Lymfoblast

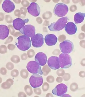
Een lymfoblast is een unipotente hematopoëtische stamcel, die als tussenvorm gezien kan worden bij de ontwikkeling van lymfocyten. Ze lijken op een nog niet volledig uitgegroeide lymfocyt. De lymfoblast wordt normaal alleen aangetroffen in het rode beenmerg, maar bij acute lymfatische leukemie nemen de lymfoblasten snel in aantal toe en komen ze in grote aantallen ook voor in de bloedbaan.