Neuro-oncologie

Neuro-oncologie is een medisch specialisme in de geneeskunde dat neurologie en oncologie combineert.
Neuro-oncologie houdt zich voornamelijk bezig met de diagnose, therapie en onderzoek van tumorziekten van het zenuwstelsel, waaronder de volgende tumortypen:
- primaire tumoren van het centrale zenuwstelsel (hersentumoren en tumoren van het ruggenmerg)
- secundaire tumoren van het centrale zenuwstelsel (hersenmetastasen en ruggenmergmetastasen)
- kwaadaardige lymfomen van het centrale zenuwstelsel
- tumoren van het perifere zenuwstelsel.
Algemene informatie
Primaire tumoren van het centrale zenuwstelsel
Primaire hersentumoren kunnen op elke leeftijd voorkomen, van de kindertijd tot laat in het leven. Factoren zoals leeftijd, tumorlocatie en klinische presentatie zijn nuttig bij de differentiële diagnose. De meeste soorten primaire hersentumoren komen vaker voor bij mannen, met uitzondering van meningeomen, die vaker voorkomen bij vrouwen.
Gemetastaseerde tumoren van het centrale zenuwstelsel
De directe ingroei compressie van weefsels van het centrale zenuwstelsel is gerelateerd aan de nabijheid van het zenuwstelsel tot andere structuren.
Intracraniële metastase
Er zijn drie soorten intracraniële metastasen: hersenmetastasen, durale metastasen en meningeale-leptomeningeale metastasen. Hersenmetastasen kunnen enkelvoudig of meervoudig zijn en elk deel van de hersenen beïnvloeden. Hun incidentie is ongeveer tienmaal zo hoog als die van primaire tumoren van het centrale zenuwstelsel.
- Metastasering naar durale structuren treedt in het algemeen op door hematogene verspreiding of directe invasie vanuit een aangrenzend bot.
- Durale metastasen kunnen de onderliggende hersenen binnendringen en focaal oedeem en bijbehorende neurologische symptomen veroorzaken. Vanwege hun corticale locatie hebben deze processen de neiging om vroeg in het ziektebeloop epileptische aanvallen te veroorzaken.
- Lepomeningeale metastasering is een zeldzaam maar algemeen erkend klinisch fenomeen bij kankerpatiënten. Leptomeningeale metastasen zijn meestal toe te schrijven aan primaire tumoren van de borst, long of melanoom.
Schedelmetastasen
Metastasen naar de schedel zijn onderverdeeld in twee categorieën: schedeldak en schedelbasis.
Primaire tumoren van het centrale zenuwstelsel
Hersentumoren zijn neoplasmata die zich in de hersenen ontwikkelen. Tumoren zoals meningeoom, die vanwege hun massa samendrukken maar niet doordringen in de hersenen, en hypofyse- en epifysaire tumoren, die zich op de hersenstam bevinden, worden vaak ten onrechte hersentumoren genoemd. De term intracraniële tumoren vat deze nauwkeuriger samen.
Primaire CZS-tumoren omvatten een verscheidenheid aan pathologische entiteiten, elk met zijn eigen natuurlijke geschiedenis. Vanwege het feit dat gliale tumoren (gliomen) alleen al verantwoordelijk zijn voor bijna 40 procent van deze tumoren, kan eerst onderscheid worden gemaakt tussen gliomen en niet-gliale tumoren. De meest voorkomende gliomen zijn astrocytomen (afkomstig van gliale astrocytcellen), oligodendrogliomen (afkomstig van oligodendrogliale cellen) en ependymomen (afkomstig van ependymcellen).
Epidemiologie
Kwaadaardige primaire tumoren van het centrale zenuwstelsel zijn relatief zeldzaam en zijn goed voor ongeveer 2% van alle kwaadaardige neoplasmata. Tumorziekten van het centrale zenuwstelsel komen in 95% voor in de hersenen zelf en 5% in hersenvliezen, hersenzenuwen en ruggenmerg. Ze kunnen op elke leeftijd voorkomen en het risico op het ontwikkelen van de ziekte neemt toe met de leeftijd. Bij volwassenen kunnen gliomen histologisch afkomstig zijn van het steunweefsel van de zenuwcellen, waarvan ongeveer 75% van de glioblastomen astrocytomen graad IV met een ongunstige prognose. Embryonale tumoren overheersen bij zuigelingen en jonge kinderen. In Duitsland kregen in 2016 ongeveer 3.970 mannen en 3.460 vrouwen een kwaadaardige tumor van het centrale zenuwstelsel. Gemiddeld zijn de overlevingspercentages 21% voor mannen en 24% voor vrouwen. Statistieken omvatten zelden goedaardige CZS-tumoren, die voorkomen bij ongeveer 6.000 nieuwe gevallen per jaar. Ongeveer 65% daarvan komt van de hersenvliezen. Vrouwen worden veel vaker getroffen. Als ze niet worden behandeld met chirurgie of bestralingstherapie, kunnen zelfs goedaardige tumoren fataal zijn door compressie als gevolg van progressieve groei in de gesloten schedelruimte. De meest voorkomende kwaadaardige intracraniële CZS-tumor is glioblastoom, de meest voorkomende goedaardige is meningeoom.
Etiologie
Genetische aanleg voor neoplasmata van het centrale zenuwstelsel is relatief zeldzaam, hoewel sommige gliomen kunnen optreden als complicaties van meerdere familiale aandoeningen.
De mutatie van sommige tumorsuppressorgenen kenmerkt verschillende erfelijke syndromen die een verhoogde vatbaarheid voor de ontwikkeling van hersentumoren vertonen. De volgende mutaties en hun syndromen zijn geassocieerd met een hoger risico op het ontwikkelen van hersentumoren: NF1-genmutatie met neurofibromatose type 1, APC-mutatie met turcotsyndroom, PTCH-mutatie met gorlinsyndroom en TP53- of CHEK2-mutatie met het syndroom van Li-Fraumeni.
Omgevingsfactoren geassocieerd met primaire hersentumoren zijn moeilijk te identificeren. In sommige onderzoeken is blootstelling aan vinylchloride in verband gebracht met een verhoogde incidentie van hooggradig glioom. De enige zeldzame maar goed geïdentificeerde oorzaak van een primaire hersentumor is ioniserende straling. Vooral radiotherapie van kinderen met tinea capitis en van patiënten met acute lymfatische leukemie, craniofaryngioom of non-hodgkinlymfoom is geassocieerd met een verhoogd risico op glioom. Er is een verhoogd risico op primair cerebraal lymfoom bij aids-patiënten.
Kliniek
Tekenen en symptomen
De symptomen van cerebrale neoplasie worden gekenmerkt door verplaatsing of vernietiging van omringend weefsel en infiltratie van dezelfde oorzaken. Het meest voorkomende symptoom, gemeld door 35 procent van de patiënten, is hoofdpijn. Het optreden van ernstige hoofdpijn bij patiënten die er anders zelden last van hebben, is vaak kenmerkend, vooral als de hoofdpijnaanvallen of migraine 's ochtends ernstiger zijn en gepaard gaan met misselijkheid, braken en neurologische stoornissen. Bij patiënten die vaker last hebben van hoofdpijn, kan een verandering van vorm, een toename van de frequentie of intensiteit van aanvallen een symptoom zijn van het ontstaan van een hersentumor. Aanvallen komen voor bij ongeveer een derde van de glioompatiënten, vooral bij laaggradige of CZS-tumoren. Focale neurologische gebreken zijn gerelateerd aan de locatie van de tumor. Veranderingen in de mentale toestand treden ook op bij 15 tot 20 procent van de glioompatiënten.
Beelddiagnose

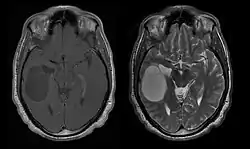
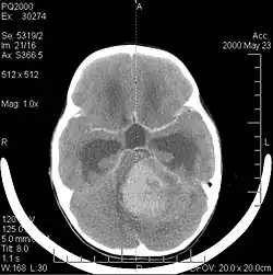
Computertomografie (CT) en magnetische resonantiebeeldvorming (MRI) kunnen neoplasie in de hersenen effectief detecteren. MRI is gevoeliger dan CT voor het identificeren van laesies, maar heeft contra-indicaties voor patiënten met pacemakers, incompatibele prothesen, metalen clips en andere. CT blijft de voorkeursmethode om calcificaties in laesies of boterosie van het kalotje of de basis te detecteren. Het gebruik van contrastmiddelen, die gejodeerd zijn in het geval van CT en paramagnetisch (gadolinium) in het geval van MRI, maakt het verkrijgen van informatie over de vascularisatie en integriteit van de bloed-hersenbarrière mogelijk, een betere definitie van de tumorachtige tumor vergeleken tot het omringende oedeem en het genereren van hypothesen over de mate van maligniteit. Het radiologisch onderzoek maakt ook een beoordeling mogelijk van de mechanische effecten en de daaruit voortvloeiende veranderingen in hersenstructuren als gevolg van de tumor, zoals hydrocefalus en hernia's, waarvan de effecten fataal kunnen zijn. Ten slotte kan deze diagnostiek, ter voorbereiding op een operatie, worden gebruikt om de locatie van de laesie of de infiltratie van de tumor in vitale delen van de hersenen te bepalen. Voor dit doel is MRI efficiënter dan CT omdat het driedimensionale beelden kan opleveren. Diagnostische radiologische beeldvormingshulpmiddelen benadrukken de verandering in neoplastisch weefsel in vergelijking met normaal hersenparenchym (door veranderingen in elektronisch afgebeelde weefseldichtheid op CT en signaalintensiteit op MRI). Zoals de meeste pathologische weefsels zijn tumoren ook herkenbaar aan een verhoogde ophoping van intracellulair water. In het computertomogram lijken ze hypodens, dwz met een lagere dichtheid dan het hersenparenchym, in het kernmagnetische resonantietomogram met spin-roosterrelaxatie hypointenseen in spin-spin ontspanning evenals proton weging (PD) hyperintens.

Het gezonde deel van de hersenen mag geen specifieke luminescentie vertonen op een radiologisch beeld. Het spreekt dan ook voor zich dat er aandacht wordt besteed aan grotere contrastsignaalbereiken.
In tumorweefsel is in het algemeen het grotere aandeel van contrastversterking te wijten aan de specifieke bloed-tumorbarrière die de doorgang van jodium (CT) en gadolinium (MRI) naar de intratumorale extravasculaire interstitiële ruimte mogelijk maakt. Dit verhoogt het signaal (dichtheid of intensiteit) van de tumor. Er moet echter voor worden gezorgd dat contrastversterking geen definitief onderscheid maakt tussen neoplasie en oedeem rondom de wond. In feite is de anatomische-pathologische bevinding in kwaadaardig infiltrerend glioomtumorweefsel, zoals in glioblastoom en anaplastisch astrocytoom, ook te zien buiten het vasogeen oedeem veroorzaakt door de vernietiging van de bloed-hersenbarrière door de tumor. De laatste klinische aandoening is slecht detecteerbaar door diagnostische beeldvorming.
Computertomografie van de hersenen toont typisch een weefselmassa die door beide contrasten kan worden versterkt. Op CT lijken laaggradige gliomen gewoonlijk isodense aan het normale parenchym en vertonen daarom mogelijk geen contrastversterking. Evenzo zijn laesies in de achterste schedelgroeve moeilijk te identificeren op CT. Bijgevolg zijn de resultaten van een dergelijke tomografie alleen niet altijd voldoende voor diagnostische doeleinden. In twijfelgevallen is het gebruik van de meer gevoelige magnetische resonantiebeeldvorming essentieel.
Aan -MRI toont een intracraniële tumor als een massieve laesie die na gebruik van het contrastmiddel meer luminescent kan worden. Er is echter altijd een signaalafwijking in -Magnetic resonance imaging, die de aanwezigheid van neoplasie of vasogeen oedeem aangeeft. Gewoonlijk is verhoogde luminescentie (contrastversterking) indicatief voor een tumor met een hogere graad van maligniteit. Kenmerkend voor glioblastoom is een contrastring, waarbij het lichtgevende deel overeenkomt met het vitale deel van de kwaadaardige tumor en het donkerdere -hypointens gebied dat overeenkomt met weefselnecrose.
Enscenering
De meeste primaire intracraniële tumoren blijven gelokaliseerd in de schedel, dus systemische stadiëringsprocedures zijn niet vereist.
Daarentegen verspreiden primaire neuro-ectodermale tumoren, medulloblastomen, CZS-kiemceltumoren en primaire CZS- lymfomen zich vaak via de subarachnoïdale ruimte naar de leptomeningen. Een spinale magnetische resonantie beeldvorming of een lumbaalpunctie is daarom ook vereist voor alle patiënten met dergelijke diagnoses.
Tumortypes
Glioomen
Zie Glioom voor het hoofdartikel over dit onderwerp. Primaire tumoren van het centrale zenuwstelsel (CZS) omvatten een verscheidenheid aan pathologische weefsels, elk met zijn eigen natuurlijke geschiedenis. Omdat gliomen alleen verantwoordelijk zijn voor bijna 40 procent van alle CZS-tumoren, is het in de literatuur gebruikelijk om onderscheid te maken tussen gliale en niet-gliale tumoren.
Astrocytoomen
In de literatuur zijn in de loop van de tijd verschillende categoriesystemen voorgesteld om de maligniteit van astrocytomen te beoordelen. Sinds 1993 is het door de Wereldgezondheidsorganisatie (WHO) voorgestelde beoordelingssysteem met vier niveaus het meest gebruikt en toegepast. Het is gebaseerd op vier histologische kenmerken: verhoogde celdichtheid, mitose, endotheliale proliferatie en necrose. Daarna zijn graad I astrocytomen, zoals pilocytische astrocytomen, typisch van goedaardige histologie. Astrocytomen II. Graden (diffuus) vertonen verhoogde celdichtheid als het enige histologische kenmerk en zijn neoplasmata met een lagere mate van infiltratie. Astrocytomen III vertonen een significante mitose. En endotheliale proliferatie of necrose wordt gezien in astrocytomen IV. graden, de zogenaamde glioblastomen.
Laaggradige astrocytoomen

Pilocytische astrocytoomen (inclusief het pilomyxoïde astrocytoom), reuzencelastrocytomen en pleomorfe xanthastrocytomen behoren tot de omschreven tumoren. Dit zijn wat zeldzamere neoplasmata van goedaardige histologie die vaak alleen door een operatie kunnen worden genezen. Als de excisie onvolledig is, kan het resterende tumorweefsel met succes worden behandeld met bestralingstherapie. In zeldzame gevallen waarin lokale behandeling niet werkt, kan systemische chemotherapie succesvol zijn, die individueel moet worden aangepast. Kinderen reageren op een combinatie van carboplatine en vincristine.


Diffuse astrocytomen II verschijnen op computertomografie. Cijfers dan minder intense laesies. In de geprefereerde magnetische resonantiebeeldvorming zijn contrastmiddelen mogelijk niet in staat om deze neoplasmata te markeren, hun luminescentie kan dunner en zwakker zijn. Een meer intense kan wijzen op weefsels met verhoogde anaplasie. Waar mogelijk wordt een biopsie voorgesteld om monsters van het anaplastische deel van de tumor te verkrijgen.
In de meeste gevallen zijn patiënten met diffuse astrocytomen 20 tot 40 jaar oud. Het optreden van epileptische aanvallen is typisch voor hen. Voorwaarden voor een gunstige prognose zijn jonge leeftijd, tumorgrootte kleiner dan 50 millimeter en een zo uitgebreid mogelijke chirurgische resectie van de tumor. Late recidieven komen relatief vaak voor, daarom moeten patiënten tot 15 jaar na verwijdering van de tumor worden gevolgd.
Ondanks hun relatief trage verloop, ontwikkelen de meeste astrocytomen zich tot laesies die worden gekenmerkt door uitgebreide anaplasie die gewoonlijk ongevoelig zijn voor chirurgie en bestralingstherapie. De therapie voor patiënten met diffuse laaggradige astrocytomen vertoont echter geen unanieme consensus in de literatuur. De rol van volledige resectie wordt besproken in professionele contexten. De resultaten van enkele onderzoeken laten zien dat maximale tumorverwijdering de beste resultaten geeft. In feite kunnen kleine en eenzijdige tumoren volledig worden verwijderd als er geen kritische hersenstructuren bij betrokken zijn. Een pragmatische benadering die in het algemeen aanvaardbaar is voor de algemeenheid van de gevallen, is om de neoplasie zoveel mogelijk te verwijderen om significante neurologische gebreken te voorkomen.
Studies hebben aangetoond dat bestralingstherapie die onmiddellijk na de diagnose wordt gegeven, de tijd dat de patiënt ziektevrij is voordat de tumor terugkeert, heeft verlengd in vergelijking met de situatie waarin de bestralingstherapie wordt uitgesteld tot het moment van progressie. Er is momenteel echter geen consensus dat bestraling kort na de diagnose de 'overall survival' van de patiënt verbetert.
Bij patiënten met mildere of geen symptomen, of met aanvallen die onder controle kunnen worden gehouden met anti-epileptica, is het mogelijk om de radiotherapie uit te stellen totdat de tumorgroei een kritieke fase bereikt. Er is vaak een wens om het risico op neurologische schade veroorzaakt door bestralingstherapie zelf te verminderen.
Twee prospectieve gerandomiseerde klinische studies lieten geen groter voordeel zien van radiotherapie in hoge dosis dan van radiotherapie met lage dosis. Typisch is de totale dosering tussen 45 en 54 gray met een fractionering van 1,8 tot 2 gray.
Het effect van adjuvante chemotherapie bij patiënten met laaggradige astrocytomen wordt nog onderzocht. Voorlopige resultaten van een klinische studie waarin radiotherapie alleen werd vergeleken met radiotherapie gevolgd door chemotherapie die procarbazine, lomustine en vincristine (PCV) bevatte, toonden een langere periode van "ziektevrije overleving" met de combinatie, maar geen verlengde "algehele overleving". Vanwege de toxiciteit die gepaard gaat met het PCV-protocol, wordt het gebruik van temozolomide aanbevolen, zowel als initiële therapie als na herstel.
Anaplastische astrocytomen

Anaplastisch astrocytoom is een kwaadaardige hersentumor die wordt gekenmerkt door diffuse groei, verhoogde celdichtheid en cijfers van nucleaire deling. Het komt voort uit een specifieke celpopulatie van het centrale zenuwstelsel, de astrocyten. Volgens de WHO-classificatie van tumoren van het centrale zenuwstelsel komt de tumor overeen met een tumor van graad III.
Typisch presenteren patiënten met anaplastisch astrocytoom zich met epileptische aanvallen, focale neurologische gebreken, hoofdpijn en persoonlijkheidsveranderingen. De gemiddelde leeftijd van de patiënt is 45 jaar. Beeldvorming met magnetische resonantie toont over het algemeen een massieve laesie met een verhoogd contrastsignaal, dat ook zwakker kan zijn. De diagnose wordt gesteld door histologisch onderzoek van de laesie door biopsie of chirurgische resectie.
Een slechtere prognose kan in verband worden gebracht met een hogere leeftijd, een slechte lichamelijke conditie en aanzienlijke neurologische schade. Over het algemeen is het therapeutische resultaat beter bij volledige chirurgische resectie (standaardbehandeling) zonder toenemende neurologische afwijkingen. Bestralingstherapie is standaard omdat is aangetoond dat het de overlevingstijd verlengt. De rol van chemotherapie is controversieel.
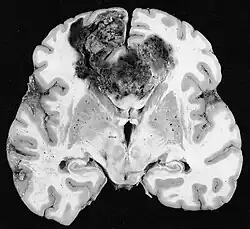
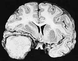
Glioblastoom

De meest voorkomende en kwaadaardige gliaceltumoren zijn glioblastomen. Ze bestaan voornamelijk bij volwassenen uit een heterogene massa van slecht gedifferentieerde astrocytoomcellen. Ze komen meestal voor in de hersenhelften, meer zelden in de hersenstam of het ruggenmerg. Behalve in zeer zeldzame gevallen, zoals alle hersentumoren, reiken ze niet verder dan de structuren van het centrale zenuwstelsel.
Glioblastoom kan ontstaan uit een diffuus (II. graad) of een anaplastisch astrocytoom (III. graad) ontwikkelen. In het laatste geval wordt het secundair genoemd. Wanneer het echter optreedt zonder antecedenten of bewijs van eerdere maligniteit, wordt het primair genoemd. Glioblastomen worden behandeld met chirurgie, bestraling en chemotherapie. Ze zijn moeilijk te genezen en er zijn maar weinig gevallen die langer dan drie jaar overleven.
Oligodendrogliomen
Oligodendroglioom is een zeldzame gliale hersentumor die ontstaat uit oligodendrocyten. Het komt vooral voor bij volwassenen tussen de 40 en 45 jaar, bij voorkeur in de hersenschors en de witte stof van de hersenhelften.
Oligodendrogliomen zijn relatief zeldzaam en vertegenwoordigen minder dan ongeveer 5 procent van alle primaire hersentumoren en niet meer dan ongeveer 10 tot 15 procent van alle gliomen. Deze tumoren zijn onderverdeeld in laaggradige en anaplastische laesies. Anaplastisch oligodendroglioom wordt gekenmerkt door verhoogde celdichtheid, mitose, endotheliale proliferatie en nucleair polymorfisme en necrose.
Laaggradige oligodendrogliomen en oligoastrocytomen

De mediane overleving voor patiënten met zuiver oligodendroglioom is ongeveer 10 jaar, met oligoastrocytoom ongeveer 8 jaar. De verlenging in vergelijking met zuivere astrocytomen is te wijten aan een deletie of translocatie van het 1p/19q-paar in de tumor.
De gemiddelde leeftijd van patiënten bij diagnose is 35 jaar. Typische symptomen zijn epileptische aanvallen, maar focale neurologische gebreken, persoonlijkheidsveranderingen of andere symptomen van intracraniële druk, zoals hoofdpijn en braken, kunnen ook worden gemeld. Deze tumoren zijn meestal niet zichtbaar op computertomografie, dus MRI is de voorkeursmethode voor diagnostische beeldvorming. Hiermee zijn ze herkenbaar als verhoogde signaalintensiteit. Aan -beelden daarentegen kan het signaal worden gedempt en kan de contrastverbetering slechts af en toe worden gedetecteerd. Er kan een verkalkingssignaal ontbreken.
Deze tumoren vorderen langzamer dan laaggradige astrocytomen en er is geen consensus in de literatuur over een optimale behandeling. De eerste behandeling omvat het beheersen van de symptomen met anti-epileptica, bestraling, chemotherapie of een combinatie van de laatste twee. Chirurgie, radiotherapie en chemotherapie spelen een belangrijke rol bij recidieven. Resecties kunnen de symptomen verlichten. Op temozolomide bleek 50 procent van de patiënten die terugvallen na radiotherapie een positieve reactie te hebben.[1]
Anaplastische oligodendroglioom en oligoastrocytomen
Anaplastisch oligodendroglioom vertonen typische symptomen als gevolg van het massa-effect en epileptische aanvallen. Ondanks hun chemosensitiviteit is de mediane overleving slechts 3 tot 5 jaren. De behandeling omvat maximale excisie, gevolgd door bestralingstherapie. Met betrekking tot chemotherapie moet worden opgemerkt dat in twee recente klinische fase III-]onderzoeken de resultaten van radiotherapie werden vergeleken met die van gecombineerde radiotherapie en procarbazine-, lomustine-, vincristine- chemotherapie. Hoewel de overleving zonder relevante symptomen langer was met de gecombineerde therapie, was de algehele overleving voor beide therapieën hetzelfde. Patiënten met een 1p/19q- deletie behaalden de beste behandelingsresultaten, terwijl patiënten zonder een 1p/19q-deletie hun resultaten konden verbeteren met PCV-chemotherapie.
Prospectieve klinische studies hebben aangetoond dat ongeveer 50 tot 70 percentage patiënten met recidiverend anaplastisch oligodendroglioom na radiotherapie reageert positief op chemotherapie met PCV of temozolomide Hoewel de superieure werkzaamheid van temozolomide- en PCV-therapie niet is vastgesteld, suggereert het ontbreken van cumulatieve myelosuppressie met temozolomide het gebruik ervan aan het begin van een terugvalbehandeling.
Ependymomen

Ependymoom is een neoplasma dat ontstaat uit ependymcellen die de cerebrale ventrikels, de plexus choroïdeus, het filum terminale en het centrale kanaal van het ruggenmerg bekleden. Ependymcellen zijn ook aanwezig in het hersenparenchym als gevolg van embryonale migratie van periventriculaire gebieden naar de hersenschors. Ependymoom is een neoplasma dat ontstaat uit ependymcellen die de cerebrale ventrikels, de plexus choroïdeus, het filum terminale en het centrale kanaal van het ruggenmerg bekleden. Ependymcellen zijn ook aanwezig in het hersenparenchym als gevolg van embryonale migratie van periventriculaire gebieden naar de hersenschors.
Ependymomen zijn onderverdeeld in laaggradige laesies (I. en II. graad op de WHO-schaal) en anaplastische laesies (III. graden) onderverdeeld. I. graad zijn in het bijzonder subependymomen en myxopapilaire ependymomen, III. Anaplastisch ependymoom. Patiënten met laaggradige ependymomen in de wervelkolom die volledig kunnen worden verwijderd, ondergaan daarna geen bestralingstherapie. De rol van postoperatieve radiotherapie bij laaggradige intracraniële ependymomen is controversieel, maar radiotherapie is meestal geïndiceerd voor anaplastische of laaggradige tumoren die niet volledig kunnen worden verwijderd.
Klinische studies hebben aangetoond dat ependymomen reageren op chemotherapie, met name op platina. Het voordeel van op platina gebaseerde chemotherapie is 67 procent, aan de andere kant 25 voor nitrosourea procent. De prognose voor ependymomen II. Cijfers zijn 6-jaars ziektevrije overleving van 68 procent en met een totale overleving van 87 procent. Bij anaplastische ependymomen dalen deze waarden tot 29 procent of tot 37 procent.
Niet-gliale tumoren
Medulloblastomen

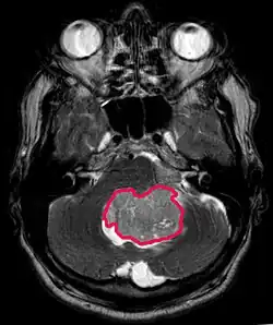
Medulloblastoom is de meest voorkomende kwaadaardige hersentumor bij kinderen. De hoogste incidentie komt voor bij kinderen in de leeftijd van 2 tot 7 jaar. Het grootste risico op ziekte blijft in de kindertijd, aangezien medulloblastoom zeer zeldzaam is bij mensen ouder dan 21 jaar.
Deze tumor is typerend voor de achterste fossa, waar hij is gelokaliseerd in beide hemisferen van het cerebellum of in de cerebellaire vermis. Omdat het invasief en snelgroeiend is, verspreidt het zich gewoonlijk naar andere delen van het centrale zenuwstelsel (CZS) via het CSF en kan het de bodem van het nabijgelegen vierde ventrikel en de hersenvliezen infiltreren. Meer zelden kunnen aanvullende CZS-metastasen optreden. Wanneer de maligniteit optreedt, omvatten de symptomen verlies van evenwicht, coördinatiestoornissen, diplopie, dysartrie en als gevolg van betrokkenheid van de vierde ventrikel, wat vaak resulteert in obstructieve hydrocephalus, hoofdpijn, misselijkheid en braken, en onstabiel lopen.
MRI toont meestal een enorme contrastverhogende laesie waarbij het cerebellum betrokken is. Zoals hierboven vermeld, heeft medulloblastoom een hoge neiging om lokaal de leptomeningen te infiltreren en zich ook door de subarachnoïdale ruimte te verspreiden, waarbij de ventrikels, cerebrale convexiteit en leptomeningeale oppervlakken van de wervelkolom betrokken zijn. Daarom is het noodzakelijk om de gehele craniospinale as in resonantie te brengen.
Het doel van de operatie is om zoveel mogelijk van de door de laesie gepresenteerde massa te verwijderen. In feite resulteren postoperatieve resterende tumoren in een slechtere prognose. Ook een voorbode van een ongunstige prognose is de aanwezigheid van tumorcellen in het hersenvocht of de resonantiedetectie van leptomeningeale metastasen. Een operatie alleen is meestal niet genezend. In sommige gevallen kan echter therapeutische bestraling van de craniospinale as, gericht op de primaire tumorplaats, het gevolg zijn. Het toevoegen van chemotherapie na bestralingstherapie verhoogt het genezingspercentage. Op platina gebaseerde geneesmiddelen (cisplatine of carboplatine), etoposide en een alkyleringsmiddel (cyclofosfamide of lomustine) worden samen met vincristine gebruikt. Met de juiste behandeling variëren de gevallen met een lange overleving van meer dan 3 jaar bij patiënten met medulloblastoom van 60 tot 60 jaar en 80 procent.
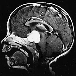
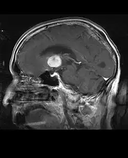
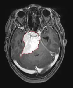
Meningeoom

_transitional_type.jpg)
Meningeoom zijn de meest voorkomende intracraniële extrinsieke of extra-axiale hersentumoren die ontstaan uit de cellen van de arachnoid, het membraan dat de hersenen en het ruggenmerg bekleedt. De incidentie van deze neoplasie is ongeveer twee gevallen per jaar per 100.000 inwoners. Ze komen vaker voor bij vrouwen in hun zesde en zevende decennium. Hun frequentie is hoger bij patiënten met type 2 neurofibromatose. Het verlies van het chromosoom 22 is kenmerkend voor meningeomen, hoewel de prognostische betekenis van deze bevinding nog steeds onduidelijk is.
Meningeoompatiënten kunnen symptomen vertonen die typisch zijn voor een massale schedellaesie, waaronder toevallen en focale neurologische gebreken. Omdat meningeoom ook asymptomatisch kan zijn, worden ze soms om andere redenen gedetecteerd op computertomografie en magnetische resonantiebeeldvorming. Deze resonantietumor heeft een karakteristiek uiterlijk, meestal bestaande uit uniforme contrastversterking langs de dura met duidelijke scheiding van het hersenparenchym. Een ander kenmerk, hoewel niet in alle gevallen aanwezig, is de zogenaamde "durale staart", weergegeven door een uitstulping die zich voorbij de laesie uitstrekt en het verankeringspunt in de dura aangeeft.
Veel incidenteel ontdekte Meningeoom hebben geen behandeling nodig op het moment van de eerste diagnose. Als blijkt dat de patiënt een significant massa-effect heeft, ongeacht of er symptomen zijn of niet, is de voorkeursbehandeling meestal volledige resectie. In een studio van Mayo Clinics die de tumorcontrolepercentages na chirurgische resectie en radiochirurgie vergeleek bij patiënten met een klein tot matig intracranieel meningeoom en geen massa-effectsymptomen, resulteerde radiochirurgie in een betere controle (98 versus 88 procent) en met minder complicaties (10 tegen 22 procent) vergeleken met chirurgische verwijdering.
Primaire CZS-lymfomen
Primair lymfoom van het centrale zenuwstelsel is goed voor ongeveer 2 procent naar 3 procent van alle hersentumoren bij patiënten met een normaal immuunsysteem. Ze komen vaker voor bij mannen boven de 55 tot 60 jaar op. Bijna de helft van alle lymfomen komt voor bij patiënten ouder dan 60 jaar en ongeveer een kwart bij patiënten ouder dan 70 jaar jaar op. De incidentie lijkt toe te nemen met de leeftijd, maar de reden is nog steeds onduidelijk. Patiënten met een verzwakt immuunsysteem lopen een groter risico op het ontwikkelen van CZS-lymfoom, dus degenen die een orgaantransplantatie hebben ondergaan, hebben een aangeboren immunodeficiëntie of auto-immuunziekte, of zijn geïnfecteerd met het humaan immunodeficiëntievirus. HIV-geassocieerde hersenlymfomen zijn geassocieerd met het Epstein-Barr-virus, vooral bij patiënten met CD4-lymfocytentellingen van minder dan 500 cellen per kubieke millimeter in het bloed. De meeste CZS-lymfomen zijn grote B-cellymfomen van het type.
Patiënten lijden aan een verscheidenheid aan karakteristieke symptomen van een focale of multifocale massieve laesie. MRI toont meestal tumoren met homogene contrastversterking in de diepe periventriculaire witte stof. Multifocaliteit en inhomogene versterking zijn typisch voor patiënten met een verzwakt immuunsysteem. Analyse van CZS-lymfoom is uiterst belangrijk bij de differentiële diagnose van hersenneoplasie. Opgemerkt moet worden dat de toediening van corticosteroïden kan leiden tot het volledig verdwijnen van de versterking, waardoor de diagnose van de laesies moeilijk wordt. Als daarom CZS-lymfoom moet worden overwogen bij de differentiële diagnose, moeten corticosteroïden worden vermeden, tenzij het massa-effect een ernstig en onmiddellijk probleem bij de patiënt veroorzaakt.
Biopsie van de vermoedelijke laesie is cruciaal. In tegenstelling tot systemisch grootcellig B-cellymfoom, waarbij zowel chemotherapie als radiotherapie effectief zijn en de behandeling van gelokaliseerde laesies curatief is, reageert lymfoom van het centrale zenuwstelsel doorgaans op initiële therapie, maar keert daarna terug. Net als bij systemisch lymfoom is de rol van chirurgie voornamelijk beperkt tot het verkrijgen van geschikte weefselmonsters voor diagnose.
In het verleden werd bestralingstherapie gegeven aan de hele hersenen (panencefalisch). De mediane overleving is ongeveer 12, zelfs met gelokaliseerde laesies Maanden. Herhaling treft meestal de plaats van de vorige verwonding en andere regio's. De reacties op chemotherapie zijn veelbelovender. Klinische onderzoeken waarin alleen methotrexaat in hoge doses werd gebruikt als de eerste behandeling en radiotherapie werd uitgesteld tot het moment van terugval of progressie, lieten een betere algehele overleving zien dan alleen radiotherapie. Nog effectiever was de combinatie van methotrexaat, vincristine, procarbazine, intrathecaal methotrexaat, cytarabine en panencefale radiotherapie en cytarabine, of het gebruik van intra-arteriële chemotherapie met intra-arterieel methotrexaat, intraveneus geïnjecteerd cyclofosfamide en etoposide na wijziging van de bloed- hersenbarrière met mannitol. De mediane overleving bij methotrexaattherapie was 24 tot 40 maanden veel hoger dan bij radiotherapie alleen (bereik 24 tot 40 maanden). In sommige gevallen wordt bestralingstherapie alleen gebruikt voor recidieven wanneer er een initiële regressie is met chemotherapie. Er zijn ook gevallen van lange overleving gemeld zonder radiotherapie.
Panencefalische bestralingstherapie gaat gepaard met een hoog risico op het ontwikkelen van dementie of leuko -encefalopathie. Dit risico kan worden verminderd door het ontwikkelen van effectieve tumorcontrolestrategieën die panencefale radiotherapie vermijden. De initiële therapie voor patiënten met een gecompromitteerd immuunsysteem is het verminderen van de oorzaken van immunosuppressie. De prognose voor deze patiënten is meestal slechter dan die voor patiënten met een normaal immuunsysteem. Als gevolg van begeleidende tumorinfecties en een over het algemeen suboptimale lichamelijke conditie kan chemotherapie bij deze immuungecompromitteerde patiënten vaak niet worden uitgevoerd. Net als bij andere hersentumoren hangt de respons op behandelingen af van leeftijd en lichamelijke conditie.
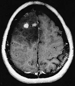
Gemetastaseerde tumoren van het centrale zenuwstelsel
Hersenmetastasen
Hersenmetastasen zijn de meest voorkomende intracraniële neoplasmata bij volwassenen en komen tien keer vaker voor dan primaire hersentumoren. Ze stappen op 20 tot 40 procent van de volwassenen met kanker en worden voornamelijk geassocieerd met long- en borstkanker en melanoom. Deze laesies zijn het gevolg van de verspreiding van kankercellen door de bloedbaan en komen meestal voor op de kruising van grijze en witte stof, waar de dwarsdoorsnede van bloedvaten verandert, waardoor tumorcelembolie wordt opgesloten . 80 procent van de laesies komt voor in de hersenhelften, procent in het cerebellum en 5 procent in de hersenstam. Ongeveer 80 procent van de patiënten heeft een voorgeschiedenis van systemische kanker en 70 procent heeft meerdere hersenmetastasen.

Hersenmetastasen zijn de meest voorkomende intracraniële neoplasmata bij volwassenen en komen tien keer vaker voor dan primaire hersentumoren. Ze stappen op 20 tot 40 procent van de volwassenen met kanker en worden voornamelijk geassocieerd met long-en borstkanker en melanoom. Deze laesies zijn het gevolg van de verspreiding van kankercellen door de bloedbaan en komen meestal voor op de kruising van grijze en witte stof, waar de dwarsdoorsnede van bloedvaten verandert, waardoor tumorcelembolie wordt opgesloten. 80 procent van de laesies komt voor in de hersenhelften, procent in het cerebellum en 5 procent in de hersenstam. Ongeveer 80 procent van de patiënten heeft een voorgeschiedenis van systemische kanker en 70 procent heeft meerdere hersenmetastasen.
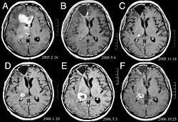
De literatuur laat gelijkwaardige resultaten zien voor chirurgie en radiochirurgie. Dit laatste lijkt handiger, effectiever en veiliger voor kleine laesies of in gebieden die niet toegankelijk zijn voor chirurgie. Radiochirurgie is een verstandig alternatief voor patiënten die om medische redenen niet geopereerd kunnen worden. Chirurgie is echter duidelijk de optimale methode om weefsels te verkrijgen voor diagnose en om de laesies te verwijderen die een massa-effect veroorzaken. Daarom moeten radiochirurgie en chirurgie beter worden beschouwd als twee complementaire maar verschillende methoden die moeten worden toegepast, afhankelijk van de verschillende situatie van de patiënt. Voor bijna 50 procent van de patiënten met een of twee hersenmetastasen komt niet in aanmerking voor chirurgische verwijdering vanwege de ontoegankelijkheid van de laesies, de omvang van de systemische ziekte of andere factoren. Deze en andere patiënten met meerdere metastasen krijgen gewoonlijk panencefale bestralingstherapie als standaardbehandeling. Bereik eigenlijk tot bijna 50 procent van hen met deze therapie een verbetering van neurologische symptomen en 50 tot 70 procent een merkbare reactie. Chemotherapie wordt zelden primair gebruikt voor hersenmetastasen.
Voor de meeste patiënten met hersenmetastasen is de mediane overleving slechts vier tot zes maanden na panencefale bestralingstherapie. Patiënten jonger dan 60 jaar met discrete laesies en gecontroleerde systemische ziekte kunnen echter een langere overleving bereiken omdat ze een agressievere behandelingsbenadering kunnen verdragen.
Meningeale metastasen

Rond de 5 procent van de tumorpatiënten kan worden gediagnosticeerd met uitzaaiingen van de zachte hersenvliezen (leptomeninges encefali). Meestal komen ze voor bij melanoom-, borst- en longkanker als gevolg van de verspreiding van tumorcellen door de bloedbaan. De kwaadaardige cellen worden vervolgens verspreid door het centrale zenuwstelsel (CZS), meestal via de cerebrospinale vloeistof, algemeen bekend als hersenvloeistof.
Een of meer van de volgende tekenen en symptomen kunnen onder andere worden veroorzaakt door meningeale metastasen:
- lokale zenuwbeschadiging zoals hersenzenuwverlamming, motorische zwakte en radiculopathieën, paresthesie en pijn,
- directe invasie van de hersenen of het ruggenmergweefsel,
- Aandoening van de bloedvaten in de hersenen en de wervelkolom met focale neurologische gebreken en/of toevallen,
- Belemmeringen voor de normale stroom van hersenvocht met hoofdpijn en verhoogde intracraniale druk,
- Aandoeningen van de normale hersenfunctie zoals encefalopathie en/of
- perivasculaire infiltratie door tumorcellen met als gevolg ischemie en apoplexiesymptomen.
De diagnose kan worden gesteld door onderzoek van de cerebrospinale vloeistof of magnetische resonantie beeldvorming van de hersenen en het ruggenmerg. De aanwezigheid van kwaadaardige cellen kan worden gemeten bij 50 procent van de patiënten kan worden geïdentificeerd. Minstens 10 procent van de patiënten met leptomeningeale betrokkenheid, blijft het cytologisch onderzoek negatief. Door het aantal lumbaalpuncties te verhogen tot zes en de hoeveelheid verwijderd vloeistofvolume tot 10 Milliliter per punctie kan de kans op een positieve diagnose vergroten. In de cerebrospinale vloeistof is de concentratie van eiwitten meestal hoog, die van glucose kan laag zijn in aanwezigheid van pleocytose . Radiografisch onderzoek kan hydrocephalus aantonen zonder een massale laesie of diffuse vergroting van de leptomeningen.
Zonder therapie is de mediane overleving 4 tot 6 weken, met overlijden als gevolg van progressieve neurologische achteruitgang. Leptomeningeale metastasen zijn vaak een manifestatie van het eindstadium van de hoofdziekte en symptomatische therapie kan de meest geschikte oplossing zijn. Corticosteroïden en pijnstillers bieden tijdelijke verlichting. Behandeling kan worden aangeboden aan patiënten met een minimale systemische ziekte en een aanvaardbare algemene fysieke conditie om de symptomen te verlichten en de overleving te verlengen.
De mediane overleving kan worden verbeterd door radiotherapie op symptomatische plaatsen en meer volumineuze zieke gebieden geïdentificeerd door röntgenfoto's, en door intrathecale therapie met methotrexaat, cytarabine en thiotepa, uitgevoerd met een lumbaalpunctie of Ommaya-katheter, vanaf 3 op 6 maanden worden verhoogd.
De belangrijkste complicatie van op methotrexaat gebaseerde intrathecale therapie is necrotiserende leuko-encefalopathie, die zich na maanden therapie kan ontwikkelen bij die weinige patiënten die kunnen genieten van een verlengde overleving. Dit verwoestende toxische effect komt met name vaak voor bij patiënten die eerder of gelijktijdig met intrathecale behandeling met methotrexaat zijn bestraald.
Pijn en terminale zorg
Palliatieve zorg is een bijzondere vorm van zorg gericht op het verbeteren van de kwaliteit van leven van patiënten die lijden aan een ernstige of levensbedreigende ziekte, zoals kanker. Het doel van palliatieve zorg is niet het genezen, maar zo vroeg mogelijk voorkomen of behandelen van de symptomen en bijwerkingen van de ziekte en de behandeling ervan, evenals de psychologische, sociale en spirituele problemen die ermee gepaard gaan. Palliatieve zorg wordt ook wel comfortzorg, ondersteunende zorg en symptoombestrijding genoemd.
Palliatieve zorg wordt verleend tijdens de kankerervaring van een patiënt. Het begint meestal met de diagnose en gaat door met de behandeling, nazorg en het einde van het leven.
Externe links
- www.cochrane.org/pt/evidence – COCHRANE - Neuro-Oncology Group
- www.eano.eu – European Association of Neuro-Oncology
- https://www.eortc.org/research_field/brain/ – The European Organisation for Research and Treatment of Cancer (EORTC)
Literatuur
- (en) Jan C. Buckner et al., Central Nervous System Tumors, Mayo Clinic Proceedings, Jg. 82, 2007, lado 1271-1286
- (en) Lisa M. DeAngelis et al., Intracranial Tumors. Diagnosis and Treatment, Dunitz London, 2002, ISBN 1-901865-37-1
- (en) D. N. Louis et al., WHO Classification of Tumours of the Central Nervous System, Genf, 2007, ISBN 978-92-832-2430-3
- (en) Richard Pazdur et al., Cancer management. A multidisciplinary approach. Medical, surgical, & radiation oncology, UBM Medica, 2010, ISBN 978-0-615-41824-7
- (en) Jerome B. Posner, Neurologic Complications of Cancer, Davis, Philadelphia, 1995, ISBN 0-8036-0006-2
- (de) Rüdiger Schenk, Neuroonkologische Therapiekonzepte zur Behandlung von Astrozytomen höheren Malignitätsgrades und Rezidivlokalisation, Regensburg, 2019
- (de) Uwe Schlegel et al., Neuroonkologie, 2. erw., Thieme, Stuttgart, 2003, ISBN 3-13-109062-6
- (en) Jörg-Christian Tonn et al., Oncology of CNS Tumors, Springer, Berlin, 2010, ISBN 978-3-642-02873-1
- Dit artikel of een eerdere versie ervan is een (gedeeltelijke) vertaling van het artikel Neuroonkologie op de Duitstalige Wikipedia, dat onder de licentie Creative Commons Naamsvermelding/Gelijk delen valt. Zie de bewerkingsgeschiedenis aldaar.
- ↑ Phase II Trial of Temozolomide in Patients With Progressive Low-Grade Glioma (15 februari 2003).