Traumatisch hersenletsel
| Traumatisch hersenletsel | ||||
|---|---|---|---|---|
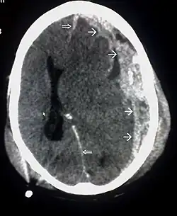
![]() | ||||
CT-scan waarop een hersenkneuzing, hersenbloeding, subduraal hematoom en schedelfracturen te zien zijn.[1] | ||||
| Coderingen | ||||
| ICD-11 | ||||
| DiseasesDB | 5671 | |||
| MedlinePlus | 000028 | |||
| eMedicine | med/2820 | |||
| MeSH | D001930 | |||
| ||||
Traumatisch hersenletsel (THL) is een vorm van niet-aangeboren hersenletsel, die ontstaat wanneer een kinetische kracht buiten het lichaam het hersenweefsel beschadigt. Traumatisch hersenletsel kan worden ingedeeld gebaseerd op ernst, soort (gesloten of penetrerend), of andere kenmerken (bijvoorbeeld focaal tegenover wijdverspreid). Traumatisch hersenletsel kan leiden tot fysieke, cognitieve, sociale en emotionele beperkingen en gedragsveranderingen. De uitkomsten kunnen uiteenlopen van volledig herstel tot blijvende beperkingen of zelfs de dood.
Oorzaken van traumatisch hersenletsel omvatten onder meer valpartijen, botsingen en geweld. Hersenletsel ontstaat als gevolg van plotselinge versnelling of vertraging binnen de schedel door een combinatie van beweging en een plotselinge terugslag. Naast de schade die ontstaat tijdens het ongeval, kunnen verschillende processen in de minuten tot dagen na het ongeval secundaire verwondingen veroorzaken. Onder deze processen vallen onder andere veranderingen in de bloedsomloop in de hersenen en de druk in de schedel. Om een diagnose te kunnen stellen, wordt onder andere gebruik gemaakt van computertomografie (CT) en magnetic resonance imaging (MRI).
Afhankelijk van het soort schade, kan traumatisch hersenletsel worden behandeld, al zijn de mogelijkheden meestal beperkt. De voornaamste behandelmethoden zijn medicatie en chirurgie. Lichamelijke revalidatie, net als onder andere spraaktherapie en ergotherapie, kunnen worden ingezet om de kwaliteit van leven zo veel mogelijk te verbeteren.
Traumatisch hersenletsel is wereldwijd verantwoordelijk voor veel sterftegevallen en handicaps, voornamelijk bij kinderen en jongvolwassenen. Naar schatting lopen in Nederland elk jaar ongeveer 85.000 mensen traumatisch hersenletsel op.[2] Mannen krijgen vaker te maken met traumatisch hersenletsel dan vrouwen. In de laatste decennia zijn de prognoses verbeterd en is het sterftecijfer gedaald, dankzij de groeiende mogelijkheden op het gebied van behandeling.
Classificatie
Traumatisch hersenletsel wordt gedefinieerd als schade aan het brein dankzij mechanische krachten van buitenaf, zoals plotselinge versnelling of vertraging, terugslag, ontploffingsgolven of penetratie door een projectiel.[3] Het functioneren van de hersenen wordt hierdoor tijdelijk of permanent beperkt en structurele schade kan mogelijk optreden en worden waargenomen met CT- of MRI-scans.[4]
Traumatisch hersenletsel is een van de twee typen niet-aangeboren hersenletsel. Het andere type is niet-traumatisch hersenletsel, waarbij geen mechanische kracht van buitenaf betrokken is (bijvoorbeeld bij een beroerte of infectie).[5][6] Bij THL is er altijd sprake van hoofdletsel, maar dit laatste verwijst ook naar andere verwondingen aan het hoofd.[7][8][9] Hersenletsel valt onder de classificatie van beschadiging van het centraal zenuwstelsel[10] en neurotrauma.[11]
Traumatisch hersenletsel wordt doorgaans geclassificeerd gebaseerd op ernst, anatomische kenmerken en het mechanisme.[12] Gebaseerd op het mechanisme, kan traumatisch hersenletsel worden opgedeeld in twee subtypen: gesloten en penetrerend letsel. Gesloten letsel ontstaat wanneer het brein niet wordt blootgesteld aan de buitenlucht.[8] Penetrerend, of open, letsel ontstaat wanneer een object de schedel en het harde hersenvlies (de buitenste beschermlaag van de hersenen) doorboort.[8]
Ernst
| GCS | PTA | BwzVl | |
|---|---|---|---|
| Licht | 13–15 | <1 dag | 0–30 minuten |
| Middelzwaar | 9–12 | 1 tot 7 dagen | 30 min tot 24 uur |
| Ernstig | 3–8 | >7 dagen | >24 uur |
Er zijn drie niveaus van ernst van THL: licht, middelzwaar en ernstig.[12] De Glasgow-comaschaal (GCS) wordt het meest gebruikt om de ernst van hersenletsel in de acute fase vast te stellen. Aan de hand van deze schaal kan een score tussen de 3 en de 15 worden toegewezen aan het bewustzijnsniveau, gebaseerd op verbale en motorische prestaties en het al dan niet openen van de ogen. Over het algemeen wordt een geval van traumatisch hersenletsel waarbij de patiënt een GCS-score van 13 of hoger behaalt, als licht beschouwd. Bij een GCS-score tussen de 9 en de 12, wordt het THL als middelzwaar beschouwd. Bij een score onder de 8, wordt het THL als ernstig beschouwd.[4][9][14] Voor kinderen wordt een soortgelijke classificatie gebruikt.[9]
Omdat de GCS-score geen goede voorspeller van uitkomst is, worden er naast de GCS andere middelen gebruikt om de ernst van het hersenletsel vast te stellen. In de tabel hiernaast is een overzicht van drie veelgebruikte middelen: de GCS-score, de duur van de posttraumatische amnesie (PTA) en de duur van bewustzijnsverlies (BwzVl).
Pathologie

Er kan ook onderscheid gemaakt worden tussen verschillende vormen van THL op basis van de fysiopathologie.[12] Letsel kan zowel extra-axiaal (binnen de schedel, maar buiten de hersenen) als intra-axiaal (binnen het hersenweefsel) zijn.[15] Daarnaast kan het letsel focaal (op één specifieke locatie) of diffuus (verspreid over het brein) zijn.[16] Beide typen letsel komen echter vaak samen voor.[16]
Wijdverspreid letsel is vaak lastig te onderscheiden op hersenscans, maar de laesies kunnen postmortem met microscopen worden onderzocht.[16] Sinds begin jaren 2000, kan met behulp van diffusion tensor imaging (DTI), een speciale techniek om MRI-beelden te verwerken waarmee wittestofbanen kunnen worden bekeken, de wijdverspreide schade aan de axonen wel worden bekeken bij leven.[17][18] Veelvoorkomende vormen van letsel zijn, onder andere, oedemen (zwellingen) en laesies in verschillende axonen, waaronder de wittestofbanen en de projecties naar de cortex.[19][20]
Bij focaal, gelokaliseerd letsel ontstaan vaak symptomen die gerelateerd zijn aan de functies van het beschadigde weefsel.[10] De gebieden die het vaakst letsel laten zien bij gesloten hersenletsel, zijn de orbitofrontale cortex (het onderste gedeelte van de frontale kwabben) en de voorste gedeeltes van de temporale kwabben. Dit zijn gebieden die voornamelijk zijn betrokken bij sociaal gedrag, emotieregulatie, reukzin en het nemen van beslissingen. Bij middelzwaar tot ernstig THL krijgen patiënten dan ook vaak last met deze vaardigheden.[21][22][23][24] Symptomen als hemiparese en afasie kunnen ook voorkomen als andere delen van de hersenen beschadigd raken.[25][26]
Hersenweefsel kan worden doorgesneden of uit elkaar getrokken bij THL, vooral in de orbitofrontale cortex, vanwege de scherpe randen aan de schedel boven de oogkassen.[21] Het schaven van de hersenen langs scherpe randen in de schedel kan ook leiden tot hersenkneuzing.[14]
Wanneer bloed zich ophoopt in of rond het brein, spreekt men van een hematoom.[4] Bij een intracerebraal hematoom vindt de bloeding in het hersenweefsel plaats (intra-axiaal). Voorbeelden van bloedingen buiten het hersenweefsel (extra-axiaal) zijn epiduraal hematoom, subduraal hematoom, subarachnoïdale bloeding en intraventriculaire bloeding.[27] Bij een epiduraal hematoom ontstaat er een bloeding tussen de schedel en het harde hersenvlies, de buitenste van de drie hersenvliezen.[4] Bij een subduraal hematoom ontstaat de bloeding tussen het harde hersenvlies en het spinnenwebvlies.[14] Een subarachnoïdale bloeding vindt plaats tussen het spinnenwebvlies en het zachte hersenvlies.[14] Wanneer er een bloeding ontstaat in het ventrikelstelsel, spreekt men van een intraventriculaire bloeding.[27]
Soorten
Er wordt op meerdere manieren onderscheid gemaakt tussen verschillende soorten THL. Twee belangrijke subtypen worden doorgaans onderscheiden: gesloten hersenletsel en penetrerend (open) hersenletsel.[8]
Gesloten hersenletsel
Gesloten hersenletsel is de meestvoorkomende vorm van traumatisch hersenletsel: in 90% van de gevallen van THL is er sprake van. Gesloten hersenletsel verwijst naar al het traumatisch hersenletsel waarbij mechanische krachten van buitenaf schade veroorzaken aan de schedel en de hersenen, zonder dat er daarbij een voorwerp van buitenaf de schedel binnentreedt. Het wil echter niet per se zeggen dat de schedel intact blijft; deze kan breken of zelfs splinteren.[28] Dit soort letsel treedt vaak op bij ongelukken, zoals valpartijen en botsingen.
Na gesloten hersenletsel ontstaat hersenkneuzing.[29] De kneuzing ontstaat op meerdere plekken. Op de plek waar het hoofd geraakt wordt door de klap, spreekt men van een "coup". Door de klap worden de hersenen naar achter geduwd, waar ze tegen de binnenkant van de schedel botsen. Dit heet de "contrecoup".[29] Bij het bewegen door de schedelholte, schaven de hersenen over de scherpe randen van de schedel boven de oogkassen, waardoor de temporale kwabben beschadigd kunnen raken.[29] Daarnaast kan de hersenstam opzwellen door de beweging binnen de schedel. Verder kan diffuse axonale beschadiging ontstaan, waarbij de axonen van de zenuwcellen in het brein scheuren.[28]
In een natuurlijke lichamelijke reactie op schade kunnen er zwellingen ontstaan. Omdat de hersenen niet uit de schedel kunnen treden, neemt de druk sterk toe. Hierdoor treedt er vaak bewustzijnsverlies op. Daarnaast is er vaak sprake van posttraumatische amnesie.[28]
Penetrerend hersenletsel

Bij penetrerend hersenletsel, soms ook open hersenletsel genoemd, doorboort een voorwerp van buitenaf, zoals een kogel, de schedel. In de overige 10% van de gevallen van THL is er sprake van penetrerend hersenletsel.
Ten gevolge van penetrerend hersenletsel treedt focale schade op. Dit wil zeggen dat de schade tot op zekere hoogte beperkt blijft tot de locatie waar de penetratie plaatsvindt. Doordat niet het hele brein, maar slechts een beperkt gebied beschadigd raakt, verschillen de symptomen tussen patiënten. De symptomen zijn afhankelijk van waar de schade optreedt. Wanneer bijvoorbeeld de prefrontale cortex wordt beschadigd kunnen persoonlijkheidsveranderingen en ongeremdheid optreden, terwijl er visuele beperkingen kunnen optreden wanneer de occipitale kwabben worden geraakt. Omdat de druk in de schedel niet per se toeneemt, treedt er bij penetrerend letsel meestal geen bewustzijnsverlies op, in tegenstelling tot wat gebeurt bij gesloten hersenletsel.[28]
In reactie op de schade kan er een zwelling of bloeding ontstaan. Wanneer de schedel en de hersenvliezen ernstig zijn beschadigd en de hersenen direct aan de buitenlucht zijn blootgesteld, is er een verhoogde kans op infecties, waaronder encefalitis.[28]
Symptomen
De symptomen zijn afhankelijk van het soort THL (diffuus of focaal) en de locatie van het letsel.[31] Bewusteloosheid lijkt langer te duren bij mensen die letsel hebben in de linkerhersenhelft, vergeleken met mensen die letsel hebben in de rechterhelft.[8] De symptomen zijn tevens afhankelijk van de ernst van het letsel. Bij licht THL kan iemand bij bewustzijn blijven, of het bewustzijn slechts enkele seconden of minuten verliezen.[32] Andere symptomen van licht THL zijn onder meer hoofdpijn, braken, misselijkheid, een gebrek aan coördinatie van bewegingen, duizeligheid, verstoorde evenwichtszin,[33] een licht gevoel in het hoofd, wazig zicht of moeie ogen, pieptonen in het oor, een vieze smaak in de mond, vermoeidheid of loomheid en veranderingen in het slaappatroon.[32] Er kunnen ook cognitieve en emotionele symptomen optreden, waaronder veranderingen in het gedrag, stemmingswisselingen, verwarring en geheugen-, concentratie- en aandachtsproblemen.[32] Dit soort symptomen kunnen ook optreden bij middelzwaar en ernstig THL.[32]
Een patiënt met middelzwaar of ernstig THL kan last krijgen van langdurige hoofdpijn, herhaaldelijk braken of een aanhoudend misselijk gevoel, stuiptrekkingen, een onvermogen om wakker te worden, verwijding van één of beide pupillen, onduidelijke spraak, afasie (moeite om woorden te vinden), dysartrie, een zwak of doof gevoel in de ledematen, een gebrek aan coördinatie, verwarring, rusteloosheid of agitatie.[32] Veelvoorkomende langetermijngevolgen van middelzwaar tot ernstig THL zijn veranderingen in gepast sociaal gedrag, beperkt sociaal inzicht en cognitieve veranderingen. Met name volgehouden aandacht, verwerkingssnelheid en executief functioneren zijn hierbij aangetast.[24][34][35][36][37] Alexithymie, een aandoening waarbij het identificeren, begrijpen, verwerken en beschrijven van emoties is beperkt, komt voor bij 60,9% (bijna twee derde) van THL-patiënten.[38] Cognitieve en sociale beperkingen hebben langetermijngevolgen op het dagelijks leven van mensen met middelzwaar tot ernstig THL, maar met de juiste revalidatie en therapie kunnen de beperkingen worden verminderd.[37][39][40][41]
Als de druk in de schedel (zgn. intracraniële druk) te hoog wordt, kan dit dodelijk zijn.[42] Tekenen van verhoogde intracraniële druk zijn onder andere een verminderd niveau van bewustzijn, verlamming of zwakheid in één lichaamshelft en een sterk verwijde pupil of een pupil die niet of langzaam reageert op licht.[42] Een trage hartslag met hoge bloeddruk en ademdepressie ("Cushing's triade") zijn zeer kenmerkend voor een ernstig verhoogde intracraniële druk.[4] Anisocorie, een ongelijke pupilgrootte, is nog een teken van ernstig THL.[30] Een afwijkend postuur en lichaamshouding kan duiden op ernstige problemen vanwege diffuse schade of verhoogde intracraniële druk.[4]
Kleine kinderen met middelzwaar tot ernstig THL kunnen de bovengenoemde symptomen niet altijd duidelijk communiceren met artsen, behandelaars of hun ouders.[43] Deze worden daarom niet altijd vastgesteld. Andere symptomen die veel voorkomen bij kleine kinderen, zijn onder andere langdurige huilbuien, ontroostbaarheid, lusteloosheid, weigeren te eten,[43] en prikkelbaarheid.[4]
Behandeling
Bij traumatisch hersenletsel is het van belang de behandeling zo snel mogelijk te starten, het liefst binnen één uur na het ontstaan van het letsel.[44] Mensen met middelzwaar tot ernstig THL worden vaak behandeld op de intensivecareafdeling in een ziekenhuis, waarna ze worden overgebracht naar de neurologieafdeling.[45] De vorm van behandeling hangt af van het stadium van revalidatie waarin de patiënt zich bevindt. In de acute fase is het eerste doel het stabiliseren van de toestand van de patiënt en het voorkomen van verder letsel, aangezien er nog weinig gedaan kan worden om het reeds ontstane letsel terug te draaien.[45] Rehabilitatie en revalidatie zijn de belangrijkste behandeldoelen in de subacute en chronische fasen.[45] Er bestaan internationaal gebruikte klinische richtlijnen aan de hand waarvan beslissingen kunnen worden genomen over de behandeling van THL, gebaseerd op beschikbaar bewijs uit medisch wetenschappelijk onderzoek.[3]
Zie ook
- Hersenletsel
- Niet-aangeboren hersenletsel
- Informatie over traumatisch hersenletsel op de website van de Hersenstichting.
Bronvermelding
Dit artikel of een eerdere versie ervan is een (gedeeltelijke) vertaling van het artikel Traumatic brain injury op de Engelstalige Wikipedia, dat onder de licentie Creative Commons Naamsvermelding/Gelijk delen valt. Zie de bewerkingsgeschiedenis aldaar.
Voetnoten:
- ↑ (en) Rehman, T., Ali, R., Tawil, I., & Yonas, H. (2008). Rapid progression of traumatic bifrontal contusions to transtentorial herniation: A case report. Cases journal 1 (1): 203. PMID 18831756. PMC 2566562. DOI: 10.1186/1757-1626-1-203.
- ↑ Judith Zadoks, Hersenz, Factsheet Aantallen, oorzaken en gevolgen van niet-aangeboren hersenletsel. PDF (2015). Geraadpleegd op 4 maart 2017.
- 1 2 (en) Maas, A.I., Stocchetti, N., & Bullock, R. (augustus 2008). Moderate and severe traumatic brain injury in adults. Lancet Neurology 7 (8): 728–41. PMID 18635021. DOI: 10.1016/S1474-4422(08)70164-9.
- 1 2 3 4 5 6 7 (en) Parikh, S., Koch, M., & Narayan, R.K. (2007). Traumatic brain injury. International Anesthesiology Clinics 45 (3): 119–35. PMID 17622833. DOI: 10.1097/AIA.0b013e318078cfe7.
- ↑ (en) Chapman, S.B., Levin, H.S., & Lawyer, S.L. (1999). Communication Disorders Following Traumatic Brain Injury. Psychology Press, East Sussex, "Communication problems resulting from brain injury in children: Special issues of assessment and management", 235–36. ISBN 0-86377-724-4.
- ↑ (en) Collins, C., & Dean, J. (2002). Occupational Therapy and Physical Dysfunction: Principles, Skills and Practice. Churchill Livingstone, Edinburgh, "Acquired brain injury", 395–96. ISBN 0-443-06224-2.[dode link]
- ↑ (en) Blissitt, P.A. (september 2006). Care of the critically ill patient with penetrating head injury. Critical Care Nursing Clinics of North America 18 (3): 321–32. PMID 16962454. DOI: 10.1016/j.ccell.2006.05.006.
- 1 2 3 4 5 (en) Hannay, H.J., Howieson, D.B., Loring, D.W., Fischer, J.S., & Lezak, M.D. (2004). Neuropsychological Assessment. Oxford University Press, Oxford [Oxfordshire], "Neuropathology for neuropsychologists", 158–62. ISBN 0-19-511121-4.
- 1 2 3 (en) Jennett, B. (mei 1998). Epidemiology of head injury. Archives of Disease in Childhood 78 (5): 403–06. PMID 9659083. PMC 1717568. DOI: 10.1136/adc.78.5.403.
- 1 2 LaPlaca, M.C., Simon, C.M., Prado, G.R., & Cullen, D.R. (2007). Neurotrauma: New Insights Into Pathology and Treatment. Academic Press, Amsterdam, "CNS injury biomechanics and experimental models". ISBN 0-444-53017-7.
- ↑ Weber, J.T., & Maas, A.I. (2007). Neurotrauma: New Insights Into Pathology and Treatment. Academic Press, Amsterdam, xi. ISBN 0-444-53017-7.
- 1 2 3 (en) Saatman, K.E., Duhaime, A.C., Bullock, R., Maas, A.I., Valadka, A., & Manley, G.T. (2008). Classification of traumatic brain injury for targeted therapies. Journal of Neurotrauma 25 (7): 719–38. PMID 18627252. PMC 2721779. DOI: 10.1089/neu.2008.0586.
- ↑ (en) Department of Defense and Department of Veterans Affairs (2008). Traumatic Brain Injury Task Force (Verenigde Staten).
- 1 2 3 4 (en) Valadka, A.B. (2004). Trauma. McGraw-Hill, Medical Pub. Division, New York, "Injury to the cranium", 385–406. ISBN 0-07-137069-2.
- ↑ (en) Seidenwurm, D.I. (2007). Fundamentals of Diagnostic Radiology. Lippincott, Williams & Wilkins, Philadelphia, "Introduction to brain imaging", 53–55. ISBN 0-7817-6135-2.
- 1 2 3 (en) Smith, D.H., Meaney, D.F., & Shull, W.H. (2003). Diffuse axonal injury in head trauma. Journal of Head Trauma Rehabilitation 18 (4): 307–16. PMID 16222127. DOI: 10.1097/00001199-200307000-00003.
- ↑ (en) Kraus, M.F., Susmaras,T., Caughlin, B.P., Walker, C.J., Sweeney, J.A., & Little, D.M. (2007). White matter integrity and cognition in chronic traumatic brain injury: A diffusion tensor imaging study. Brain 130 (10): 2508–2519. PMID 17872928. DOI: 10.1093/brain/awm216.
- ↑ (en) Kumar, R., Husain, M., Gupta, R.K., Hasan, K.M., Haris, M., Agarwal, A.K., Pandey, C.M., & Narayana, P.A. (februari 2009). Serial changes in the white matter diffusion tensor imaging metrics in moderate traumatic brain injury and correlation with neuro-cognitive function. Journal of Neurotrauma 26 (4): 481–495. PMID 19196176. DOI: 10.1089/neu.2008.0461.
- ↑ (en) Melvin, J.W., & Lighthall, J.W. (2002). Accidental Injury: Biomechanics and Prevention. Springer, Berlin, 280–81. ISBN 0-387-98820-3.
- ↑ (en) McCrea, M. (2007). Mild Traumatic Brain Injury and Postconcussion Syndrome: The New Evidence Base for Diagnosis and Treatment (American Academy of Clinical Neuropsychology Workshop Series). Oxford University Press, New York. ISBN 978-0-19-532829-5.
- 1 2 (en) Mattson, A.J., & Levin, H.S. (1990). Frontal lobe dysfunction following closed head injury. A review of the literature. Journal of Nervous & Mental Disorders 178 (5): 282–291. DOI: 10.1097/00005053-199005000-00002.
- ↑ (en) Bayly, P.V., Cohen, T.S., Leister, E.P., Ajo, D., Leuthardt, E.C., & Genin, G.M. (2005). Deformation of the human brain induced by mild acceleration. Journal of Neurotrauma 22 (8): 845–856. PMID 16083352. PMC 2377024. DOI: 10.1089/neu.2005.22.845.
- ↑ (en) Cummings, J.L. (1993). Frontal-subcortical circuits and human behavior. Archives of Neurology 50 (8): 873–880. PMID 8352676. DOI: 10.1001/archneur.1993.00540080076020.
- 1 2 (en) McDonald, S., Flanagan, S., Rollins, J., & Kinch, J. (2003). TASIT: A new clinical tool for assessing social perception after traumatic brain injury. Journal of Head Trauma Rehabilitation 18 (3): 219–238. PMID 12802165. DOI: 10.1097/00001199-200305000-00001.
- ↑ (en) Basso, A., & Scarpa, M.T. (december 1990). Traumatic aphasia in children and adults: a comparison of clinical features and evolution. Cortex 26 (4): 501–14. PMID 1706973. DOI: 10.1016/s0010-9452(13)80300-0.
- ↑ (en) Mohr, J.P., Weiss, G.H., Caveness, W.F., Dillon, J.D., Kistler, J.P., Meirowsky, A.M., & Rish, B.L. (december 1980). Language and motor disorders after penetrating head injury in Viet Nam. Neurology 30 (12): 1273–9. PMID 7192808. DOI: 10.1212/wnl.30.12.1273.
- 1 2 (en) Barkley, J.M., Morales, D., Hayman, L.A., & Diaz-Marchan, P.J. (2006). Brain Injury Medicine: Principles and Practice. Demos Medical Publishing, "Static neuroimaging in the evaluation of TBI", 140–43. ISBN 1-888799-93-5.
- 1 2 3 4 5 (en) Anderson, V., Northam, E., Hendy, J., & Wrenall, J. (2002). Developmental Neuropsychology: A Clinical Approach. Psychology Press, Londen. ISBN 978-0-86377-705-9.
- 1 2 3 Kessels, R., Eling, P., Ponds, R., Spikman, J., Zandvoort, van, M. (2012). Klinische neuropsychologie. Uitgeverij Boom, Amsterdam. ISBN 9789461054449.
- 1 2 Ghajar, J. (September 2000). Traumatic brain injury. Lancet 356 (9233): 923–29. PMID 11036909. DOI: 10.1016/S0140-6736(00)02689-1.
- ↑ (en) Arlinghaus KA, Shoaib AM, Price TR (2005). Textbook of Traumatic Brain Injury. American Psychiatric Association, Washington, DC, "Neuropsychiatric assessment", 63–65. ISBN 1-58562-105-6.
- 1 2 3 4 5 (en) NINDS Traumatic Brain Injury Information Page. National Institute of Neurological Disorders and Stroke (15 september 2008). Gearchiveerd op 3 december 2016. Geraadpleegd op 4 maart 2017.
- ↑ (en) Kushner D (1998). Mild traumatic brain injury: Toward understanding manifestations and treatment. Archives of Internal Medicine 158 (15): 1617–24. PMID 9701095. DOI: 10.1001/archinte.158.15.1617. Gearchiveerd op 14 mei 2008. Geraadpleegd op 4 maart 2017.
- ↑ (en) (1998). Frontal lobe contributions to theory of mind. Journal of Cognitive Neuroscience 10 (5): 640–656. PMID 9802997. DOI: 10.1162/089892998562942.
- ↑ (en) Kim, E. (2002). Agitation, aggression, and disinhibition syndromes after traumatic brain injury. NeuroRehabilitation 17 (4): 297–310. PMID 12547978.
- ↑ (en) Busch, R. M., McBride, A., Curtiss, G., & Vanderploeg, R. D. (2005). The components of executive functioning in traumatic brain injury. Journal of Clinical and Experimental Neuropsychology 27 (8): 1022–1032. PMID 16207623. DOI: 10.1080/13803390490919263.
- 1 2 (en) Ponsford, J., Draper, K., & Schonberger, M. (2008). Functional outcome 10 years after traumatic brain injury: its relationship with demographic, injury severity, and cognitive and emotional status. Journal of the International Neuropsychological Society 14 (2): 233–242. PMID 18282321. DOI: 10.1017/S1355617708080272.
- ↑ (en) Williams C, Wood RL (maart 2010). Alexithymia and emotional empathy following traumatic brain injury. J Clin Exp Neuropsychol 32 (3): 259–67. PMID 19548166. DOI: 10.1080/13803390902976940.
- ↑ (en) Milders, M., Fuchs, S., & Crawford, J. R. (2003). Neuropsychological impairments and changes in emotional and social behaviour following severe traumatic brain injury. Journal of Clinical & Experimental Neuropsychology 25 (2): 157–172. DOI: 10.1076/jcen.25.2.157.13642.
- ↑ (en) Ownsworth, T. & Fleming, J. (2005). The relative importance of metacognitive skills, emotional status, and executive function in psychosocial adjustment following acquired brain injury. Journal of Head Trauma Rehabilitation 20 (4): 315–332. PMID 16030439. DOI: 10.1097/00001199-200507000-00004.
- ↑ (en) Dahlberg, C.A., Cusick, C.P., Hawley, L.A., Newman, J.K., Morey, C.E., Harrison-Felix, C.L., & Whiteneck, G.G. (2007). Treatment efficacy of social communication skills training after traumatic brain injury: A randomized treatment and deferred treatment controlled trial. Archives of Physical Medicine & Rehabilitation 88 (12): 1561–1573. PMID 18047870. DOI: 10.1016/j.apmr.2007.07.033.
- 1 2 (en) Salomone, J.P. & Frame, S.B. (2004). Trauma. McGraw-Hill, Medical Pub. Division, New York, "Prehospital care", 117–8. ISBN 0-07-137069-2.
- 1 2 Signs and Symptoms. Centers for Disease Control and Prevention, National Center for Injury Prevention and Control (7 juli 2007).
- ↑ Kluger, J, Dealing with Brain Injuries. Time Magazine, 6 april 2009, p. 57. Gearchiveerd op 26 augustus 2013. Geraadpleegd op 6 maart 2017.
- 1 2 3 Office of Communications and Public Liaison, Traumatic brain injury: Hope through research. NIH Publication No. 02-2478. National Institute of Neurological Disorders and Stroke, National Institutes of Health (Verenigde Staten) (februari 2002). Gearchiveerd op 18 december 2016. Geraadpleegd op 6 maart 2017.
