwe gevallen per jaar.[3] De aandoening komt voornamelijk voor bij ouderen, de mediane leeftijd bij het stellen van de diagnose ligt op 63 jaar. AML maakt 80% uit van de acute leukemieën bij volwassenen.[4] Mannen zijn iets meer aangedaan dan vrouwen (verhouding 1,3/1).[5] Op de kinderleeftijd hebben slechts 15 à 20% van de patiënten met acute leukemie AML. In het zeldzame geval dat AML bij een boreling aanwezig is, betreft het echter vrijwel steeds AML.
Het aandeel van AML ten gevolge van een voorgaande behandeling met chemotherapie is stijgende; op dit moment zijn 10 à 20% van de gevallen van AML het gevolg van deze behandeling.[6]
Er is enige geografische variatie merkbaar in de incidentie van AML. Bij volwassenen wordt de hoogste prevalentie gezien in Noord-Amerika, Europa en Oceanië. AML is zeldzamer in Azië en Latijns-Amerika.[7][8] In tegenstelling hiermee komt AML op kinderleeftijd minder voor in Noord-Amerika en India dan in andere delen van Azië.[9] Deze verschillen zijn mogelijk het gevolg van genetische factoren op populatieniveau, omgevingsfactoren of een combinatie van beide.
AML is in verband gebracht met genetische afwijkingen, zoals trisomie 21 (het syndroom van Down), Fanconi-anemie en het syndroom van Bloom. Verder worden omgevingsfactoren genoemd zoals de blootstelling aan bepaalde chemische stoffen, ioniserende straling, tabak en chemotherapeutica. Hematologische aandoeningen die in verband gebracht worden met AML zijn paroxismale nocturnale hemoglobinurie en de kwaadaardige aandoeningen myelodysplastisch syndroom en andere myeloproliferatieve aandoeningen.[10]
Klinisch beeld
De meeste symptomen bij AML worden veroorzaakt door de vervanging van normale bloedcellen (rode bloedcellen, witte bloedcellen en bloedplaatjes) door leukemische cellen. Klachten die hiermee gepaard gaan zijn zwakte en vermoeibaarheid, infecties en het oplopen van blauwe plekken, tandvleesbloedingen, ecchymose, epistaxis of menorragie. Vaak komen deze klachten in combinatie voor.[10]
Koorts
Eventueel aanwezige koorts kan in de meeste gevallen in verband worden gebracht met een infectie. Het beleid is afhankelijk van het al dan niet aanwezig zijn van neutropenie (< 1000 neutrofielen/μl), waarbij prompte toediening van een breedsprectumantibioticum geïndiceerd is. Indien geen duidelijke neutropenie aanwezig is bestaat nog steeds de mogelijkheid van functionele neutropenie. Hierbij zijn er normale hoeveelheden neutrofielen, doch zijn deze niet functioneel. Wanneer een bloeduitstrijkje microscopisch beoordeeld wordt en de neutrofielen hierbij bepaalde kenmerken tonen (zoals een hypogranulair aspect tonen of dysplasie), is dit suggestief voor functionele neutropenie. Op basis van een dergelijke functionele neutropenie kan eveneens overwogen worden antibiotica toe te dienen.[10]
Leukemie kan op zich ook aanleiding geven tot koorts, zelfs in de afwezigheid van een infectie. Dit is eerder het geval bij acute promyelocytaire leukemie.[11]
Huid

Het verlaagd aantal bloedcellen kan tot bepaalde manifestaties leiden in de huid. Anemie, ten gevolge van een verlaagd aantal rode bloedcellen, leidt tot een bleke huid. Een verlaagd aantal bloedplaatjes leidt tot petechieën en ecchymosen. AML tast in 13% van de gevallen de huid zelf aan. Dit heet leukaemia cutis. Hierbij kunnen enkele of meerdere rode tot paarsblauwe papels, plaques of noduli ontstaan. Een andere verschijningsvorm is een roodbruine maculopapulaire eruptie. Het tijdsverloop tussen de diagnose en het verschijnen van de eerste manifestaties van de ziekte op de huid varieert sterk. Soms is leukaemia cutis het eerste symptoom van de ziekte.[12]
Gewrichten
Ongeveer 4%-13%[10][13][14] van de patiënten met AML presenteren zich met gewrichts- en of botpijn. Dit ongemak doet zich voor in meerdere gewrichten, is doorgaans symmetrisch en kan migreren naar andere gewrichten.
Indien er pijnlijke, gezwollen gewrichten aanwezig zijn in het kader van een in het beenmerg en/of bloed aangetoonde leukemie, spreekt men over leukemische artritis. Andere oorzaken die tot deze artritis zouden kunnen leiden dienen dan echter uitgesloten te zijn. Een dergelijke leukemische artritis komt vaker voor bij kinderen met leukemie dan bij oudere patiënten[14] en vaker in het kader van een acute leukemie. Leukemische artritis kan zich reeds voor de diagnose leukemie werd gesteld presenteren, of later in het beloop van de ziekte de kop opsteken.
Expansie van het beenmerg kan eveneens aanleiding geven tot botpijn, deze oorzaak dient men echter steeds te onderscheiden van leukemische artritis, hoewel beide oorzaken wel samen kunnen voorkomen.
Externe link
Literatuurverwijzingen
- 1 2 3 Everdingen, J.J.E. van, Eerenbeemt, A.M.M. van den (2012). Pinkhof Geneeskundig woordenboek (12de druk). Houten: Bohn Stafleu Van Loghum.
- ↑ Jemal A, Thomas A, Murray T, Thun M (2002). Cancer statistics, 2002. CA Cancer J Clin 52 (1): 23–47. PMID 11814064. DOI: 10.3322/canjclin.52.1.23. Gearchiveerd op 28 januari 2011.
- ↑ Kasper DL, Braunwald E, Fauci AS, Hauser SL, Longo DL, Jameson JL, Loscalzo J. (2008). Harrison's principles of internal medicine, 17th. McGraw-Hill Medical Publishing Division, New York, "chapter 104: Acute and Chronic Myeloid Leukemia", pp. 677-683. ISBN 9780071466332. Gearchiveerd op 22 september 2013.
- ↑ Yamamoto JF, Goodman MT (2008). Patterns of leukemia incidence in the United States by subtype and demographic characteristics, 1997-2002.. Cancer Causes Control 19 (4): 379-390. PMID 18064533.
- ↑ Greenlee RT, Hill-Harmon MB, Murray T, Thun M (2001). Cancer statistics, 2001. CA Cancer J Clin 51 (1): 15–36. PMID 11577478. DOI: 10.3322/canjclin.51.1.15. Gearchiveerd op 6 juli 2010.
- ↑ Leone G, Mele L, Pulsoni A, Equitani F, Pagano L (1 October 1999). The incidence of secondary leukemias. Haematologica 84 (10): 937–45. PMID 10509043. Gearchiveerd op 2 oktober 2011.
- ↑ Linet MS (1985). Monographs in Epidemiology and Biostatistics. Oxford University Press, New York, "The leukemias: Epidemiologic aspects.", I. ISBN 0195034481.
- ↑ Aoki K, Kurihars M, Hayakawa N, et al. (1992). Death Rates for Malignant Neoplasms for Selected Sites by Sex and Five-Year Age Group in 33 Countries 1953–57 to 1983–87. University of Nagoya Press, International Union Against Cancer, Nagoya, Japan.
- ↑ Bhatia S, Neglia JP (1995). Epidemiology of childhood acute myelogenous leukemia. J. Pediatr. Hematol. Oncol. 17 (2): 94–100. PMID 7749772. DOI: 10.1097/00043426-199505000-00002.
- 1 2 3 4 Schiffer CA, Anastasi J. UpToDate. UpToDate, Waltham, MA, "Clinical manifestations, pathologic features, and diagnosis of acute myeloid leukemia".
- ↑ Daly PA, Schiffer CA, Wiernik PH (1980). Acute promyelocytic leukemia--clinical management of 15 patients.. Am J Hematol. 8 (4): 347-359. PMID 6932177.
- ↑ Kaddu S, Zenahlik P, Beham-Schmid C, Kerl H, Cerroni L (1999). Specific cutaneous infiltrates in patients with myelogenous leukemia: A clinicopathologic study of 26 patients with assessment of diagnostic criteria.. Journal of the American Academy of Dermatology 40 (6): 966-978. PMID 20104987. DOI: 10.1016/S0190-9622(99)70086-1.
- ↑ Biswas S, Chakrabarti S, Chakraborty J, Paul PC, Konar A, Das S (2009). Childhood acute leukemia in West Bengal, India with an emphasis on uncommon clinical features.. Asian Pac J Cancer Prev. 10 (5): 903-906. DOI: 10.1016/S0190-9622(99)70086-1.
- 1 2 Evans TI, Nercessian BM and Sanders KM (1994). Leukemic arthritis. Semin Arthritis Rheum. 24 (1): 48-56.