Longkanker
| Longkanker | ||||
|---|---|---|---|---|
![]() | ||||
| Synoniemen | ||||
| Latijn | Carcinoma pulmonis[1] | |||
| Coderingen | ||||
| ICD-11 | ||||
| OMIM | 211980 | |||
| DiseasesDB | 7616 | |||
| DOID | 1324 | |||
| MedlinePlus | 007194 | |||
| eMedicine | med/1333 med/1336 emerg/335 radio/807 radio/405 radio/406 | |||
| MeSH | D002283 | |||
| ||||
Longkanker is een ziekte die wordt gekenmerkt door ongeremde celgroei (kanker) in weefsels van de longen. Deze ongeremde celgroei wordt vaak beschreven als een kwaadaardige tumor, gezwel of carcinoom. Zonder behandeling kan dit uitzaaien, een proces dat metastase wordt genoemd waarbij deze tumorcellen zich buiten de longen uitbreiden naar nabijgelegen weefsels of andere lichaamsdelen. De meeste vormen van kanker die in de longen beginnen, zogeheten primaire longkanker, zijn carcinomen die ontstaan in epitheelcellen. De voornaamste typen longkanker zijn:
- kleincellige longkanker (in het Engels small cell lung cancer afgekort als SCLC), ook wel havercelcarcinoom genoemd
- niet-kleincellige longkanker (In het Engels non-small cell lung cancer afgekort als NSCLC)
De meest voorkomende symptomen zijn hoesten (inclusief het ophoesten van bloed), gewichtsverlies en kortademigheid.[2]
Longkanker wordt meestal veroorzaakt door roken. Hierbij worden de longen langdurig blootgesteld aan tabaksrook,[3] dat de oorzaak is van 80-90% van alle gevallen van longkanker.[2] Niet-rokers vormen 10-15% van de longkankerpatiënten[4] en deze gevallen worden vaak toegeschreven aan meeroken,[5][6] genetische factoren,[7] radongas,[7] asbest[8] en luchtvervuiling of een combinatie daarvan.[7] Longkanker is te zien op een röntgenfoto van de borstkas en met computertomografie (CT-scan). De diagnose wordt bevestigd met een biopsie[9] die doorgaans wordt uitgevoerd via bronchoscopie of onder CT-geleiding. De behandeling en het langetermijnresultaat hangen af van het type kanker, het stadium (mate van verspreiding) en de algehele gezondheid van de patiënt.
Gebruikelijke behandelingen zijn onder meer chirurgie, chemotherapie en radiotherapie. Niet-kleincellige longkanker wordt soms behandeld met chirurgie, terwijl bij kleincellige longkanker met chemotherapie en radiotherapie betere resultaten worden verkregen.[10] De prognose van longkanker is slecht: 85% van de mensen bij wie de diagnose longkanker wordt gesteld, overlijdt binnen 5 jaar.[11] Wereldwijd is longkanker de meest voorkomende oorzaak van overlijden door kanker bij zowel mannen als vrouwen en is de ziekte sinds 2008 verantwoordelijk voor 1,38 miljoen doden per jaar.[12]
Klachten en verschijnselen
Klachten en verschijnselen die kunnen wijzen op longkanker, zijn onder andere:[2]
- symptomen met betrekking tot de ademhaling: hoesten, ophoesten van bloed, piepende ademhaling en kortademigheid;
- algemene lichamelijke symptomen: gewichtsverlies, koorts, trommelstokvingers en vermoeidheid;
- symptomen door plaatselijke druk: pijn op de borst, botpijn, venacavasuperiorsyndroom en moeite met slikken.
Bij een tumor in de luchtwegen kan de luchtstroom worden belemmerd, wat leidt tot ademhalingsproblemen. De verstopping kan leiden tot een opeenhoping van slijm achter de blokkade en kan de patiënt vatbaar maken voor een longontsteking.[2]
Afhankelijk van het type tumor kunnen zogeheten paraneoplastische verschijnselen in eerste instantie de aandacht op de ziekte vestigen.[13] Bij longkanker kan het dan gaan om onder meer het syndroom van Lambert-Eaton (spierzwakte ten gevolge van autoantilichamen), hypercalciëmie of het syndroom van inadequate secretie van antidiuretisch hormoon (SIADH). Tumoren in de top van de long, die bekendstaan als pancoasttumoren, kunnen plaatselijk het zenuwstelsel binnendringen, wat leidt tot het syndroom van Horner (verzakken van het ooglid en een kleine pupil aan die kant) en tot schade aan de plexus brachialis.[2]
Veel van de symptomen van longkanker (verminderde eetlust, gewichtsverlies, koorts, vermoeidheid) zijn niet-specifiek.[14] Tegen de tijd dat er symptomen ontstaan en de patiënt een arts raadpleegt, heeft de kanker zich bij veel patiënten al verspreid tot buiten de oorspronkelijke plaats. Gebruikelijke verspreidingsplaatsen zijn onder andere de hersenen, botten, bijnieren, de andere long, de lever, het hartzakje en de nieren.[15] Ongeveer 10% van de mensen met longkanker vertoont op het moment van de diagnose geen symptomen. De kanker wordt dan bij toeval opgemerkt bij een röntgenfoto van de borst.[16]
Oorzaken
Kanker ontwikkelt zich na beschadiging van het DNA. Deze genetische schade is van invloed op de normale functies van cellen, inclusief celdeling, geprogrammeerde celdood (apoptose) en DNA-herstel. Naarmate de schade toeneemt, wordt het risico op kanker groter.[14]
Actief roken
De Duitse arts Fritz Lickint legde in 1929 een statistisch verband tussen longkankerpatiënten en roken en ook latere Duitse onderzoeken voor en tijdens de Tweede Wereldoorlog bevestigden het oorzakelijk verband tussen roken en longkanker.[17] Willem Wassink wees in de jaren veertig in het Nederlands Tijdschrift voor Geneeskunde op roken als veroorzaker van longkanker[18] en Sir Richard Doll maakte in 1948 aannemelijk dat roken, vooral van sigaretten, de belangrijkste oorzaak van longkanker is. Roken werkt sterk risicoverhogend: in 87% van de gevallen van longkanker is roken de oorzaak. Vrouwen die roken hebben ongeveer 12 keer zoveel kans op het krijgen van longkanker als vrouwen die nooit hebben gerookt.[19] Voor mannen is die kans 22 keer hoger.
De latentietijd tussen roken en longkanker is gemiddeld twintig tot dertig jaar. Zo is de daling van de sterfte aan longkanker bij mannen in Nederland in de 21e eeuw vooral het gevolg van de daling in het roken die enkele decennia geleden is ingezet. De duur van de blootstelling is ook van belang. Zo lijkt de duur van het roken een groter risico op het krijgen van longkanker te hebben dan het aantal gerookte sigaretten.[20] Het risico neemt weer af als de blootstelling wordt weggenomen, dus als men met roken stopt.[21]
Passief roken
Passief roken is meeroken door de rook van sigaretten (van de omgeving) in te ademen. Waarschijnlijk verhoogt het inademen van de rook van anderen ook het risico op longkanker. Mensen die zelf niet roken maar regelmatig blootgesteld worden aan passief roken hebben waarschijnlijk een 20 à 30% hoger risico om longkanker te krijgen dan mensen die niet roken en niet blootgesteld worden aan passief roken, naast een verhoogd risico op heel wat andere aandoeningen.[22] Een Amerikaans onderzoek, gepubliceerd in 2021, stelt echter dat longkanker zelden wordt veroorzaakt door passief roken.[23]
Luchtvervuiling
Vervuilde buitenlucht is in 2013 door het International Agency for research on Cancer (IARC) erkend als oorzaak van longkanker. Eerder werden al dieseldampen en andere componenten van vervuilde buitenlucht als veroorzaker van longkanker bestempeld, maar inmiddels geldt dit voor vervuilde buitenlucht in het algemeen. Met name de fijnstofcomponent draagt bij aan de verhoging van het risico op longkanker.[24] Vervuiling van de buitenlucht verhoogt het risico op longkanker in geringe mate.[7] Mensen in derdewereldlanden die nog binnenhuis koken op hout, steenkool, mest of gewasresten lopen meer risico op longkanker.[25][26]
Blootstelling aan radongas
Radon is een kleurloos en geurloos gas, dat een afbraakproduct is van het radioactieve radium. Het is een vervalproduct van uranium, dat in de aardkorst aanwezig is. De radioactieve vervalproducten ioniseren genetisch materiaal, waardoor mutaties ontstaan. Soms leiden die mutaties tot longkanker. In de VS is radon de op een na grootste oorzaak van longkanker. Het risico stijgt met 8–16% voor iedere 100 Bq/m³ toename in de radonconcentratie. De radonconcentratie varieert sterk per regio, door de samenstelling van de ondergrond en rotsen. Bijvoorbeeld in Cornwall in het Verenigd Koninkrijk is radongas een groot probleem. Gebouwen moeten er verplicht geventileerd worden om de concentratie radongas laag te houden.
Volgens de Europese Commissie sterven er in de Europese Unie jaarlijks 20.000 mensen aan kanker ten gevolge van blootstelling aan radongas. Dat is 9% van alle longkankerdoden en 2% van alle kankerdoden.[27]
In België zijn er verhoogde radonconcentraties in het Waalse landsgedeelte, voornamelijk in de provincies Luik en Luxemburg. Volgens het Federaal Agentschap voor de Nucleaire Controle zijn er in België jaarlijks 700 gevallen van kanker ten gevolge van langdurige radonblootstelling.[28]
Asbest
Asbest kan allerlei longziekten veroorzaken, waaronder longkanker. Bekender is het mesothelioom, dit is een tumor van het longvlies die vaak veroorzaak wordt door asbest. Tumoren van het longvlies vallen niet onder de longtumoren.[29][30] Tabaksrook en asbest hebben gecombineerd een versterkende werking op het ontstaan van longkanker.[8]
Genetische factoren
Naar schatting 8 tot 14% van de gevallen van longkanker hangt sterk samen met erfelijke factoren.[31] Verwanten van mensen met longkanker lopen een 2,4 maal zo hoog risico als anderen. Dit is waarschijnlijk het gevolg van een combinatie van genen.[32] Soms lijkt longkanker genetisch te zijn; echter zijn gemeenschappelijke risicofactoren zoals roken vaker de oorzaak van het voorkomen van longkanker in de familie.
Andere oorzaken
Tal van andere stoffen, beroepen en blootstelling aan omgevingsfactoren zijn in verband gebracht met longkanker. Het internationale bureau voor kankeronderzoek (International Agency for Research on Cancer – IARC) stelt dat er "voldoende bewijs" is dat de volgende factoren longkanker kunnen veroorzaken:[33]
- Sommige metalen (aluminiumproductie, cadmium en cadmiumverbindingen, chroom(VI)-verbindingen, beryllium en berylliumverbindingen, gegoten ijzer en staal, nikkelverbindingen, arseen en anorganische arseenverbindingen, ondergrondse winning van hematiet)
- Sommige verbrandingsproducten (onvolledige verbranding, steenkool (uitstoot door verbranding van kolen binnenshuis), koolvergassing, koolteerpek, cokesproductie, roetdeeltjes, uitlaatgassen van dieselmotoren)
- Ioniserende straling (röntgenstralen, radon-222 en de vervalproducten ervan, gammastralen, plutonium)
- Sommige giftige gassen (methylether (technische kwaliteit), bis(chloormethyl)ether, mosterdgas, MOPP (Mitoxine Oncovin Procarbazine Prednison) een mengsel van vincristine, prednison, mosterdgas en procarbazine verfdampen)
- Rubberproductie en kristallijn silicastof
Diagnose

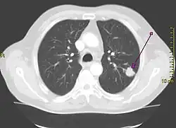
Een van de eerste onderzoeken bij iemand met symptomen die op longkanker kunnen wijzen, is een röntgenfoto van de borstkas. Daarop kan een duidelijke massa (tumor), verwijding van het mediastinum (wat kan wijzen op uitzaaiingen in de lymfeklieren), atelectase (samenvallen van de long), consolidatie of pleuravocht te zien zijn.[3] Meestal wordt met een CT-scan meer informatie over het type en de ernst van de ziekte verzameld. Vaak wordt met een bronchoscopie of CT-geleide biopsie een stukje weefsel van de tumor genomen voor histologisch- of pathologisch onderzoek.[16]
Longkanker ziet er op een röntgenfoto van de borstkas vaak uit als een zwelling. De differentiële diagnose is echter breed. Veel andere ziekten geven hetzelfde beeld, waaronder tuberculose, schimmelinfecties, uitzaaiingen van kanker elders in het lichaam of een longontsteking (pneumonie). Zeldzame oorzaken van een zwelling zijn onder meer hamartomen, bronchogene cysten, adenomen, arterioveneuze misvorming, pulmonaire sekwestratie, reuma knobbel, ziekte van Wegener of een goedaardige zwelling van de lymfeklier (lymfoom).[34] Longkanker kan ook toevallig worden ontdekt als een zwelling (een incidentaloom) wanneer om een geheel andere reden een röntgenfoto of een CT-scan van de borstkas is gemaakt.[35] De definitieve diagnose van longkanker is gebaseerd op het histologische onderzoek van het verdachte weefsel samen met de symptomen en radiologische kenmerken.[2]
Classificatie
| Histologisch type | Incidentie per 100.000 per jaar |
|---|---|
| Alle typen | 66,9 |
| Adenocarcinoom | 22,1 |
| Plaveiselcelcarcinoom | 14,4 |
| Kleincellig carcinoom | 9,8 |
| Overig/ongedifferentieerd | 20,6 |
Longkanker wordt geclassificeerd naar histologisch type, dit is het oorspronkelijke celtype waaruit de kanker is ontstaan.[14] Deze classificatie is van belang voor bepaling van de behandeling en het voorspellen van het verloop van de ziekte. Verreweg de meeste vormen van longkanker zijn carcinomen, kwaadaardige tumoren die ontstaan vanuit epitheelcellen. Longcarcinomen worden ingedeeld naar de grootte en het uiterlijk van de kwaadaardige cellen zoals een histopatholoog die onder een microscoop ziet. Er wordt een globale tweedeling in niet-kleincellige en kleincellige longcarcinomen gebruikt.[36]
Niet-kleincellig longkanker

De drie belangrijkste subtypen van niet-kleincellig longkanker zijn adenocarcinoom, plaveiselcellongcarcinoom en grootcellig longcarcinoom.[2]
Bijna 40% van alle longkankers zijn adenocarcinomen, die meestal ontstaan in het weefsel aan de buitenrand van de long.[9] De meeste gevallen van adenocarcinoom houden verband met roken, maar ook onder niet-rokers is de adenokanker de meest voorkomende longkanker.[37] Een subtype van het adenocarcinoom, het bronchioloalveolair carcinoom, komt meer voor bij vrouwen die nooit hebben gerookt en biedt op lange termijn mogelijk betere kansen op overleving.[38]
Het plaveiselcelcarcinoom is verantwoordelijk voor ongeveer 30% van alle gevallen van longkanker. Meestal treedt dit op nabij de grote luchtwegen. In het midden van de tumor wordt vaak een holte en de daarmee samenhangende celdood aangetroffen.[9] Ongeveer 9% van alle gevallen van longkanker bestaat uit grootcellige carcinomen. Deze worden zo genoemd omdat de kankercellen groot zijn met zeer veel cytoplasma, een grote kern en opmerkelijke nucleoli.[9]
Kleincellig longkanker
_by_core_needle_biopsy.jpg)
Bij het kleincellige longkanker (SCLC) bevatten de cellen dichte neurosecretoire korrels (vesikels die neuro-endocriene hormonen bevatten), waardoor deze tumor gepaard gaat met een endocrien/paraneoplastisch syndroom (een reeks verschijnselen die wordt veroorzaakt doordat de kanker zelf hormonen afscheidt).[39] De meeste gevallen doen zich voor in de grote luchtwegen (primaire en secundaire bronchiën).[16] Deze kwaadaardige tumoren groeien snel en zorgen in een vroeg stadium van de ziekte voor uitzaaiingen. Zestig tot zeventig procent is al uitgezaaid wanneer de kanker merkbaar wordt. Dit type longkanker hangt sterk samen met roken.[2]
Andere typen
Er worden vier belangrijke histologische subtypen onderscheiden, al kunnen sommige kankers een combinatie van verschillende subtypen bevatten.[40] Zeldzame subtypen zijn onder meer kliertumoren, carcinoïde tumoren en ongedifferentieerde carcinomen.[2]
Uitzaaiingen
| Histologisch type | Immunokleuring |
|---|---|
| Plaveiselcelcarcinoom | CK5/6 positief CK7 negatief |
| Adenocarcinoom | CK7 positief TTF-1 positief |
| Grootcellig carcinoom | TTF-1 negatief |
| Kleincellig carcinoom | TTF-1 positief CD56 positief Chromogranine positief Synaptofysine positief |
Tumoren elders in het lichaam kunnen ook uitzaaiingen in de long geven. Deze zogenoemde secundaire kanker wordt geclassificeerd naar de plaats van oorsprong; borstkanker die naar de long is uitgezaaid, wordt bijvoorbeeld gemetastaseerde borstkanker genoemd. Metastasen hebben vaak een karakteristieke ronde vorm op röntgenfoto's van de borstkas.[41]
Primaire longkanker zaait vaak uit naar de hersenen, botten, de lever en de bijnieren.[9] Immunokleuring van een biopsie helpt vaak de oorspronkelijke bron te vinden.[42]
Stadiëring
De stadiëring van longkanker is een bepaling van de mate van verspreiding van de kanker vanaf de oorspronkelijke plaats. De mate van verspreiding is een van de factoren die van invloed zijn op de prognose en de mogelijke behandeling van longkanker.[2]
De stadiëring van niet-kleincellige longkanker (NSCLC) vindt in eerste instantie plaats aan de hand van de TNM-classificatie 8ste editie. Deze is gebaseerd op de grootte van de primaire tumor, verspreiding naar lymfeknopen (nodes) en metastasen (uitzaaiingen). Vervolgens wordt op basis van de TNM-parameters de kanker in een groep ingedeeld, die kan variëren van "occulte kanker" (kanker waar de primaire tumor nog niet gevonden is) tot de stadia 0, IA, IB, IIA, IIB, IIIA, IIIB en IV. Deze indeling in een stadiumgroep helpt bij de keuze van behandeling en het inschatten van de prognose.[43] Kleincellig longkanker (SCLC) wordt vanouds geclassificeerd als 'beperkt stadium' (beperkt tot één helft van de borst en binnen het bereik van één enkel verdraagbaar radiotherapieveld) of 'uitgebreide stadium' (verspreide ziekte).[2] De TNM-classificatie en -groepsindeling zijn echter nuttig bij het inschatten van de prognose.[43]
|
|
| ||||||||||||||||||||||||||||||||||||||||||||||||||||||||||||||||||||||||||||||||||||||
| TNM | Stadium groep |
|---|---|
| Tis N0 M0 | 0 |
| T1mi–T1a N0 M0 | IA1 |
| T1b N0 M0 | IA2 |
| T1c N0 M0 | IA3 |
| T2a N0 M0 | IB |
| T2b N0 M0 | IIA |
| T1a-T1c N1 M0 | IIB |
| T2a-T2b N1 M0 | |
| T3 N0 M0 | |
| T1a–T3 N2 M0 | IIIA |
| T1a-T2b N2 M0 | |
| T4 N0-N1 M0 | |
| T1a-T2b N3 M0 | IIIB |
| T3-T4 N2 M0 | |
| T3-T4 N3 M0 | IIIC |
| elke T elke N M1a | IVA |
| elke T elke N M1b | |
| elke T elke N M1c | IVB |
- Schema van belangrijkste kenmerken van longkanker stadiëring
Stadium IA en IB longkanker
Stadium IIA longkanker
Stadium IIB longkanker
Een mogelijkheid voor stadium IIB-longkanker, T2b. Indien de tumor zich op 2 cm of minder van de carina bevindt, is het een stadium III
Stadium IIIA longkanker
Stadium IIIA longkanker, bij een of meer kenmerken zoals beschreven in de afbeelding
Stadium IIIA longkanker
Stadium IIIB longkanker
Stadium IIIB longkanker
Stadium IV longkanker
Voor zowel niet-kleincellige als kleincellige longkankers bestaan de twee algemene stadiumbepalingen uit klinische stadiëring en chirurgische stadiëring. Klinische stadiëring wordt uitgevoerd vóór definitieve chirurgie. Klinische stadiëring wordt gebaseerd op de uitkomsten van beeldvormende onderzoeken (zoals CT-scans en PET-scans) en biopsieën. Chirurgische stadiëring vindt plaats tijdens of na de ingreep en wordt gebaseerd op de gecombineerde resultaten van chirurgische en klinische bevindingen, waaronder chirurgische monsters van lymfeklieren in de borstkas.[9]
Behandeling
De behandeling van longkanker is afhankelijk van het specifieke celtype van de kanker, hoe ver de ziekte zich heeft verspreid, de conditie en wensen van de patiënt. Gebruikelijke behandelingen zijn onder meer palliatieve zorg,[46] chirurgie, chemotherapie en radiotherapie.[2]
Chirurgie

Als met onderzoek een niet-kleincellig longkanker wordt vastgesteld, wordt het stadium bepaald om na te gaan of de ziekte plaatselijk is en te behandelen valt met chirurgie, of dat het gezwel zich zo sterk heeft verspreid dat chirurgie geen optie meer is. Dit stadium wordt bepaald met CT-scans en een PET scan(positronemissietomografie).[2] Wanneer betrokkenheid van lymfeklieren in het mediastinum (de ruimte tussen de longen met grote luchtwegen, bloedvaten en lymfeklieren) wordt vermoed, kunnen via mediastinoscopie biopsie van de klieren worden genomen als hulp bij de stadiëring.[47] Met bloedonderzoek en longfunctieonderzoek wordt vastgesteld of een patiënt fit genoeg is voor chirurgie.[16] Als longfunctieonderzoeken laten zien dat er weinig reserve longcapaciteit is, is chirurgie niet altijd mogelijk.[2]
In een vroeg stadium van niet-kleincellige longkanker is verwijdering van een longkwab (lobectomie) de chirurgische behandeling die de voorkeur krijgt. Als patiënten niet in aanmerking komen voor een volledige lobectomie, kan een deel van de aangetaste longkwab worden verwijderd (wigresectie). Bij een wigresectie is het risico op terugkeer van de kanker echter groter dan bij lobectomie.[48] Brachytherapie met radioactief jodium aan de randen van de wigresectie kan het risico op terugkeer van de kanker verkleinen.[49] Het gebeurt maar zelden dat een hele long wordt verwijderd (pneumonectomie).[48] Minimaal invasieve benaderingen van longkankeroperaties zijn video-ondersteunde thoracoscopische chirurgie en VATS-lobectomie bij longkanker.[50] VATS-lobectomie is net zo effectief als een gewone open operatie waarbij de long verwijderd wordt en gaat gepaard met minder problemen na de ingreep.[51]
Bij kleincellige longkanker wordt gewoonlijk chemotherapie en/of radiotherapie gebruikt.[52] Er wordt echter opnieuw nagedacht over het inzetten van chirurgie bij kleincellige longkanker. In een vroeg stadium van kleincellige longkanker kan chirurgie in aanvulling op chemotherapie en bestraling betere resultaten opleveren.[53]
Radiotherapie
Radiotherapie (bestraling) wordt vaak gegeven in combinatie met chemotherapie en kan worden ingezet voor genezing van patiënten met niet-kleincellige longkanker die niet in aanmerking komen voor chirurgie. Deze vorm van hoogintensieve radiotherapie wordt radicale radiotherapie genoemd.[54] Een verfijning van deze techniek is continue gehyperfractioneerde versnelde radiotherapie (CHART), waarbij gedurende een korte periode een hoge dosis radioactieve straling wordt gegeven.[55] Na een operatie die bedoeld is om de patiënt te genezen van niet-kleincellige longkanker mag de borstkas in het algemeen niet worden bestraald.[56] Sommige patiënten met uitzaaiingen in bepaalde lymfeklieren in het mediastinum (stadium N2) kunnen echter baat hebben bij radiotherapie na de operatie.[57]
Voor patiënten met potentieel te genezen kleincellige longkanker wordt vaak radiotherapie van de borstkas aanbevolen als aanvulling op chemotherapie.[9]
Als een groeiende tumor een kort deel van de bronchus blokkeert, kan brachytherapie (plaatselijke radiotherapie) direct in de luchtwegen worden gegeven om de doorgang te openen.[58] Vergeleken met radiotherapie door uitwendige bestraling kan de behandeltijd met brachytherapie worden bekort en worden zorgverleners aan minder straling blootgesteld.[59]
Preventieve schedelbestraling is een vorm van radiotherapie voor de hersenen die wordt gebruikt om het risico op metastasering te verkleinen. Preventieve schedelbestraling is bijzonder nuttig bij kleincellige longkanker. In het beperkte stadium van de ziekte verhoogt deze bestraling de 3-jaarsoverleving van 15% tot 20%; in het uitgebreide stadium neemt de 1-jaarsoverleving toe van 13% tot 27%.[60]
Recente verbeteringen in precisie en in beeldvorming hebben geleid tot de ontwikkeling van stereotactische bestraling bij de behandeling van longkanker in een vroeg stadium. Bij deze vorm van radiotherapie worden in een klein aantal sessies hoge doses toegediend met behulp van doelgerichte stereotactische technieken. Deze therapie wordt vooral gebruikt bij patiënten voor wie chirurgie geen optie is vanwege medische comorbiditeiten.[61]
Zowel bij patiënten met niet-kleincellige als kleincellige longkanker kunnen kleinere doses straling van de borstkas worden gebruik voor het in bedwang houden van symptomen (palliatieve radiotherapie).[62]
Chemotherapie
Behandeling met chemotherapie is afhankelijk van het type van de tumor.[9]
Kankerimmunotherapie
Behandeling met immunotherapie is een van de nieuwste kankerbehandelingen. Immunotherapie werkt alleen bij niet-kleincellig longkanker. Daarbij moet de tumor ook gevoelig zijn voor de therapie, hierbij wordt gekeken naar een eiwit (PDL1) op het celmembraan. Behandelingen die nu beschikbaar zijn, zijn nivolumab, pembrolizumab en atezolizumab.[63]
Target-therapie
Target-therapie, ook wel doelgerichte therapie genoemd is gebaseerd op het gebruik van een groep medicijnen genaamd tyrosinekinaseremmers (TKI) of proteïnekinaseremmers. Bij een klein percentage van de patiënten met longkanker (5-10%) is er sprake van een genmutatie van de tumorcel. Als er sprake is van onder andere een EGFR, ALK, KRAS, MET, BRAF, HER2, RET of ROS1 mutatie, kan er soms een "target-therapie" of "doelgerichte therapie" geboden worden.[64] Hierbij dringen kleine moleculen in de kankercel om te voorkomen dat de cel zich verder kan vermenigvuldigen. Als de cel zich niet verder kan vermenigvuldigen, sterft deze. Deze therapie heeft minder bijwerkingen dan chemotherapie. Vaak wordt deze therapie samen met een andere therapie gegeven.[65]
Niet-kleincellige longkanker
Bij patiënten met een niet-kleincellig longkanker stadium II-IIIA en een goede lichamelijke conditie kan, voorafgaand aan chirurgie, chemotherapie gegeven worden (adjuvante chemotherapie). Adjuvante chemotherapie is het gebruik van chemotherapie samen met een andere behandeling zoals chirurgie, met als doel de kans op een goede afloop te bevorderen. Vaak wordt er dan gekozen voor een chemotherapie combinatie met cisplatine.[66][67] Bij het niet-kleincellige longkanker worden tijdens de operatie biopsies genomen van nabijgelegen lymfeklieren als hulp bij de stadiëring van longkanker. Als de ziekte in stadium II of III is, verbetert adjuvante chemotherapie de kans op overleving na 5 jaar met 5%.[68][69] Bij stadium IV kan ook afhankelijk van de conditie van de patiënt chemotherapie of immunotherapie worden gegeven, naast palliatieve zorg.[70]
Kleincellige longkanker
Voor patiënten met stadium I-II kleincellige longkanker is chirurgische behandeling te overwegen. Adjuvante behandeling met chemotherapie en profylactische hersenbestraling geadviseerd om uitzaaiingen naar de hersenen te voorkomen, maar de wetenschappelijke onderbouwing is beperkt.[71] Voor patiënten met kleincellige longkanker met uitgebreide ziekte en een goede lichamelijke conditie kan chemotherapie worden aanbevolen. Dit vertraagt de ziekte en kan eventueel levensverlengend werken. De voorkeur gaat dan uit naar cisplatine of carboplatine gecombineerd met etoposide.[72]
Palliatieve zorg
Voor mensen met ziekte in het eindstadium kan palliatieve zorg of stervensbegeleiding toepasselijk zijn.[16] Met deze benaderingen is ruimer overleg mogelijk over behandelopties, kunnen er weloverwogen beslissingen worden genomen[73][74] en kan zinloze en vaak dure zorg aan het einde van het leven worden vermeden.[74]
Bij de behandeling van niet-kleincellige longkanker kan chemotherapie worden gecombineerd met palliatieve zorg. In vergevorderde stadia van kanker biedt correct gebruik van chemotherapie een betere mediane overlevingsduur dan alleen ondersteunende zorg en verbetert het ook de kwaliteit van leven.[75] Bij een goede lichamelijke conditie biedt voortzetting van chemotherapie als palliatieve behandeling van longkanker 1,5 tot 3 maanden verlenging van de levensduur, verlichting van symptomen en een verbetering van de levenskwaliteit, waarbij moderne middelen betere resultaten opleveren.[76][77] De NSCLC Meta-Analyses Collaborative Group beveelt aan chemotherapie te overwegen bij patiënten met niet-kleincellige longkanker in een gevorderd stadium als de ontvanger dat wil en hij of zij de behandeling kan verdragen.[78][79]
Dyspneu (kortademigheid of benauwdheid) is een veelvoorkomend symptoom bij longkanker of uitzaaiingen in de longen, vooral in een gevorderd stadium. Behandeling begint met het opsporen en aanpakken van onderliggende oorzaken (oorzaken kunnen multidimensionaal zijn). Soms lukt dit niet en dan is symptomatische behandeling nodig. Opioïden worden beschouwd als de eerste keuze voor symptomatische medicamenteuze behandeling. Opioïden zijn medicijnen die de ademhaling onderdrukken en het gevoel van kortademigheid verminderen. Ze beïnvloeden specifieke receptoren in de hersenen en andere delen van het lichaam. Opioïden kunnen helpen bij pijnverlichting en het vergemakkelijken van diepe ademhaling. Bijwerkingen zoals misselijkheid, braken, obstipatie, slaperigheid en delirium kunnen optreden.[80][81]
Prognose
| Klinisch stadium | 5-jaars overleving (%) | |
|---|---|---|
| Niet-kleincellig longcarcinoom | Kleincellig longcarcinoom | |
| IA | 50 | 38 |
| IB | 47 | 21 |
| IIA | 36 | 38 |
| IIB | 26 | 18 |
| IIIA | 19 | 13 |
| IIIB | 7 | 9 |
| IV | 2 | 1 |
Op het moment dat de diagnose longkanker wordt gesteld, is de ziekte vaak al in een vergevorderd stadium. Wanneer de ziekte zich uit, verkeert 30–40% van de patiënten met niet-kleincellige longkanker en 60% van de patiënten met kleincellige longkanker al in stadium IV.[14] Dit maakt dat de prognose meestal slecht is. Van alle mensen met longkanker is 15% vijf jaar na het stellen van de diagnose nog in leven.[3]
Factoren die van invloed zijn op de prognose bij niet-kleincellige longkanker zijn onder meer aan- of afwezigheid van longsymptomen, de grootte van de tumor, het celtype (histologie), de mate van verspreiding (stadium) en metastasen in meerdere lymfeklieren, en vaatingroei. Voor mensen die niet meer geopereerd kunnen worden (inoperabel) is het verloop het slechtst, wanneer er vooraf een slechte lichamelijke conditie was en ze al meer dan 10% gewichtsverlies hebben.[82] Factoren die een rol spelen bij de prognose van kleincellige longkanker zijn onder meer de lichamelijke conditie, het geslacht, het stadium van de ziekte en of het centrale zenuwstelsel of de lever al zijn aangetast op het moment dat de diagnose gesteld wordt.[83]
Bij het niet-kleincellige longkanker wordt de beste prognose verkregen wanneer de ziekte in stadium IA is en de kanker volledig operatief verwijderd wordt; hierbij is 70% van de patiënten na 5 jaar nog in leven.[84] Bij kleincellige longkanker is de algehele 5-jaarsoverleving ongeveer 5%.[2] Van de patiënten met kleincellige longkanker in het uitgebreide stadium is minder dan 1% na 5 jaar nog in leven. De gemiddelde overlevingstijd bij de ziekte in het beperkte stadium is 20 maanden, met een 5-jaarsoverlevingspercentage van 20%.[3]
Volgens gegevens van het Amerikaanse National Cancer Institute is de mediane leeftijd waarop in de Verenigde Staten longkanker wordt geconstateerd 70 jaar,[85] en de mediane leeftijd bij overlijden 72 jaar.[86]
Epidemiologie


Wereldwijd is longkanker de meest voorkomende vorm van kanker, zowel wat betreft incidentie als mortaliteit. In 2008 waren er 1,61 miljoen nieuwe gevallen en 1,38 miljoen doden door longkanker. De grootste aantallen zijn te vinden in Europa en Noord-Amerika.[12] In 2013 kregen 12110 mensen in Nederland longkanker.[88] Het deel van de bevolking met het grootste risico op longkanker zijn mensen ouder dan 50 jaar die hebben gerookt. In tegenstelling tot het sterftecijfer bij mannen, dat meer dan 20 jaar geleden begon te dalen, is het sterftecijfer voor longkanker bij vrouwen de laatste decennia gestegen en stabiliseert dit zich pas sinds kort.[89] In de Verenigde Staten hebben mannen 8% risico om in de loop van het leven longkanker te krijgen en vrouwen 6%.[2]
Voor iedere 3–4 miljoen sigaretten die worden gerookt, sterft één roker aan longkanker.[2][90] De tabaksindustrie heeft een grote invloed op rookgedrag.[91] Als jonge niet-rokers advertenties voor tabakswaren zien, is de kans groter dat ze ook gaan roken.[92] De rol van passief roken wordt in toenemende mate erkend als risicofactor voor longkanker,[93] wat leidt tot beleidsbeslissingen om ongewenste blootstelling van niet-rokers aan tabaksrook van anderen te beperken.[94] Uitstoot van auto's, fabrieken en energiecentrales zijn ook mogelijke risico's.[7]
Oost-Europa heeft de grootste sterfte aan longkanker onder mannen, terwijl de sterfte onder vrouwen in Noord-Europa en de Verenigde Staten het grootst is. In de Verenigde Staten is de sterfte onder zwarte mannen en vrouwen hoger.[95] In ontwikkelingslanden zijn de cijfers voor longkanker op dit moment lager.[96] Naarmate het roken in deze landen toeneemt, wordt verwacht dat deze cijfers binnen enkele jaren zullen stijgen, vooral in China[97] en India.[98]
Sinds de jaren zestig van de twintigste eeuw is het aantal adenocarcinomen van de longen ten opzichte van andere soorten longkanker gestegen. Dit is gedeeltelijk te wijten aan de introductie van filtersigaretten. Filters verwijderen de grotere deeltjes uit tabaksrook, zodat de aanslag in de grotere luchtwegen afneemt. De roker moet echter dieper inhaleren om dezelfde hoeveelheid nicotine binnen te krijgen, zodat de aanslag in de kleinere luchtwegen toeneemt, de plaats waar adenocarcinomen doorgaans ontstaan.[99] Het aantal gevallen van adenocarcinoom in de longen blijft stijgen.[100]
Preventie
Preventie, oftewel het voorkómen van longkanker, is de meest kosteneffectieve manier om het ontstaan van longkanker tegen te gaan. Terwijl in de meeste landen kankerverwekkende stoffen thuis en op het werk zijn herkend en verboden, is roken vaak niet verboden. Een belangrijk doel bij het voorkómen van longkanker is verbieden van het roken van tabak, en het stoppen met roken is een belangrijk preventief onderdeel in dit proces.[101]
Beleidsmaatregelen om meeroken roken te verminderen in openbare ruimten, zoals restaurants en werkplekken, zijn gebruikelijk geworden in veel westerse landen.[102] In Bhutan geldt sinds 2005 een volledig rookverbod[103] en in India is in oktober 2008 een verbod op roken in het openbaar afgekondigd.[104] De Wereldgezondheidsorganisatie heeft overheden opgeroepen tabaksreclame volledig te verbieden om zo te voorkomen dat jongeren gaan roken. Waar zo'n verbod is ingevoerd, is het gebruik van tabak naar schatting met 16% afgenomen.[105]
Langdurig gebruik van extra vitamine A,[106][107] vitamine C,[106] vitamine D[108] of vitamine E[106] verkleint het risico op longkanker niet. Sommige onderzoeken suggereren dat mensen die in verhouding veel groenten en fruit eten minder risico lopen,[109][110] maar hierbij is waarschijnlijk sprake geweest van door elkaar lopende factoren waardoor niet na te gaan is welke factor een bepaald resultaat oplevert. Diepergaande onderzoeken hebben geen duidelijk verband opgeleverd.[110]
Screening
Screening is het gebruik van medische onderzoeken om ziekten op te sporen bij mensen die geen klachten of symptomen hebben. Screeningtests voor longkanker zijn onder meer sputum-cytologie, röntgenfoto's van de borstkas en computertomografie (CT). Van screeningprogramma's met röntgenfoto's van de borstkas of cytologisch onderzoek van sputum is niet bewezen dat ze voordeel opleveren.[111] Door jaarlijkse screening met laag gedoseerde CT-scans van mensen met een hoog risico (d.w.z. mensen van 55 tot 79 jaar die meer dan 30 pakjaren hebben gerookt of die eerder longkanker hebben gehad) kan het absolute risico op overlijden door longkanker afnemen met 0,3% (relatieve risicoreductie 20%).[112][113] Een groot percentage van de scans heeft echter een vals-positieve uitslag, wat kan leiden tot onnodige ingrijpende procedures en tot aanzienlijke kosten.[114] Tegenover iedere terecht positieve scan staan meer dan 19 vals-positieve scans.[115] De blootstelling aan straling is nog een potentieel nadeel van screening.[116]
Geschiedenis
Longkanker kwam weinig voor voordat de mens sigaretten ging roken; tot 1761 werd het niet eens gezien als afzonderlijke ziekte.[117] In 1810 werden verschillende aspecten van longkanker nader beschreven.[118] Kwaadaardige longtumoren vormden slechts 1% van alle gevallen van kanker die in 1878 bij secties werden gezien, maar aan het begin van de twintigste eeuw was dit gestegen tot 10–15%.[119] In 1912 werden slechts 374 gevallen wereldwijd in de medische literatuur vermeld,[120] maar uit onderzoek van sectierapporten bleek dat het percentage nieuwe gevallen van longkanker was toegenomen van 0,3% in 1852 tot 5,66% in 1952.[121] In Duitsland ontdekte de arts Fritz Lickint in 1929 het verband tussen roken en longkanker,[119] wat leidde tot een agressieve anti-tabakbeweging in nazi-Duitsland.[122] De British Doctors Study, die in de jaren vijftig werd gepubliceerd, was het eerste betrouwbare epidemiologische bewijs van het verband tussen longkanker en roken.[123] Naar aanleiding daarvan beval de directeur-generaal van de volksgezondheid in de Verenigde Staten rokers in 1964 aan te stoppen met roken.[124]
Het verband met radongas werd voor het eerst opgemerkt onder mijnwerkers in het Ertsgebergte nabij Schneeberg in het Duitse Saksen. Daar werd al sinds 1470 zilver gewonnen en de mijnen waren er rijk aan uranium, dat door radioactief verval, radium en radongas produceert.[125] De mijnwerkers kregen onevenredig vaak longziekten, die uiteindelijk in de jaren 1870 werden herkend als longkanker.[126] Ondanks deze ontdekking werd de mijnbouw voortgezet tot in de jaren vijftig omdat er in de Sovjet-Unie vraag was naar uranium.[125] In de jaren zestig werd bevestigd dat radon een veroorzaker is van longkanker.[127]
De eerste succesvolle pneumonectomie in verband met longkanker werd uitgevoerd in 1933.[128] Palliatieve radiotherapie wordt gebruikt sinds de jaren veertig.[129] Radicale radiotherapie, waarmee werd begonnen in de jaren vijftig, was een poging om grotere doses straling toe te dienen aan patiënten met een relatief vroeg stadium van longkanker die niet in aanmerking kwamen voor chirurgie.[130] In 1997 werd continue gehyperfractioneerde versnelde radiotherapie beschouwd als een verbetering ten opzichte van conventionele radicale radiotherapie.[131] Voor kleincellig longkanker bleven de eerste pogingen in de jaren zestig met chirurgische verwijdering[132] en radicale radiotherapie[133] zonder succes. In de jaren zeventig werden succesvolle behandelwijzen met chemotherapie ontwikkeld.[134]
Externe links
- ↑ Leflot-Soetemans, C. & Leflot, G. (1975). Standaard Geneeskundig woordboek Frans-Nederlands. Antwerpen-Amsterdam: Standaard Uitgeverij.
- 1 2 3 4 5 6 7 8 9 10 11 12 13 14 15 16 17 18 19 20 Horn, L (2012). Harrison's Principles of Internal Medicine, 18th. McGraw-Hill, "Chapter 89". ISBN 0-07-174889-X.
- 1 2 3 4 Lung Carcinoma: Tumors of the Lungs. Merck Manual Professional Edition, Online edition. Geraadpleegd op 15 August 2007.
- ↑ (September 2008). Lung cancer occurrence in never-smokers: an analysis of 13 cohorts and 22 cancer registry studies. PLoS Medicine 5 (9): e185. ISSN: 1549-1277. PMID 18788891. PMC 2531137. DOI: 10.1371/journal.pmed.0050185.
- ↑ Carmona, RH, The Health Consequences of Involuntary Exposure to Tobacco Smoke: A Report of the Surgeon General. U.S. Department of Health and Human Services (27 June 2006). Gearchiveerd op 22 oktober 2021. “Secondhand smoke exposure causes disease and premature death in children and adults who do not smoke.” Retrieved 2014-06-16
- ↑ (2002). Tobacco Smoke and Involuntary Smoking (PDF). IARC Monographs on the Evaluation of Carcinogenic Risks to Humans 83 (WHO International Agency for Research on Cancer). “There is sufficient evidence that involuntary smoking (exposure to secondhand or 'environmental' tobacco smoke) causes lung cancer in humans. ... Involuntary smoking (exposure to secondhand or 'environmental' tobacco smoke) is carcinogenic to humans (Group 1).”.
- 1 2 3 4 5 6 Alberg AJ, Samet JM (2010). Murray & Nadel's Textbook of Respiratory Medicine, 5th. Saunders Elsevier, "Chapter 46". ISBN 978-1-4160-4710-0.
- 1 2 O'Reilly, KM, Mclaughlin AM, Beckett WS (March 2007). Asbestos-related lung disease. American Family Physician 75 (5): 683–688. PMID 17375514. Gearchiveerd op 29 september 2007. Geraadpleegd op 18 oktober 2015.
- 1 2 3 4 5 6 7 8 Lu, C, Onn A, Vaporciyan AA et al. (2010). Holland-Frei Cancer Medicine, 8th. People's Medical Publishing House, "78: Cancer of the Lung". ISBN 9781607950141.
- ↑ Chapman, S, Robinson G, Stradling J, West S (2009). Oxford Handbook of Respiratory Medicine, 2nd. Oxford University Press, "Chapter 31". ISBN 9-780199-545162.
- ↑ Nationaal kompas: Wat is longkanker en wat is het beloop?, geraadpleegd op 22-7-2015.
- 1 2 Ferlay, J, Shin HR, Bray F et al. (December 2010). Estimates of worldwide burden of cancer in 2008: GLOBOCAN 2008. International Journal of Cancer 127 (12): 2893–2917. PMID 21351269. DOI: 10.1002/ijc.25516.
- ↑ Honnorat, J, Antoine JC (May 2007). Paraneoplastic neurological syndromes. Orphanet Journal of Rare Diseases 2 (1) (BioMed Central). PMID 17480225. PMC 1868710. DOI: 10.1186/1750-1172-2-22.
- 1 2 3 4 Brown, KM, Keats JJ, Sekulic A et al. (2010). Holland-Frei Cancer Medicine, 8th. People's Medical Publishing House USA, "8". ISBN 978-1607950141.
- ↑ Greene, Frederick L. (2002). AJCC cancer staging manual. Springer-Verlag, Berlin. ISBN 0-387-95271-3. Gearchiveerd op 17 augustus 2021.
- 1 2 3 4 5 Collins, LG, Haines C, Perkel R (January 2007). Lung cancer: diagnosis and management. American Family Physician 75 (1): 56–63 (American Academy of Family Physicians). PMID 17225705. Gearchiveerd op 29 september 2007. Geraadpleegd op 18 oktober 2015.
- ↑ (en) Cornwell, John, Hitler's scientists. Science, war and the devil's pact, Viking, London 2003, p. 171. Citeert Proctor, Robert, The Nazi war on cancer, Princeton 1999.
- ↑ (nl) Wassink WF., ntvg.nl, "Ontstaansvoorwaarden voor longkanker.", Nederlands Tijdschrift voor Geneeskunde. 1948 Nov 13;92(46):3732–47. PMID 18105046. Open access artikel.
- ↑ (en) Wingo PA, Ries LA, Giovino GA, Miller DS, Rosenberg HM, Shopland DR, et al. Annual report to the nation on the status of cancer, 1973-1996, with a special section on lung cancer and tobacco smoking. J Natl Cancer Inst. 1999 Apr 21;91(8):675–90. PMID 10218505. DOI:10.1093/jnci/91.8.675. Dit artikel is door de uitgever gratis toegankelijk gemaakt op oxfordjournals.org
- ↑ (en) Peto R. Influence of dose and duration of smoking on lung cancer rates. IARC Sci Publ. 1986;(74):23–33. PMID 3623669.
- ↑ AEM de Hollander, N Hoeymans, JM Melse, JAM van Oers en JJ Polder. Zorg voor gezondheid Volksgezondheid Toekomst Verkenning, 2006.
Rijksinstituut voor Volksgezondheid en Milieu, Bilthoven - ↑ Mattias Öberg, Maritta S. Jaakkola, Annette Prüss-Üstün, Christian Schweizer, Alistair Woodward, Second-hand smoke Assessing the burden of disease at national and local levels , WHO 2010, who.int
- ↑ Genomic and evolutionary classification of lung cancer in never smokers, Nature Genetics, 6 september 2021.
- ↑ ANP/Novum – nu.nl, 17 oktober 2013; "Vuile lucht officieel kankerverwekkend."
- ↑ Lim, WY, Seow, A (2012 Jan). Biomass fuels and lung cancer.. Respirology (Carlton, Vic.) 17 (1): 20-31. PMID 22008241.
- ↑ Sood, A (2012 Dec). Indoor fuel exposure and the lung in both developing and developed countries: an update.. Clinics in chest medicine 33 (4): 649-65. PMID 23153607.
- ↑ ‘Radon gas in homes increases lung cancer risk’, Brussel 2004, europa.eu
- ↑ fgov.be
- ↑ Oncologie Spil, J. (2013). Mesothelioom. In Oncologie: Handboek voor verpleegkundigen en andere hulpverleners (2e, herz. dr. ed.). Houten: Bohn Stafleu van Loghum.
- ↑ Davies, RJO, Lee YCG (2010). Oxford Textbook Medicine, 5th. OUP Oxford, "18.19.3". ISBN 978-0199204854.
- ↑ Dudley, Joel (2013). Exploring Personal Genomics. Oxford University Press, p. 25. ISBN 9780199644483. Gearchiveerd op 17 december 2013.
- ↑ Kern JA, McLennan G (2008). Fishman's Pulmonary Diseases and Disorders, 4th. McGraw-Hill, p. 1802. ISBN 0-07-145739-9.
- ↑ Cogliano, VJ, Baan, R; Straif, K; Grosse, Y; Lauby-Secretan, B; El Ghissassi, F; Bouvard, V; Benbrahim-Tallaa, L; Guha, N; Freeman, C; Galichet, L; Wild, CP (21 december 2011). Preventable exposures associated with human cancers.. Journal of the National Cancer Institute 103 (24): 1827-39. PMID 22158127. Gearchiveerd op 20 september 2012. Geraadpleegd op 18 oktober 2015.
- ↑ Miller, WT (2008). Fishman's Pulmonary Diseases and Disorders, 4th. McGraw-Hill, p. 486. ISBN 0-07-145739-9.
- ↑ Kaiser, LR (2008). Fishman's Pulmonary Diseases and Disorders, 4th. McGraw-Hill, 1815–1816. ISBN 0-07-145739-9.
- ↑ Kumar, V (2013). Robbins Basic Pathology, 9th. Elsevier Saunders, "12", pp. 505. ISBN 978-1-4377-1781-5.
- ↑ Subramanian, J, Govindan R (February 2007). Lung cancer in never smokers: a review. Journal of Clinical Oncology 25 (5): 561–570 (American Society of Clinical Oncology). PMID 17290066. DOI: 10.1200/JCO.2006.06.8015.
- ↑ Raz, DJ, He B, Rosell R (March 2006). Bronchioloalveolar carcinoma: a review. Clinical Lung Cancer 7 (5): 313–322. PMID 16640802. DOI: 10.3816/CLC.2006.n.012.
- ↑ (March 2006). Small cell lung cancer. Annals of Oncology 17 (Suppl. 2): 5–10. PMID 16608983. DOI: 10.1093/annonc/mdj910.
- ↑ Maitra, A, Kumar V (2007). Robbins Basic Pathology, 8th. Saunders Elsevier, 528–529. ISBN 978-1-4160-2973-1.
- ↑ (1 March 2001). Atypical pulmonary metastases: spectrum of radiologic findings. Radiographics 21 (2): 403–417. PMID 11259704. DOI: 10.1148/radiographics.21.2.g01mr17403.
- ↑ Tan D, Zander DS (2008). Immunohistochemistry for Assessment of Pulmonary and Pleural Neoplasms: A Review and Update. Int J Clin Exp Pathol 1 (1): 19–31. PMID 18784820. PMC 2480532.
- 1 2 3 Rami-Porta, R, Crowley JJ, Goldstraw P (February 2009). The revised TNM staging system for lung cancer. Annals of Thoracic and Cardiovascular Surgery 15 (1): 4–9. PMID 19262443.
- ↑ Chheang, S, Brown K (June 2013). Lung cancer staging: clinical and radiologic perspectives. Seminars in Interventional Radiology 30 (2): 99–113. PMID 24436525. PMC 3709937. DOI: 10.1055/s-0033-1342950.
- ↑ IASLC 8th edition
- ↑ Ferrell, B, Koczywas M, Grannis F, Harrington A (April 2011). Palliative care in lung cancer. Surgical Clinics of North America 91 (2): 403–417. PMID 21419260. DOI: 10.1016/j.suc.2010.12.003.
- ↑ Kaiser LR (2008). Fishman's Pulmonary Diseases and Disorders, 4th. McGraw-Hill, 1853–1854. ISBN 0-07-145739-9.
- 1 2 Kaiser LR (2008). Fishman's Pulmonary Diseases and Disorders, 4th. McGraw-Hill, 1855–1856. ISBN 0-07-145739-9.
- ↑ Odell, DD, Kent MS, Fernando HC (Spring 2010). Sublobar resection with brachytherapy mesh for stage I non-small cell lung cancer. Seminars in Thoracic and Cardiovascular Surgery 22 (1): 32–37. PMID 20813314. DOI: 10.1053/j.semtcvs.2010.04.003.
- ↑ Alam, N, Flores RM (July–September 2007). Video-assisted thoracic surgery (VATS) lobectomy: the evidence base. Journal of the Society of Laparoendoscopic Surgeons 11 (3): 368–374. PMID 17931521. PMC 3015831.
- ↑ Rueth, NM, Andrade RS (June 2010). Is VATS lobectomy better: perioperatively, biologically and oncologically?. Annals of Thoracic Surgery 89 (6): S2107–S2111. PMID 20493991. DOI: 10.1016/j.athoracsur.2010.03.020.
- ↑ Simon GR, Turrisi A (September 2007). Management of small cell lung cancer: ACCP evidence-based clinical practice guidelines (2nd edition). Chest 132 (3 Suppl): 324S–339S. PMID 17873178. DOI: 10.1378/chest.07-1385. [dode link]
- ↑ Goldstein, SD, Yang SC (October 2011). Role of surgery in small cell lung cancer. Surgical Oncology Clinics of North America 20 (4): 769–777. PMID 21986271. DOI: 10.1016/j.soc.2011.08.001.
- ↑ Arriagada, R (2002). Oxford Textbook of Oncology, 2nd. Oxford University Press, p. 2094. ISBN 0-19-262926-3.
- ↑ Hatton, MQ, Martin JE (June 2010). Continuous hyperfractionated accelerated radiotherapy (CHART) and non-conventionally fractionated radiotherapy in the treatment of non-small cell lung cancer: a review and consideration of future directions. Clinical Oncology (Royal College of Radiologists) 22 (5): 356–364. PMID 20399629. DOI: 10.1016/j.clon.2010.03.010.
- ↑ PORT Meta-analysis Trialists Group (2005). Postoperative radiotherapy for non-small cell lung cancer. Cochrane Database of Systematic Reviews (2): CD002142. PMID 15846628. DOI: 10.1002/14651858.CD002142.pub2.
- ↑ Le Péchoux, C (2011). Role of postoperative radiotherapy in resected non-small cell lung cancer: a reassessment based on new data. Oncologist 16 (5): 672–681. PMID 21378080. PMC 3228187. DOI: 10.1634/theoncologist.2010-0150.
- ↑ Cardona, AF, Reveiz L, Ospina EG et al. (April 2008). Palliative endobronchial brachytherapy for non-small cell lung cancer. Cochrane Database of Systematic Reviews (2): CD004284. PMID 18425900. DOI: 10.1002/14651858.CD004284.pub2.
- ↑ Ikushima, H (February 2010). Radiation therapy: state of the art and the future. Journal of Medical Investigation 57 (1–2): 1–11. PMID 20299738. [dode link]
- ↑ Paumier, A, Cuenca X, Le Péchoux C (June 2011). Prophylactic cranial irradiation in lung cancer. Cancer Treatment Reviews 37 (4): 261–265. PMID 20934256. DOI: 10.1016/j.ctrv.2010.08.009.
- ↑ Girard, N, Mornex F (October 2011). Stereotactic radiotherapy for non-small cell lung cancer: From concept to clinical reality. 2011 update. Cancer Radiothérapie 15 (6–7): 522–526. PMID 21889901. DOI: 10.1016/j.canrad.2011.07.241.
- ↑ Fairchild, A, Harris K, Barnes E et al. (August 2008). Palliative thoracic radiotherapy for lung cancer: a systematic review. Journal of Clinical Oncology 26 (24): 4001–4011. PMID 18711191. DOI: 10.1200/JCO.2007.15.3312.
- ↑ Kanker.nl, immunotherapie bij longkanker. geraadpleegd op 18-2-2019.
- ↑ longkankernederland.nl, geraadpleegd op 25-2-2019.
- ↑ Kanker.nl, geraadpleegd op 25-2-2019.
- ↑ heelkunde.nl[dode link], Integraal Kankercentrum Nederland (IKNL) 2011 richtlijn "niet kleincellig longcarcinoom".
- ↑ NSCLC Meta-analysis Collaborative, Group (May 3, 2014). Preoperative chemotherapy for non-small-cell lung cancer: a systematic review and meta-analysis of individual participant data.. Lancet 383 (9928): 1561–71. PMID 24576776. PMC 4022989. DOI: 10.1016/S0140-6736(13)62159-5.
- ↑ Carbone, DP, Felip E (September 2011). Adjuvant therapy in non-small cell lung cancer: future treatment prospects and paradigms. Clinical Lung Cancer 12 (5): 261–271. PMID 21831720. DOI: 10.1016/j.cllc.2011.06.002.
- ↑ Le Chevalier, T (October 2010). Adjuvant chemotherapy for resectable non-small-cell lung cancer: where is it going?. Annals of Oncology 21 (Suppl. 7): vii196–198. PMID 20943614. DOI: 10.1093/annonc/mdq376.
- ↑ (en) Gijtenbeek, Rolof GP, de Jong, Kim, Venmans, Ben JW, van Vollenhoven, Femke HM, Ten Brinke, Anneke (7 juli 2023). Best first-line therapy for people with advanced non-small cell lung cancer, performance status 2 without a targetable mutation or with an unknown mutation status. Cochrane Database of Systematic Reviews 2023 (7). PMID: 37419867. PMC: PMC10327404. DOI:10.1002/14651858.CD013382.pub2.
- ↑ Profylactische hersenbestraling bij SCLC-ED, Oncoline.nl, oncoline SCLC.
- ↑ Profylactische hersenbestraling bij SCLC-ED, Oncoline.nl, geraadpleegd op 28-09-2015.
- ↑ Kelley AS, Meier DE (August 2010). Palliative care—a shifting paradigm. New England Journal of Medicine 363 (8): 781–2. PMID 20818881. DOI: 10.1056/NEJMe1004139.
- 1 2 Prince-Paul M (April 2009). When hospice is the best option: an opportunity to redefine goals. Oncology (Williston Park, N.Y.) 23 (4 Suppl Nurse Ed): 13–7. PMID 19856592.
- ↑ Souquet PJ, Chauvin F, Boissel JP, Bernard JP (April 1995). Meta-analysis of randomised trials of systemic chemotherapy versus supportive treatment in non-resectable non-small cell lung cancer. Lung Cancer 12 Suppl 1: S147–54. PMID 7551923. DOI: 10.1016/0169-5002(95)00430-9.
- ↑ Sörenson S, Glimelius B, Nygren P (2001). A systematic overview of chemotherapy effects in non-small cell lung cancer. Acta Oncol 40 (2–3): 327–39. PMID 11441939.
- ↑ Clegg A, Scott DA, Sidhu M, Hewitson P, Waugh N (2001). A rapid and systematic review of the clinical effectiveness and cost-effectiveness of paclitaxel, docetaxel, gemcitabine and vinorelbine in non-small-cell lung cancer. Health Technol Assess 5 (32): 1–195. PMID 12065068.
- ↑ NSCLC Meta-Analyses Collaborative Group (October 2008). Chemotherapy in Addition to Supportive Care Improves Survival in Advanced Non–Small-Cell Lung Cancer: A Systematic Review and Meta-Analysis of Individual Patient Data From 16 Randomized Controlled Trials. J. Clin. Oncol. 26 (28): 4617–25. PMID 18678835. PMC 2653127. DOI: 10.1200/JCO.2008.17.7162.
- ↑ Non-Small Cell Lung Cancer Collaborative Group (2010). Chemotherapy and supportive care versus supportive care alone for advanced non-small cell lung cancer (5). PMID 20464750.
- ↑ (en) Barnes, Hayley, McDonald, Julie, Smallwood, Natasha, Manser, Renée (2016). Opioids for the palliation of refractory breathlessness in adults with advanced disease and terminal illness. Cochrane Database of Systematic Reviews (3). ISSN:1465-1858. DOI:10.1002/14651858.CD011008.pub2.
- ↑ Taniguchi, Yoshihiko, Matsuda, Yoshinobu, Mori, Masanori, Ito, Madoka, Ikari, Tomoo (2022-12). Effectiveness and safety of opioids for dyspnea in patients with lung cancer: secondary analysis of multicenter prospective observational study. Translational Lung Cancer Research 11 (12): 2395–2402. ISSN:2218-6751. PMID: 36636410. PMC: 9830271. DOI:10.21037/tlcr-22-512.
- ↑ Non-Small Cell Lung Cancer Treatment. PDQ for Health Professionals. National Cancer Institute. Gearchiveerd op 30 december 2008. Geraadpleegd op 22 november 2008.
- ↑ Small Cell Lung Cancer Treatment. PDQ for Health Professionals. National Cancer Institute (2012). Gearchiveerd op 15 september 2012. Geraadpleegd op 16 May 2012.
- ↑ Spiro, SG (2010). Oxford Textbook Medicine, 5th. OUP Oxford, "18.19.1". ISBN 978-0199204854.
- ↑ SEER data (SEER.cancer.gov) Median Age of Cancer Patients at Diagnosis 2002-2003
- ↑ SEER data (SEER.cancer.gov) Median Age of Cancer Patients at Death 2002-2006
- ↑ WHO Disease and injury country estimates. World Health Organization (2009). Gearchiveerd op 6 augustus 2009. Geraadpleegd op 11 november 2009.
- ↑ kanker.nl, cijfers over longkanker in Nederland 2013.
- ↑ Jemal A, Tiwari RC, Murray T, et al. (2004). Cancer statistics, 2004. CA: a Cancer Journal for Clinicians 54 (1): 8–29. PMID 14974761. DOI: 10.3322/canjclin.54.1.8.
- ↑ Proctor, RN (March 2012). The history of the discovery of the cigarette-lung cancer link: evidentiary traditions, corporate denial, global toll. Tobacco Control 21 (2): 87–91. PMID 22345227. DOI: 10.1136/tobaccocontrol-2011-050338.
- ↑ Lum, KL, Polansky JR, Jackler RK (October 2008). Signed, sealed and delivered: "big tobacco" in Hollywood, 1927–1951. Tobacco Control 17 (5): 313–323. PMID 18818225. PMC 2602591. DOI: 10.1136/tc.2008.025445.
- ↑ Lovato, C, Watts A, Stead LF (October 2011). Impact of tobacco advertising and promotion on increasing adolescent smoking behaviours. Cochrane Database of Systematic Reviews (10): CD003439. PMID 21975739. DOI: 10.1002/14651858.CD003439.pub2.
- ↑ Taylor, R, Najafi F, Dobson A (October 2007). Meta-analysis of studies of passive smoking and lung cancer: effects of study type and continent. International Journal of Epidemiology 36 (5): 1048–1059. PMID 17690135. DOI: 10.1093/ije/dym158.
- ↑ Kemp, FB (Jul–Sep 2009). Smoke free policies in Europe. An overview. Pneumologia 58 (3): 155–158. PMID 19817310.
- ↑ National Cancer Institute; SEER stat fact sheets: Lung and Bronchus. Surveillance Epidemiology and End Results. 2010
- ↑ Gender in lung cancer and smoking research (PDF). World Health Organization (2004). Gearchiveerd op 8 augustus 2007. Geraadpleegd op 26 May 2007.
- ↑ Zhang, J, Ou JX, Bai CX (November 2011). Tobacco smoking in China: prevalence, disease burden, challenges and future strategies. Respirology 16 (8): 1165–1172. PMID 21910781. DOI: 10.1111/j.1440-1843.2011.02062.x.
- ↑ Behera, D, Balamugesh T (2004). Lung cancer in India (PDF). Indian Journal of Chest Diseases and Allied Sciences 46 (4): 269–281. PMID 15515828. Gearchiveerd op 17 december 2008. Geraadpleegd op 18 oktober 2015.
- ↑ (February 1997). The increasing incidence of lung adenocarcinoma: reality or artefact? A review of the epidemiology of lung adenocarcinoma. International Journal of Epidemiology 26 (1): 14–23. PMID 9126499. DOI: 10.1093/ije/26.1.14.
- ↑ Kadara, H, Kabbout M, Wistuba II (January 2012). Pulmonary adenocarcinoma: a renewed entity in 2011. Respirology 17 (1): 50–65. PMID 22040022. DOI: 10.1111/j.1440-1843.2011.02095.x.
- ↑ Goodman, GE (November 2002). Lung cancer. 1: prevention of lung cancer. Thorax 57 (11): 994–999. PMID 12403886. PMC 1746232.
- ↑ McNabola, A, Gill LW (February 2009). The control of environmental tobacco smoke: a policy review. International Journal of Environmental Research and Public Health 6 (2): 741–758. PMID 19440413. PMC 2672352. DOI: 10.3390/ijerph6020741.
- ↑ Pandey, G, "Bhutan's smokers face public ban", BBC, February 2005. Gearchiveerd op 7 april 2008. Geraadpleegd op 7 september 2007.
- ↑ Pandey, G, "Indian ban on smoking in public", BBC, 2 October 2008. Gearchiveerd op 15 januari 2009. Geraadpleegd op 25 april 2012.
- ↑ United Nations News service (30 May 2008). UN health agency calls for total ban on tobacco advertising to protect young. Persbericht.
- 1 2 3 Fabricius, P, Lange P (July–September 2003). Diet and lung cancer. Monaldi Archives for Chest Disease 59 (3): 207–211. PMID 15065316.
- ↑ Fritz, H, Kennedy D, Fergusson D et al. (2011). vitamine A en Retinoid Derivaten voor Longkanker: A Systematic Review and Meta Analysis. PLoS ONE 6 (6). PMID 21738614. PMC 3124481. DOI: 10.1371/journal.pone.0021107.
- ↑ Herr, C, Greulich T, Koczulla RA et al. (March 2011). The role of vitamin D in pulmonary disease: COPD, asthma, infection, and cancer. Respiratory Research 12 (1). PMID 21418564. PMC 3071319. DOI: 10.1186/1465-9921-12-31.
- ↑ Alberg, AJ, Samet JM (September 2007). Epidemiology of lung cancer. Chest 132 (S3): 29S–55S (American College of Chest Physicians). PMID 17873159. DOI: 10.1378/chest.07-1347. Gearchiveerd op 29 maart 2020. Geraadpleegd op 18 oktober 2015.
- 1 2 Key, TJ (January 2011). Fruit and vegetables and cancer risk. British Journal of Cancer 104 (1): 6–11. PMID 21119663. PMC 3039795. DOI: 10.1038/sj.bjc.6606032.
- ↑ Manser, RL, Irving LB, Stone C et al. (2004). Screening for lung cancer. Cochrane Database of Systematic Reviews (1): CD001991. PMID 14973979. DOI: 10.1002/14651858.CD001991.pub2.
- ↑ Jaklitsch, MT, Jacobson FL, Austin JH et al. (July 2012). The American Association for Thoracic Surgery guidelines for lung cancer screening using low-dose computed tomography scans for lung cancer survivors and other high-risk groups. Journal of Thoracic and Cardiovascular Surgery 144 (1): 33–38. PMID 22710039. DOI: 10.1016/j.jtcvs.2012.05.060.
- ↑ Bach, PB, Mirkin JN, Oliver TK et al. (June 2012). Benefits and harms of CT screening for lung cancer: a systematic review. JAMA: the Journal of the American Medical Association 307 (22): 2418–2429. PMID 22610500. DOI: 10.1001/jama.2012.5521.
- ↑ Boiselle, PM (2013 Mar 20). Computed tomography screening for lung cancer.. JAMA : the journal of the American Medical Association 309 (11): 1163-70. PMID 23512063.
- ↑ Bach PB, Mirkin JN, Oliver TK, et al. (June 2012). Benefits and harms of CT screening for lung cancer: a systematic review. JAMA 307 (22): 2418–29. PMID 22610500. DOI: 10.1001/jama.2012.5521.
- ↑ Aberle, DR, Abtin, F; Brown, K (2013 Mar 10). Computed tomography screening for lung cancer: has it finally arrived? Implications of the national lung screening trial.. Journal of clinical oncology : official journal of the American Society of Clinical Oncology 31 (8): 1002-8. PMID 23401434.
- ↑ Morgagni, Giovanni Battista (1761). De sedibus et causis morborum per anatomen indagatis.
- ↑ (fr) Bayle, Gaspard-Laurent (1810). Recherches sur la phthisie pulmonaire, Paris.
- 1 2 Witschi, H (November 2001). A short history of lung cancer. Toxicological Sciences 64 (1): 4–6. PMID 11606795. DOI: 10.1093/toxsci/64.1.4.
- ↑ Adler, I (1912). Primary Malignant Growths of the Lungs and Bronchi. Longmans, Green, and Company, New York. Gearchiveerd op 28 april 2019., cited in Spiro SG, Silvestri GA (2005). One hundred years of lung cancer. American Journal of Respiratory and Critical Care Medicine 172 (5): 523–529. PMID 15961694. DOI: 10.1164/rccm.200504-531OE.
- ↑ Grannis, FW, History of cigarette smoking and lung cancer. smokinglungs.com. Gearchiveerd op 18 July 2007. Geraadpleegd op 6 August 2007.
- ↑ Proctor, R (2000). The Nazi War on Cancer. Princeton University Press, 173–246. ISBN 0-691-00196-0.
- ↑ Doll, R, Hill AB (November 1956). Lung Cancer and Other Causes of Death in Relation to Smoking. British Medical Journal 2 (5001): 1071–1081. PMID 13364389. PMC 2035864. DOI: 10.1136/bmj.2.5001.1071.
- ↑ US Department of Health Education and Welfare, Smoking and health: report of the advisory committee to the Surgeon General of the Public Health Service (PDF). US Government Printing Office (1964). Gearchiveerd op 1 september 2019.
- 1 2 Greaves, M (2000). Cancer: the Evolutionary Legacy. Oxford University Press, 196–197. ISBN 0-19-262835-6.
- ↑ Greenberg, M, Selikoff IJ (February 1993). Lung cancer in the Schneeberg mines: a reappraisal of the data reported by Harting and Hesse in 1879. Annals of Occupational Hygiene 37 (1): 5–14. PMID 8460878.
- ↑ Samet, JM (April 2011). Radiation and cancer risk: a continuing challenge for epidemiologists. Environmental Health 10 (Suppl. 1): S4. PMID 21489214. PMC 3073196. DOI: 10.1186/1476-069X-10-S1-S4.
- ↑ Horn, L, Johnson DH (July 2008). Evarts A. Graham and the first pneumonectomy for lung cancer. Journal of Clinical Oncology 26 (19): 3268–3275. PMID 18591561. DOI: 10.1200/JCO.2008.16.8260. Gearchiveerd op 17 maart 2020. Geraadpleegd op 18 oktober 2015.
- ↑ Edwards, AT (1946). Carcinoma of the Bronchus. Thorax 1 (1): 1–25. PMID 20986395. PMC 1018207. DOI: 10.1136/thx.1.1.1.
- ↑ (de) Kabela, M (1956). Erfahrungen mit der radikalen Röntgenbestrahlung des Bronchienkrebses. Ceskoslovenská Onkológia 3 (2): 109–115. PMID 13383622.
- ↑ (July 1997). Continuous hyperfractionated accelerated radiotherapy (CHART) versus conventional radiotherapy in non-small-cell lung cancer: a randomised multicentre trial. Lancet 350 (9072): 161–165 (Elsevier). PMID 9250182. DOI: 10.1016/S0140-6736(97)06305-8.
- ↑ (November 1968). Results of resection for oat-cell carcinoma of the lung. Lancet 2 (7575): 925–927 (Elsevier). PMID 4176258. DOI: 10.1016/S0140-6736(68)91163-X.
- ↑ Miller, AB, Fox W, Tall R (September 1969). Five-year follow-up of the Medical Research Council comparative trial of surgery and radiotherapy for the primary treatment of small-celled or oat-celled carcinoma of the bronchus. Lancet 2 (7619): 501–505 (Elsevier). PMID 4184834. DOI: 10.1016/S0140-6736(69)90212-8.
- ↑ (1977). Intensive chemotherapy of small cell bronchogenic carcinoma. Cancer Treatment Reports 61 (3): 349–354. PMID 194691.
