Medulloblastoom

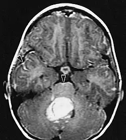
Het medulloblastoom is een zeer kwaadaardige tumor van het centrale zenuwstelsel. Deze wordt gevormd uit zeer primitieve zenuwcellen en bevindt zich altijd in het gebied van de kleine hersenen, zit in de buurt van de hersenstam medulla oblongata. De tumor zaait dikwijls uit binnen het centrale zenuwstelsel. De prognose hangt af van veel factoren. Jonge kinderen en patiƫnten met uitzaaiingen hebben een slechte prognose. De behandeling hangt af van de leeftijd en de uitbreiding van de ziekte. Patiƫnten met een leeftijd boven de 5 jaar, die geen uitzaaiingen hebben en waarbij de tumor geheel of vrijwel geheel operatief verwijderd is worden behandeld volgens een protocol van de SIOP. Er wordt gestart met bestraling van het gehele centrale zenuwstelsel en aansluitend wordt gedurende ongeveer een jaar chemotherapie gegeven. In deze gevallen is de kans op overleving ongeveer 75 %.
- Tekst afkomstig van http://www.kinderkanker.nl/