Keel (anatomie)
| Keel | ||||
|---|---|---|---|---|
| Fauces | ||||
![]() | ||||
Anatomische weergave uit Gray's Anatomy van de menselijke keel en aangrenzende gebieden | ||||
| Gegevens | ||||
| Orgaanstelsel | Spijsverteringsstelsel | |||
| ||||
De keel is een lichaamsholte in het onderste gedeelte van het hoofd of de kop en boven in de hals van mensen en veel dieren. Deze holte maakt tegelijkertijd deel uit van het maag-darmstelsel en van het luchtwegstelsel. Het bovenste gedeelte van de hals, waar zich aan de binnenkant de keelholte bevindt, wordt vooral bij mensen vaak ook gewoon de keel genoemd.
Ligging
De keelholte ligt direct achter de mondholte en (bij mensen) meteen onder de nasofarynx. Aan de onderzijde gaat de keelholte over in de slokdarm.
Het is de plaats waar de route van het ademhalingsstelsel (richting de luchtpijp en verder naar de longen) en de route van de spijsvertering elkaar kruisen. Tijdens het slikken gaan voedsel en drank via de keel richting de slokdarm en vervolgens verder naar de maag.
De keel is altijd gelegen in het onderste deel van het hoofd of de kop en dient als zodanig te worden onderscheiden van de hals of nek; zo is de keel van een giraffe bijvoorbeeld wat betreft grootte vergelijkbaar met die van een mens.
Sommige dieren die geen longen hebben, zoals geleedpotigen, hebben ook geen keel.
Anatomie
In de keelholte komen twee organen samen die beide tot een ander systeem behoren: de farynx ofwel neus-keelholte (in de keel zelf worden specifiek de orofarynx en de hypofarynx onderscheiden) en de larynx. De farynx maakt deel uit van het digestief systeem. De larynx, ook wel bekend als het strottenhoofd, vormt een belangrijke tussenhalte in het stelsel van de bovenste luchtwegen. Daarnaast is dit orgaan nauw betrokken bij het voortbrengen van geluid (dat zich meestal uit in de vorm van spraak bij mensen).
In en nabij de keelholte van mensen en andere zoogdieren bevinden zich twee botten: het tongbeen en het sleutelbeen.
Functie
Het is bij zoogdieren belangrijk dat de routes van de spijsvertering en de ademhaling elkaar niet kruisen (verslikken); lucht in de maag is voor veel diersoorten wel te overleven, maar voedsel in de luchtpijp is op korte termijn gevaarlijk vanwege mogelijke verstikking en kan op langere termijn een longontsteking veroorzaken. Bij veel diersoorten zitten dan ook flapjes of klepjes die de twee stromen uit elkaar moeten houden. Bij de mens zijn dat het strotklepje en het strottenhoofd. Daarnaast zorgt bij mensen ook de huig dat het voedsel bij het doorslikken meteen de goede kant opgaat.
Aandoeningen
Vanwege het rechtstreekse contact met de buitenwereld is met name de neus-keelholte erg vatbaar voor infecties en andere aandoeningen.
- Keelpijn komt zeer veel voor en kan een nevenverschijnsel zijn van gewone aandoeningen als keelontsteking, griep en verkoudheid of bijvoorbeeld de ziekte van Pfeiffer. Het kan ook een uiting zijn van allergie.
- Diverse weefsels in of nabij de keelholte kunnen ontstoken raken, zoals de amandelen (tonsillitis) of het strottenhoofd (laryngitis). Wanneer de keelholte zelf ontstoken raakt, is er sprake van een keelontsteking. Een streptokokkeninfectie gaat vaak ook gepaard met een keelontsteking en andere aandoeningen in en rondom de keelholte.
- Difterie is een ernstigere aandoening die o.a. de keelholte kan treffen dan een gewone keelontsteking. Bij difterie kunnen zogeheten pseudomembranen de luchtwegen blokkeren.
- Keelkanker is een geregeld voorkomende en ernstiger aandoening. De kans op deze vorm van kanker neemt met name toe naarmate men meer rookt en/of alcohol nuttigt. Bij keelkanker moet veelal het strottenhoofd verwijderd worden, een ingreep die bekendstaat als laryngectomie. Omdat de normale ademweg in dit geval niet meer bestaat, wordt er een stoma in de hals gemaakt. De patiënt kan dan ademhalen via een gaatje in de luchtpijp vlak boven het borstbeen.
- Afbeeldingen
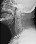
Beeldvormend medisch onderzoek van de menselijke keel waarbij gebruik wordt gemaakt van röntgenstraling.
Een arts kijkt in de keel van een patiënt (foto gemaakt in 1942, in een kamp voor Japanse geëvacueerden in Arcadia, Californië).
Zicht (met behulp van een tongspatel) op een menselijke keel, 3 dagen na een tonsillectomie.
Terminologie
In de anatomie wordt met keelgat het begin van de slokdarm bedoeld. De uitdrukking "verkeerde keelgat" gaat uit van twee keelgaten, waarvan voor voedsel en drank het begin van de slokdarm het goede en het begin van de luchtpijp het verkeerde is (of er wordt met "verkeerde keelgat" bedoeld het gat in de keel dat niet het keelgat is).
