Hersenbloeding
| Hersenbloeding | ||||
|---|---|---|---|---|
![]() | ||||
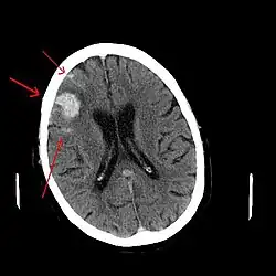
CT scan van een spontaan intracerebraal hematoom | ||||
| Coderingen | ||||
| ICD-10 ICD-9 |
I60.0-I62, S06 430-432, 850-854 | |||
| DiseasesDB | 6870 | |||
| MedlinePlus | 000796 | |||
| eMedicine | neuro/177 | |||
| MeSH | D020300 | |||
| ||||


Een hersenbloeding ontstaat als er een bloedvat in de hersenen openbarst. De oorzaak van een hersenbloeding is bijna altijd een barst in een aneurysma. Een aneurysma is een zwakke plek in een bloedvat. Die zwakke plek kan langzaam uitgroeien tot een ballonnetje. Als het aneurysma scheurt ontstaat er een bloeduitstorting of hematoom. Bij een hersenbloeding wordt een deel van het hersenweefsel met plasma-eiwitten en rode bloedcellen overspoeld, wat weefselsterfte tot gevolg heeft. Afhankelijk van de plaats van de bloeding is er een onderverdeling te maken.
De gevolgen van een hersenbloeding zijn vrijwel hetzelfde als die van een herseninfarct. Ze worden bijna altijd beschreven onder de noemer cerebrovasculair accident (CVA) of in de volksmond een beroerte. Een CVA is een acute medische aandoening waarbij er een plotselinge verstoring van de doorbloeding van de hersenen plaatsvindt. Een beroerte ontstaat ook door het verstopt raken van een bloedvat, wat veel meer voorkomt.
Intracerebraal hematoom
Intracerebraal hematoom is de medische aanduiding van een bloeding, waarbij het bloed zich in het hersenweefsel bevindt. Dit is de meest voorkomende hersenbloeding en deze treedt spontaan op. De gevolgen voor de patiënt zijn ongeveer hetzelfde als bij een herseninfarct. De belangrijkste oorzaak is hoge bloeddruk, dus hypertensie. Dit is de enige vorm die een echte 'hersenbloeding' mag heten.
Epiduraal hematoom
Bij een epidurale bloeding komt er bloed vrij buiten het harde hersenvlies, tussen het harde hersenvlies en de schedel, vaak met een trauma als oorzaak. Dit is vaak een slagaderlijke bloeding.
Subduraal hematoom
Bij een subduraal hematoom komt er bloed vrij tussen het spinnenwebvlies en het harde hersenvlies. Er bestaat hierbij een acute vorm en een chronische vorm.
Subarachnoïdale bloeding
Een subarachnoïdale bloeding ontstaat meestal als er een aneurysma, een uitstulping van een bloedvat, of vaatmisvorming, een arterioveneuze malformatie openbarst. Het bloed bevindt zich dan tussen het zachte hersenvlies en het spinnenwebvlies.
Behandeling
Er zijn twee neurochirurgische behandelingen om het aneurysma te behandelen:
- Coilen brengt een spiraaltje omhoog naar het aneurysma dat het gat opvult. Deze opvulling moet ervoor zorgen dat het aneurysma niet meer kan barsten.
- Bij clippen wordt een klemmetje op het bloedvat geplaatst. Dit klemmetje voorkomt dat er bloed in het aneurysma komt.
Literatuur (selectie)
- Mink van Rijsdijk moeder was weer erg in de war vandaag (1977; 6 maal herdrukt tot 1982)
.jpg)