Magnetic resonance imaging

Magnetic resonance imaging
MRI-scanner van Philips in Taipei, Taiwan (2006)
MRI-scanner van Philips in Taipei, Taiwan (2006)
Coderingen
ICD-9-CM 88.91
MedlinePlus 003335
MeSH D008279
Portaal  Portaalicoon  Geneeskunde

Magnetic resonance imaging (MRI), in het Nederlands soms aangeduid met kernspintomografie,[1] is een medische beeldvormingstechniek die wordt gebruikt voor het in kaart brengen van het lichaam en bepaalde lichaamsprocessen. MRI-scanners werken met een sterk magneetveld en radiogolven waarmee de organen in het lichaam zichtbaar kunnen worden gemaakt. Aan MRI komen geen röntgenstralen of ioniserende straling te pas, waardoor deze technologie zich onderscheidt van CT- of CAT- en PET-scans.

MRI wordt in de geneeskunde veel gebruikt voor het stellen van een diagnose, het bepalen van het stadium van een ziekte en voor het opvolgen van patiënten zonder ze bloot te stellen aan gevaarlijke straling. Vergeleken met CT-scans duren MRI-scans vaak langer, maken de scanners veel meer lawaai en moeten mensen in een langere tunnel liggen. Dit wordt door sommige mensen als onprettig ervaren. De resolutie (scherpheid) van MRI-scans kan hoger zijn dan die van CT-scans, maar het is met name het contrast tussen de verschillende weefsels waardoor artsen een duidelijker beeld kunnen krijgen van eventueel letsel of ziekte in het lichaam.

MRI berust op het natuurkundige mechanisme van de nuclear magnetic resonance (NMR), kernspinresonantie. Deze term is voor de medische beeldvorming in onbruik geraakt vanwege de onterechte associatie met kernreacties en radioactiviteit, maar de afkorting NMR wordt verder in de exacte wetenschappen (natuurkunde, scheikunde, biochemie) wel normaal gebruikt voor onderzoek met kernspinresonantie.[2] In België wordt de afkorting NMR nog wel gebruikt om MRI aan te duiden.[3][4][5]

De eerste die zich realiseerde dat met NMR beelden van levend weefsel konden worden gemaakt was begin 1970 de Amerikaanse biofysicus Raymond Damadian. Tegen 1977 kon hij een eerste (enorm groot) prototype laten zien. Daarna ging de ontwikkeling snel en ieder jaar werden er verbeteringen in de beeldvorming en verwerking aangebracht.

Werking

Kernspin, gradiënt en puls

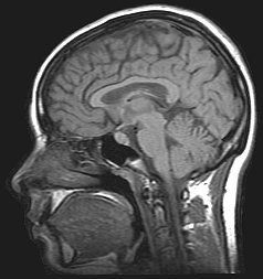
MRI-scan van de hersenen

MRI is gebaseerd op dezelfde technieken als de kernspinresonantie-spectroscopie zoals die in de chemische analyse wordt gebruikt. Om een MRI-scan te maken, wordt iemand in een MRI-scanner gelegd. Hierbij wordt de patiënt in een sterk, homogeen statisch magneetveld geplaatst (het B₀-veld). Protonen (waterstofkern) in lichaamsweefsel dat water of vet bevat geven een signaal af dat verwerkt kan worden tot een afbeelding. Eerst wordt er met elektromagnetische straling een trilling in het magneetveld opgewekt met precies de juiste resonantiefrequentie. De aangeslagen kernspins van de waterstofatomen zenden dan radiogolven uit, die worden gemeten met een spoel. De radiogolven kunnen zo worden afgesteld dat ze informatie geven over posities van bepaalde structuren in het lichaam door een gradiënt in de sterkte van het magneetveld te maken. De spoelen worden snel aan- en uitgezet, wat het kenmerkende rammelende geluid van een MRI-scan produceert. Het contrast tussen verschillende weefsels wordt onder andere bepaald door de hoeveelheid waterstof in het weefsel. Aangezien allerlei soorten weefsel verschillende waterstofdichtheden hebben kunnen dan details van de anatomie worden waargenomen.

Voor MRI is een sterk en homogeen magneetveld nodig. De sterkte van het magneetveld wordt gemeten in tesla (T). De sterkte wisselt per apparaat, typisch tussen 0,2 en 7 T. Het magneetveld wordt opgewekt door supergeleidende spoelen, gekoeld met vloeibaar helium. Recente vooruitgang in de vastestoffysica heeft materialen opgeleverd die bij hogere temperaturen dan van vloeibaar helium ook supergeleiding vertonen. Deze kunnen gekoeld worden met het veel beter hanteerbare vloeibare stikstof. De verwachting is dat MRI-scanners een flink stuk goedkoper en kleiner kunnen worden en daardoor ook in kleinere ziekenhuizen en klinieken gebruikt zullen gaan worden. Met permanente magneten kunnen zwakkere magneetvelden worden gemaakt. Dit kan nuttig zijn voor "open" MRI-scanners, voor claustrofobische patiënten.[6]

Scanners met een veldsterkte van 7 T hebben een heel sterk magneetveld en kunnen daardoor zeer scherpe beelden produceren. Deze worden alleen gebruikt in (medische) onderzoekscentra, en niet voor klinische doeleinden. Het LUMC in Leiden, Amsterdam UMC en het UMC Utrecht hebben zo'n scanner. Een MRI-scanner van 9,4 T werd in 2013 in een nieuw onderzoekscentrum van de Universiteit Maastricht geplaatst.[7]

Omgevingsafhankelijkheid van relaxatietijd (T1 en T2)

Voorbeelden van T1-, T2- en PD (protondichtheid)-gewogen MRI-scans

Naast de waterstofdichtheid zijn er ook andere weefseleigenschappen waarvan een plaatje te maken is, namelijk de snelheid waarmee de kernspin van aangeslagen atomen terugkeert naar de grondtoestand, de zogenoemde relaxatietijden. Zo is de tijd te meten waarin de longitudinale spincomponent voor 63% terugklapt, de zogenoemde T1. Deze is afhankelijk van de snelheid waarmee de waterstofkernen (protonen) in het weefsel de energie van hun spin afstaan in de vorm van warmte. Tevens is de tijd die het duurt voordat de transversale (dwars)component voor 63% vervalt te meten (T2). Op T1-gewogen opnamen geeft weefsel met een korte T1, zoals vetweefsel een hoog signaal waardoor het in wit op het beeld zichtbaar is. Bij een T2-opname geven weefsels met juist een lange T2, zoals vocht en vloeistoffen een sterk signaal. Een T1- of T2-gewogen afbeelding wordt vervaardigd door de fliphoek, de echotijd en repetitietijd in te stellen.

MRI-beelden worden standaard in zwart-wit afgebeeld, waarin de verschillende soorten weefsels hun eigen grijstint hebben:

SignaalT1-gewogenT2-gewogen
Sterk
Gemiddeld
  • Witte stof is donkerder dan grijze stof.[10]
Zwak

Visualisatie en resolutie

Om het resultaat te visualiseren wordt de scan door de computer meestal als een aantal 'plakjes' van het lichaam of het hoofd gepresenteerd, die naar keuze in de drie anatomische vlakken (sagittaal, transversaal, coronaal) kunnen worden bekeken. Vaak kan zelfs elk mogelijk vlak onder willekeurige hoek gekozen worden - de gegevens kunnen door een snelle computer op iedere gewenste manier worden gepresenteerd, de enige beperkende factor is de benodigde rekentijd. Ook driedimensionale weergaven van bepaalde structuren in een bepaalde lichtval behoren tot de mogelijkheden, zolang er maar een manier bestaat om met behulp van de software te onderscheiden welke voxel (beeldpunt) tot de structuur behoort en welke niet. De software-ontwikkeling is daarom onverbrekelijk verbonden met die van de andere technieken.

Met moderne MRI-scanners is het scheidend vermogen ongeveer 0,3 millimeter (2005).

Contrastmiddelen

Om het contrast van de MRI-scans te verhogen kan men een contrastmiddel in de bloedstroom inspuiten. Om een artrogram (afbeelding van een gewricht) van bijvoorbeeld de schouder, heup of pols te maken wordt dit contrastmiddel verdund in het gewricht geïnjecteerd. Contrastmiddelen voor MRI zijn meestal gadoliniumverbindingen, die paramagnetische eigenschappen hebben. Voorbeelden zijn: gadoterate meglumine (Gd-DOTA, merknaam: Dotarem), gadopentetaatdimeglumine[11] (Gd-DTPA, merknaam: Magnevist), gadoxetaat (Gd-EOB-DTPA, merknaam: Primovist) en gadobutrol (Gd-BT-DO3A, merknaam: Gadovist). De gadoliniumverbindingen kunnen echter moeilijk uitgescheiden worden bij patiënten met een nierstoornis en in ernstige gevallen kan het nodig zijn om ze te verwijderen door middel van hemodialyse. Bij patiënten met een ernstige nierinsufficiëntie kunnen bepaalde soorten gadoliniumhoudende contrastmiddelen ook een toxische reactie (nefrogene systemische fibrose) veroorzaken. Tot nu toe lijken de minder stabiele verbindingen (non-ionisch, lineair) de boosdoeners te zijn. Sommige contrastmiddelen kunnen ook allergische reacties veroorzaken.

Beperkingen door het magneetveld

Veelvoorkomend veiligheidssymbool
Waarschuwingstekst bij een MRI-scanner in het UMCG (2015)

Bij een MRI-scan mag beslist geen ferrometaal aanwezig zijn. Dat geldt zelfs voor make-up, waarin vaak metaaldeeltjes zitten. Kleding met ritssluitingen en metalen knopen of sluitingen moet worden uitgetrokken, achtergebleven metalen paperclips in nieuwe overhemden moeten worden verwijderd, net als sleutelbossen en portemonnees met munten. Goud is geen ferrometaal, dus gouden sieraden en gouden tanden zijn geen probleem. Giropasjes en dergelijke worden gewist door het sterke magneetveld van de MRI.

Tijdens het onderzoek is de patiënt alleen; er is geen verpleegkundige of laborant aanwezig. De patiënt krijgt een drukknop in de hand om hulp te kunnen roepen. Deze werkt met luchtdruk: het is geen elektrische drukknop maar een knijpballetje. Soms krijgt de patiënt een koptelefoon voor muziek naar keuze en contact met de laborant.

De aanwezigheid van sommige metalen voorwerpen in het lichaam van patiënten (onder andere endoprothesen, pacemakers, spiraaltjes, neurostimulatoren, insulinepompen, intraoculaire metaaldeeltjes (in het oog), metalen kunsthartkleppen en cochleaire implantaten[12]) kan, afhankelijk van de sterkte van het magnetische veld van het MRI-apparaat, een contra-indicatie zijn voor het uitvoeren van het MRI-onderzoek, omdat het plaatsen van deze voorwerpen in een magnetisch veld een gevaar kan opleveren voor de patiënt. Dit geldt vooral voor ferromagnetische materialen.

Er zijn gevallen bekend van patiënten met metalen clips (knijpers) op slagaders van de hersenen waarbij tijdens een MRI-onderzoek de clips losschoten en letsel aan de hersenen toebrachten. Moderne implanteerbare clips en andere voorwerpen zijn om deze reden in het algemeen niet gevoelig meer voor magneetvelden (ze worden veelal gemaakt van titanium) maar kunnen nog wel de beeldvorming bij MRI verstoren. Normaal gesproken ligt hierbij de grens bij het jaar 1990: ferromagnetische clips die hiervoor intracranieel (in de schedel) zijn aangebracht of die minder dan vijf weken voor het onderzoek zijn geplaatst vormen een absolute contra-indicatie (tegenargument) voor het vervaardigen van een MRI. Ook bij een zwangerschapsduur korter dan twaalf weken wordt meestal geen MRI vervaardigd. Oude tatoeages (die door het magneetveld kunnen vervloeien) vormen relatieve contra-indicaties.

Het kan ook problematisch zijn als de patiënt claustrofobie heeft.

MRI en CT

De beelden van een MRI-onderzoek lijken in eerste instantie op die van een CT-scanner met röntgenstraling, beide zijn zogenoemde tomografieën. Maar er zijn grote verschillen door de wijze waarop de beelden gevormd worden. Een CT-scanner meet absorptie van röntgenstraling, waarbij vooral het dichte calcium in botten opvalt. Een MRI-scanner meet met radiostraling het voorkomen van één element, vaak is dat waterstof, maar koolstof, stikstof en fosfor kunnen ook gevolgd worden. Een MRI-scanner stelt de patiënt niet bloot aan ioniserende straling zoals de röntgenstraling van CT-scanners. Er zijn wel andere gevaren, zoals het eerder genoemde sterke magnetisme. Bij specifieke instellingen kan door het gebruik van de radiogolven de temperatuur in de patiënt wat oplopen. De scanner lijkt dan op een zeer groot uitgevallen magnetron. Er zit voldoende beveiliging op de scanners om de opwarming minimaal te houden. Als er zich toch metalen voorwerpen in of op de patiënt bevinden, dan kunnen deze, bij specifieke instellingen van de scanner, wel nare brandwonden veroorzaken.

CT en MRI vullen elkaar aan, maar ze kunnen elkaar niet helemaal vervangen.

Basissequenties

Scanners

Foto van een open MRI-scanner

Modellen

Naast de traditionele holle cilindrische systemen komen ook meer open systemen beschikbaar. Deze open systemen zijn vooral voor patiënten met claustrofobie en obesitas van belang: de patiënt ligt nog steeds, maar de cilinder is vervangen door twee platen die zich onder en boven de patiënt bevinden. Nog een stap verder gaan de apparaten waarbij de patiënt, in plaats van in de traditionele, horizontaal liggende positie, ook verticaal (staand en zittend en alle posities daartussenin) gepositioneerd kan worden. Een dergelijk systeem stelt de radioloog in staat om de patiënt te onderzoeken in een natuurlijker positie, waarbij het lichaam onderhevig is aan de normale dagelijkse omstandigheden onder invloed van de zwaartekracht.

Toepassingen

Animatie van een fMRI-scan. Horizontale doorsneden van de hersenen worden getoond, van boven naar beneden. De stip linksboven is een vitamine E-pil, die tegen het hoofd geplakt was om links en rechts niet te verwisselen.

Binnen de neurowetenschap wordt vaak gebruik gemaakt van functionele MRI (fMRI). Met fMRI is het mogelijk te zien welke hersengedeelten tijdens een bepaalde activiteit meer zuurstof gebruiken. Dit wordt zowel in het biologische (medische) als in het psychologische onderzoek toegepast, en bepaalt daardoor mede de ontwikkeling van de psychologie, die tegenwoordig niet alleen een van de sociale wetenschappen, maar ook een van de neurowetenschappen geworden is.[13]

Neurologie

Hoofdletsel

Röntgenstraling wordt geabsorbeerd door materialen. Ze kan dus onderscheid maken tussen bijvoorbeeld bot (bevat calcium) en lucht in de longen. MRI kan onderscheid maken tussen weke delen en is daardoor effectiever bij de meeste aandoeningen, maar niet bij botafwijkingen; voor een schedelbasisfractuur zal men een CT-scan met röntgenstraling maken, voor een hersenkneuzing een MRI.

Multiple sclerose

Bij multiple sclerose zijn met MRI vage witte vlekken te zien in hersenen en ruggenmerg. Hoewel andere ziekten, zoals de ziekte van Lyme hierop gelijkende beelden kunnen veroorzaken, is het meestal mogelijk met een combinatie van MRI en laboratorium de diagnose te stellen.

Beroerte

Bij een recente beroerte maakt men in principe een CT-scan. De apparatuur is bijna altijd in ziekenhuizen aanwezig en het scannen duurt korter, zodat men eventueel bij een niet bloederig herseninfarct kan overgaan tot openen van het bloedvat. Bij twijfel kan een MRI gemaakt worden, deze toont het infarct eerder dan de CT-scan en toont meer details.[14] Diffusion weighted imaging is bijna 100% sensitief op dit gebied.

MRI is een prima manier om het verdere verloop te vervolgen. Ook kan een MRI worden ingezet om bij andere aandoeningen zoals de (ziekte van Parkinson of dementie een beroerte uit te sluiten. Met MR-angiografie (afbeelding bloedvaten met contrastvloeistof) kan men de plek in de bloedvaten opsporen, waar de bloedproppen die de beroerte of de TIA (transient ischemic attack) veroorzaakten vandaan kwamen.

Hersentumor

Vooral wanneer er tevens een contrastmiddel wordt toegediend is een tumor goed zichtbaar te maken met MRI. Andere MRI-technieken kunnen gebruikt worden om het gezwel nader te onderzoeken, MRI-spectroscopie bijvoorbeeld geeft de chemische samenstelling van het weefsel in een beeldelement.[15]

Dementie

Nog niet zo lang geleden moest men gelaten afwachten, wat er stond te gebeuren als de eerste verschijnselen van dementie opgemerkt werden. Met behulp van onder andere MRI zijn de verschillende dementiesyndromen nu vroegtijdig te diagnosticeren, waardoor men er beter op in kan spelen.[16]

Inwendige organen

Hart en vaatstelsel

Met behulp van MRI is de precieze grootte en plaats van een hartinfarct en zijn gevolgen goed af te beelden. De hartkleppen kunnen goed bestudeerd worden. Afwijkingen aan de grotere bloedvaten worden goed zichtbaar.

Maag, lever, darm

De dunne darm is niet te bereiken met endoscopie en maar moeizaam met röntgenonderzoek. Maar met behulp van MRI kan men de dunne darm goed onderzoeken om bijvoorbeeld de ziekte van Crohn op te sporen. Ook wordt MRI gebruikt om afbeeldingen te maken van lever of alvleesklier.

Nieren

Met behulp van MRI kan de ontwikkeling van cystenieren goed gevolgd worden.[17]

Orthopedie

MRI van een knie

Met een MRI kan een hernia zo goed zichtbaar gemaakt worden, dat gebleken is dat heel veel mensen er klachtenvrij mee rondlopen. Het is dan ook zaak niet te snel over te gaan tot onderzoek en behandeling. Met MRI zijn de weke delen (alles behalve bot) van gewrichten goed af te beelden, zoals

Zie ook

  • (en) Phet.colorado.edu Interactieve Java-applet die de werking van een MRI-scanner illustreert (klik op de tab MRI nadat de applet gestart is)
Zie de categorie Magnetic resonance imaging van Wikimedia Commons voor mediabestanden over dit onderwerp.