Hangman's fracture
| Hangman's fracture | ||||
|---|---|---|---|---|
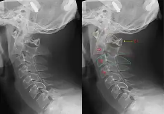
Röntgenfoto van de halswervelkolom met een hangman's fracture, hier ontstaan door een ongeval. Links zonder, rechts met annotatie. Duidelijk is te zien dat C2 (rode markering) naar voren is verschoven t.o.v. C3 (blauwe markering). | ||||
| Classificatie | ||||
| Specialisme | traumatologie, forensische geneeskunde | |||
| Lichaamsdeel | nek | |||
| Coderingen | ||||
| ICD-10 ICD-9 |
S12.1 805.02 | |||
| ||||
Een hangman's fracture[1] is een levensbedreigende dan wel dodelijke fractuur (breuk) van de tweede nekwervel die typisch is bij een ophanging. Ook kan een dergelijk type breuk optreden bij vallen, verkeers- en sportongevallen. Ondanks dat er dan geen sprake is van een verhanging, wordt toch deze term gebruikt.
De term werd voor het eerst gebruikt in 1965 door Schneider et al.[2] In dit artikel wordt de fractuur gedefinieerd als een breuk op enige plaats van de tweede nekwervel (ook wel axis of draaier genoemd).
Mechanisme
Dit type breuk wordt veroorzaakt door een plotselinge extreme overstrekking (hyperextensie) van de nek, eventueel ook gepaard gaande met een grote trekkracht langs de lengte-as van het lichaam. Door deze geweldsinwerking kan een breuk optreden in de axis (tweede halswervel). Daardoor kunnen nekwervels hun normale onderlinge samenhang verliezen en ten opzichte van elkaar gaan verschuiven, waarbij dan meestal de tweede nekwervel voorwaarts schuift ten opzichte van de derde. Daardoor kan het ruggenmerg ingeklemd of zelfs doorsneden worden: een hoog-cervicale dwarslaesie. Bij een dergelijk letsel treedt onmiddellijk een dodelijke verlamming op van het gehele lichaam inclusief de ademhalingsspieren, zodat het slachtoffer niet meer kan bewegen en dus ook niet ademen.
Een hangman's fracture hoeft echter niet altijd dodelijk te zijn. Het komt nogal eens voor dat iemand met een dergelijk letsel zelf een ziekenhuis in komt lopen en dat daar pas deze breuk wordt vastgesteld. Dit komt doordat de spieren rondom de nekwervels de neiging hebben om het wervelkanaal te verwijden. Een dodelijke complicatie treedt pas op als de energie die op de nek ingewerkt heeft, zo groot was dat deze sterker is dan de nekspieren; zoals het geval is bij opzettelijke ophangingen en hoog-energetische verkeersongevallen.
Verhanging
Een hangman's fracture kan optreden bij ophanging, in de situatie waarbij de knoop midden onder de kin van het slachtoffer wordt geplaatst, zodat de nek de genoemde hyperextensie krijgt, en waarbij de vrijkomende energie van de val groot genoeg is om de nek te breken.
Bij verhanging in geval van zelfmoord is dood door verstikking (afsluiting van halsaders, -slagaders en luchtpijp) echter verreweg de meest voorkomende doodsoorzaak. Door de (te) kleine valhoogte krijgt het lichaam onvoldoende snelheid om een nekwervel te breken, en meestal treedt niet de genoemde hyperextensie op doordat de knoop aan de zijkant van de nek zit en de nek niet recht naar achteren getrokken wordt maar opzij. Zelfs bij ophanging als doodstraf treedt maar in een klein percentage een hangman's fracture op.[3]
Bij een te grote valhoogte bestaat de kans op onthoofding doordat het lichaam te veel snelheid krijgt.
Ongevallen


De hangman's fracture als gevolg van een ongeval wordt voornamelijk veroorzaakt door valpartijen, voornamelijk bij oudere mensen, en ongevallen in het gemotoriseerd verkeer.[4] Bij verkeersongevallen wordt deze breuk met name veroorzaakt doordat iemand die geen veiligheidsgordel om heeft, met hoge energie met het hoofd tegen een voorwerp voor zich wordt gedrukt, zoals het stuur, het dashboard of de voorruit. In andere gevallen wordt deze breuk veroorzaakt door bijvoorbeeld een val voorover, duiken in te ondiep water waardoor men met het hoofd de bodem raakt, of bij contactsporten zoals American football of rugby, als twee personen hard tegen elkaar aan rennen of omlaag naar de grond duiken om een bal te grijpen waarbij iemand anders over hem heen valt of struikelt.
Behandeling
Een hangman's fracture kan zowel conservatief (zonder operatie) als operatief behandeld worden, afhankelijk van de situatie. In veel gevallen is de breuk stabiel en kan volstaan worden met tractie en/of externe immobilisatie door een nekkraag. In die situaties waarbij de breuk niet stabiel is, of waarbij het risico aanwezig is dat deze instabiel zal worden, is chirurgisch ingrijpen noodzakelijk.[5]
- ↑ Everdingen, J.J.E. van, Eerenbeemt, A.M.M. van den (2012). Pinkhof Geneeskundig woordenboek (12de druk). Houten: Bohn Stafleu Van Loghum.
- ↑ (en) R.C. Schneider, K.E. Livingston, A.J. Cave, G. Hamilton, '"Hangman's fracture" of the cervical spine.', in: Journal of Neurosurgery, februari 1965, nr. 22, pag. 141-154.
- ↑ (en) James R, Nasmyth-Jones R., "The occurrence of cervical fractures in victims of judicial hanging", Forensic Science International, 1992 Apr;54(1):81-91. Gearchiveerd op 25 januari 2022.
- ↑ (en) Ryan, MD.; Henderson, JJ. (1992). "The epidemiology of fractures and fracture-dislocations of the cervical spine". Injury. 23 (1): 38–40.
- ↑ (en) Xin-Feng Li, Li-Yang Dai, Hua Lu, Xiao-Dong Chen A, 'systematic review of the management of hangman’s fractures', in: European Spine Journal, maart 2006, nr. 15(3), pag. 257–269. Gearchiveerd op 12 februari 2023.