Ependymoom
| Ependymoom | ||||
|---|---|---|---|---|
![]() | ||||
| Synoniemen | ||||
| Latijn | Ependymoma[1] | |||
| Coderingen | ||||
| ICD-11 | ||||
| ICD-O | 9391/3-9394/1 | |||
| MeSH | D004806 | |||
| ||||
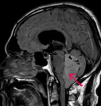
Een ependymoom[1] is een vorm van hersentumor. Ongeveer 85% is goedaardig. De tumor komt voor bij kinderen met een piek rond het vierde jaar, en bij volwassenen met een piek rond het 35e jaar.
Gliomen (neoplasmata van de gliacellen) die ontstaan uit de ependymcellen worden ependymomen genoemd. Deze tumor ontstaat in de ependymcellen die de hersenventrikels bekleden en in de resten van het centrale kanaal van het ruggenmerg.
De hersenholtes (hersenventrikels) en hersenkanalen, en in het centrale kanaal van het ruggenmerg, waarin het hersenvocht (liquor) stroomt, worden bedekt met ependymcellen. Ependymomen kunnen zowel in de grote hersenen, de kleine hersenen, als in het ruggenmerg voorkomen. Ependymomen kunnen in tegenstelling tot de andere gliomen wel uitzaaien: omdat het ependymoom in het hersenvocht groeit kunnen tumorcellen zich met het hersenvocht verplaatsen en zo uitzaaiingen in hersenen of ruggenmerg veroorzaken (maar niet naar andere weefsels van het lichaam).
Symptomen
Omdat ependymomen in de hersenholtes groeien, kunnen ze aanleiding geven tot een opstopping van de stroom van het hersenvocht. Bij heel jonge kinderen kan dat de oorzaak zijn van een hydrocefalus (waterhoofd). Bij oudere kinderen en bij volwassenen geeft dat aanleiding tot:
- Hoofdpijn, misselijkheid en braken
- Spraak- en evenwichtsstoornissen
- Slikmoeilijkheden
- Krachtsverlies in het gelaat
- Dubbelbeelden
Als de tumor zich bevindt in het ruggenmergkanaal:
- uitval of minder gevoel in benen, voeten en/of tenen
- zenuwpijn in rug (straalt vaak door tot benen en voeten)
- stekende pijn in rug bij niezen, hoesten of lachen
- urineverlies doordat de blaas niet meer wordt aangestuurd
Diagnose
Een MRI zal meestal een tumor nabij de hersenholtes met vergroting van de hersenholtes (hydrocefalus) vertonen. Men maakt een MRI van de hersenen en van de wervelkolom om na te gaan of de tumoren niet verspreid zijn in de hersenen en het ruggenmerg.
Behandeling
Een ependymoom kan via operatie worden verholpen, mogelijk gevolgd door radiotherapie. Een operatie kan de hersenholtes ontlasten door middel van drainage. Bij een herhaald ependymoom is chemotherapie een optie.
Bekende patiënten
- 1 2 Leflot-Soetemans, C. & Leflot, G. (1975). Standaard Geneeskundig woordboek Frans-Nederlands. Antwerpen-Amsterdam: Standaard Uitgeverij.
- ↑ Tumor Jochem Myjer is goedaardig[dode link], De Rust Zelve.
