Gietijzer
.jpg)
Gietijzer is een gegoten staalsoort. Deze legering van ijzer, koolstof (1,8 – 4,3- wt% C)[1], mangaan en silicium wordt in vormen gegoten voor de fabricage van gietijzeren objecten. Het wordt vervaardigd door omsmelting van ruwijzer samen met cokes (kooks) en kalk in een koepeloven, inductieoven of trommeloven.
Vanwege de ruwheid van het oppervlak is het uiterlijk van een gietijzeren voorwerp duidelijk als zodanig te herkennen.
Het gieten
Gietijzer wordt geproduceerd in ijzergieterijen. De ijzersmelt wordt gegoten in een matrijs, die is gevormd met kleigebonden of chemisch gebonden vormzand. Kleigebonden, oftewel groen zand, wordt gebruikt bij gietmassa's tot ±300 kg. Bij grotere gietgewichten wordt chemisch gebonden vormzand gebruikt. Bij zeer grote en meestal eenmalige gietstukken is het zelfs mogelijk om een "metselwerk" in een groot gat in de grond te gebruiken waarin vervolgens de ijzersmelt wordt gegoten.
Toepassingen

Gietijzer is van nature hard, maar bros. Lamellair gietijzer wordt nog wel gebruikt voor het vervaardigen van keukengerei, kachels, deurbeslag, meubelen en sierornamenten. In de 19e en 20e eeuw is het ook toegepast voor het bouwen van bruggen en constructies zoals vuurtorens. Gietijzer is grotendeels in onbruik geraakt vanwege de hoge brosheid van het materiaal en de lage treksterkte. Een van de voordelen van gietijzer is de geluiddempende werking.
Door de zeer goede mechanische eigenschappen van dit materiaal wordt nodulair gietijzer daarentegen nog veelvuldig toegepast in o.a. de grondverzet- en vrachtwagenindustrie.
Sieraden en onderscheidingen
In Pruisen kwamen in 1813 fijn gedetailleerde sieraden, het "Fer de Berlin" in de mode. Het IJzeren Kruis uit 1813 is van gietijzer met een zilveren montuur.
Productvoorbeelden
- Militaire goederen, zoals bommen en mortiergranaten
- Scheepsbeslag, waaronder ook ballastgewichten
- Constructie-elementen, zoals stationsoverkappingen, pilaren, vensters, spiltrappen, dakgoten, hekwerken
- Straatmeubilair, zoals lantaarnpalen, brievenbussen en waterpompen
- Machinedelen, zoals molenassen, spoorwielen
- Buisleidingen
- Huishoudelijke voorwerpen, zoals potten en pannen
- Siervoorwerpen en -ornamenten
- Onderdelen van kolenkachels
Eigenschappen

Gietijzer is zeer goed op druk te belasten, maar de treksterkte is niet erg groot bij ongelegeerde gietijzersoorten; voor op trek belaste constructie-elementen kan beter gebruikgemaakt worden van smeedijzer. Om zeer hoge treksterktes te bereiken is het mogelijk om enkele legeringselementen zoals nikkel, molybdeen en silicium toe te voegen aan de smelt. Tevens kunnen de mechanische eigenschappen worden beïnvloed door een warmtebehandeling.
In tegenstelling tot andere metalen is lamellair gietijzer vrij stijf, in het geheel niet flexibel, dat wil zeggen breekbaar bij verkeerde belasting. Het is een relatief goedkoop materiaal omdat het makkelijk te gieten en te bewerken is.
Nodulair gietijzer heeft goede mechanische eigenschappen, denk bijvoorbeeld aan een goede treksterkte. Nodulair gietijzer met een laag silicium-gehalte wordt veelal gebruikt voor onderdelen die bij zeer lage temperaturen dienst moeten doen (kerfslagwaarde).
Gebroken gietijzer is tegenwoordig te herstellen door lassen met speciale laselektrodes. Na een lasbehandeling ontstaan er restspanningen in het gietstuk die kunnen worden verwijderd met een warmtebehandeling.
Vooral door de dikte van het materiaal heeft 'gietijzer' in de volksmond nog steeds de associatie van iets wat lomp, massief en loodzwaar is. Door de wijze van produceren kennen voorwerpen van gietijzer, bijvoorbeeld pannen en verwarmingsradiatoren, een nog grotere materiaaldikte dan bijv. smeedijzer, en zeker veel dikker dan pannen die uit een dunne plaat worden gestanst en in een vorm worden geperst. Waarbij bij die laatste overigens moet worden opgemerkt dat dan soms ook nog eens gebruik wordt gemaakt van materialen met een (veel) lager soortelijk gewicht, zoals aluminium.
De grotere materiaaldikte en daardoor massiviteit, kan zowel een neveneffect als een doelbewuste keuze zijn. Vroeger bestonden modernere metaalbewerkingen zoals stansen en persen nog niet, of deze waren veel minder gangbaar. Gieten was bovendien een technisch gezien vrij eenvoudig proces waarvoor weinig specialistische apparatuur nodig was, en daardoor relatief makkelijk en goedkoop uit te voeren. Zeker voor grotere voorwerpen zoals (stoom)ketels waren andere fabricageprocessen dan gieten bovendien nog nauwelijks mogelijk. Met gieten is het niet mogelijk om flinterdunne metalen voorwerpen te maken, ook niet voor bijv. een pannendeksel waarvoor deze massiviteit niet/nauwelijks praktische meerwaarde heeft. Een nadeel van gieten is dan ook dat er altijd relatief veel materiaal (grondstoffen) voor nodig is, ook wanneer de grotere materiaaldikte geen meerwaarde voor dat product heeft. Dit heeft er mede aan bijgedragen dat andere fabricageprocessen naast gieten zijn opgekomen. Voor sommige doeleinden, zoals een motorblok of een pomp, is de massiviteit van het materiaal echter juist een vereiste. Voor dergelijke producten is gieten dan juist weer effectiever/efficiënter dan bijv. plaatbewerking of frezen. Ook tegenwoordig wordt het gieten (soms spuitgieten) van ijzer/metaal dan ook nog regelmatig toegepast.
Soorten gietijzer
Microstructuur morfologie

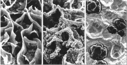
Gietijzer komt voor met verschillende soorten microstructuren, die worden beschreven aan de hand van de vorm die het grafiet (C) aanneemt. De gietijzers hebben elk een eigen afkorting in de vorm van GJX staat voor G = Giet, J = IJzer, X = microstructuur-vorm van grafiet.
| Afkorting | X | Vorm grafiet | Naam |
|---|---|---|---|
| GJL of GG | lamellair | vlok | grijs of lamellair gietijzer |
| GJS of GGG | nodulair | bol | nodulair gietijzer |
| GJV of GGV | vermiculair | worm | gietijzer met vermiculairgrafiet of compactgrafietijzer |
Legeringen
Gietijzer komt voor als wit-, zwart-, grijs-, gemêleerd, ferritisch, perlitisch, austenitisch of martensitisch gietijzer. De soort wordt afgeleid van de samenstelling van de kristalstructuur en de mate van afkoeling van het gesmolten gietijzer of warmtebehandelingen. Snelle afkoeling zorgt voor gemêleerd grijs gietijzer met veel gebonden koolstof terwijl langzame afkoeling leidt tot weinig tot geen (ferritisch) gebonden koolstof. Het verbinden van de koolstof in het gietijzer (perlietvorming) kan worden beïnvloed door het toevoegen van koper en mangaan. De overige soorten grijs gietijzer worden bij tussenliggende afkoeltijden bereikt. Wit gietijzer (GJW) bevat geen vrij grafiet; de aanwezige koolstof is geheel chemisch gebonden aan het ijzer als witte carbiden in de vorm van cementiet (Fe3C). De aanwezigheid van Si werkt bevorderend voor de grafietafscheiding en dus grijs gietijzer.
Door het toevoegen van magnesium wordt de vrije koolstof gedwongen om de vorm met de minste oppervlaktespanning aan te nemen: de bolvorm (nodulen).
De samenstelling van de legeringselementen en het productieproces bepalen voor een groot deel de materiaaleigenschappen van gietijzer. Het verbeteren van de eigenschappen voor de beoogde functie wordt daarom vaak gedaan door het aanpassen van de samenstelling van de legeringselementen, het aanpassen van het productieproces of het uitvoeren van warmtebehandelingen van gietijzer. De belangrijkste "soorten" gietijzer-legeringen, die daaruit zijn gekomen, zijn:[2][3]
| Legering | %Fe | %C | %Si | %Mn | %S | %P | %Cr | Matrix | Details | |
|---|---|---|---|---|---|---|---|---|---|---|
| Grijs gietijzer | ||||||||||
| GJL of
GG |
Grijs of lamellair gietijzer | 95 | 2,90 – 3,65 | 1,80 – 2,90 | 0,50-0,70 | max. 0,10 | max. 0,30 | ferriet + | lamellair-vormig grafiet | |
| Gewoon grijs gietijzer | ferriet + | lamellair-vormig grafiet | ||||||||
| Ferritisch grijs gietijzer | ferriet | lamellair-vormig grafiet | ||||||||
| Perlitisch grijs gietijzer | perliet | lamellair-vormig grafiet | ||||||||
| Austenisch lamellair gietijzer | austeniet | lamellair-vormig grafiet | ||||||||
| Nodulair gietijzer | ||||||||||
| GJS of
GGG |
Nodulair gietijzer | 3,40 – 3,85 | 2,30 – 3,10 | 0,10 – 0,30 | max. 0,02 | max. 0,10 | max. 0,10 | ferriet +
perliet |
nodulair (bolvormig) grafiet | |
| Austenisch nodulair gietijzer | austeniet | |||||||||
| Vermiculair gietijzer | ||||||||||
| GJV of
GGV |
Gietijzer metvermiculairgrafiet
of compactgrafietijzer |
vermiculair-vormig grafiet | ||||||||
| Wit gietijzer | ||||||||||
| GJW | Gewoon wit gietijzer | <1% | cementiet +
perliet |
koolstof gebonden in cementiet en perliet, geen vrije grafiet, zonder nabehandeling | ||||||
| GJMW | Wit temperijzer | laag
2,8 – 3,4 |
0,4 – 0,8 | 0,12 – 0,25 | 0,4 – 0,6 | 0,1 | ferriet
(perliet) |
temperen in een oxide-rijke omgeving leidt tot nestvormig grafiet (temperkool)
in ferriet/perliet matrix, buitenzone gietstuk is ontkoolde, zuivere ferriet met een witte kleur | ||
| Frisijzer | hoog | grafiet nesten en ontkoolde buitenschil gietstuk | ||||||||
| Gemêleerd gietijzer | perlitisch gemêleerd of ferritisch gemêleerd of
gewoon gemêleerd gietijzer (tussen ferritisch en perlitisch in) | |||||||||
| Zwart gietijzer | ||||||||||
| GJB | Zwart gietijzer | |||||||||
| GJMB | Zwart temperijzer | 2 – 2,9 | 1,2 – 1,5 | 0,4 – 0,6 | 0,12 – 0,18 | 0,1 | ferriet +
perliet |
temperen in een oxide-arme omgeving leidt tot nestvormig grafiet (temperkool) | ||
| Opties (toevoeging, warmtebehandeling) | ||||||||||
| Meehaniet | toevoeging van calciumsilicide (CaSi2) aan het smeltbad | |||||||||
| GJM | Temperijzer | getemperd gietijzer: komt voor als wit temperijzer (GJMW) en zwart temperijzer (GJMB) | ||||||||
Gradering van gietijzer (handelsnaam vlgs. DIN)
| Basissymbool | Voorbeeld | Omschrijving |
|---|---|---|
| GG (grijs gietijzer) | GG | grijs gietijzer (lamellair) waaraan geen beproevingseisen zijn gesteld |
| GG 0,2 kN | GG 20 | grijs gietijzer (lamellair) met een minimum treksterkte van 0,2 kN/mm² |
| --- | GG 30 | grijs gietijzer (lamellair) met een minimum treksterkte van 0,3 kN/mm² |
| GGG (nodulair gietijzer) | GGG40 | Ferritisch gietijzer (nodulair) met een minimum treksterkte van 0,4 kN/mm² |
| --- | GGG40.3 | Ferritisch gietijzer (nodulair) met een minimum treksterkte van 0,4 kN/mm², laag siliciumgehalte, gebruikt bij zeer lage temperaturen. |
| --- | GGG50 | Ferritisch/perlitisch gietijzer (nodulair) met een minimum treksterkte van 0,5 kN/mm² |
| --- | GGG60 | Perlitisch gietijzer (nodulair) met een minimum treksterkte van 0,6 kN/mm² |
| --- | GGG70 | Perlitisch gietijzer (nodulair) met een minimum treksterkte van 0,7 kN/mm² |
| --- | GGG80 | Perlitisch gietijzer (nodulair) met een minimum treksterkte van 0,8 kN/mm² |
| Hooggelegeerde gietijzersoorten | ADI | Austenitic Ductile Iron, met een hoog nikkel- en molybdeengehalte en een zeer hoge drukbestendigheid met een minimum treksterkte van 1,0 kN/mm² en een rek van 10% (verkregen door een gloeibehandeling waarna afkoeling in een zoutbad plaatsvindt). |
| --- | SIMO | Ferritisch gietijzer met een hoog silicium- en molybdeengehalte voor corrosiebestendigheid |
Dit zijn oude benamingen volgens de ingetrokken DIN1693-01. Er bestaan recentere DIN EN normen.
Gietstaal
Gietstaal, oude benaming thomasstaal, heeft een hoger smeltpunt dan gietijzer en is in vloeibare toestand veel stroperiger. Er zijn veel verschillende kwaliteiten gietstaal. Zo is GS-38/45/52/60 normaal staal en G-NiCr 20 Mo 15 (Hastelloy C) dat extreem corrosiebestendig is.
Zie ook
Externe links
- ↑ M. F. Ashby, Hugh Shercliff, David Cebon (2019). Materials : engineering, science, processing and design, 4de druk, Kidlington, Oxford, United Kingdom. ISBN 978-0-08-102376-1.
- ↑ Kennisbank Staal. Magazine ALURVS, print- en onlinemagazine voor de Aluminium, Roestvast en Staal branche. Gearchiveerd op 17 mei 2022. Geraadpleegd op 13 mei 2022.
- ↑ M. F. Ashby, Hugh Shercliff, David Cebon (2019). Materials : engineering, science, processing and design, 4de druk, Kidlington, Oxford, United Kingdom. ISBN 978-0-08-102376-1.