Botbreuk

Esculaap
Neem het voorbehoud bij medische informatie in acht.
Raadpleeg bij gezondheidsklachten een arts.
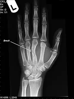
Handsbeenbreuk
Collesfractuur vanaf de buitenkant

Een botbreuk of fractuur is het onderbreken van de continuïteit van het bot. Het kan gaan om een scheur in het bot, maar ook het volledig in stukken gebroken zijn van het bot. Binnen de geneeskunde wordt het #-teken gebruikt als afkorting van fractuur.

Oorzaken

De oorzaken van botbreuken zijn onder te verdelen in twee grote categorieën. Enerzijds de fracturen ten gevolge van grote externe krachten, bijvoorbeeld door een ongeval, die op het bot uitgeoefend worden en waartegen het bot niet bestand is. Dit is een acute fractuur. Daarnaast bestaan ook fracturen die chronisch van aard zijn en veroorzaakt worden door herhaalde belasting van het desbetreffende bot. Deze stressfracturen komen vaak voor bij sporters. Anderzijds kan er een pathologie van het bot aanwezig zijn (bijvoorbeeld bij osteoporose of botmetastase), waardoor het bot zo broos wordt dat het breekt onder invloed van normale krachten zoals wandelen of rechtopstaan (pathologische fractuur). Een barst wordt technisch gezien als een breuk.

Indelingen

Breuklijnen

Afhankelijk van de soort kracht die aan de oorzaak lag van een breuk, ziet men dat de breuklijn verschillend is.

  • Flexiekracht op de dwarse lengte van het bot
→ dwarse breuk
→ schuine breuk
  • Rotatiekracht op het bot (bijvoorbeeld bij skiën wanneer het onderbeen vasthangt maar het lichaam nog een draaibeweging maakt)
→ helicoïdale (spiroïde) breuk
  • Compressiekracht (indrukking)
compressiefractuur of impactiefractuur (bijvoorbeeld wervels bij val)
→ impactie (indeuking van het bot wanneer hierop rechtstreeks een slag komt)
  • Trekkracht op ligament
avulsie (doordat het ligament meer trekkracht kan verdragen, zal eerder een stuk bot afscheuren dan het ligament)

Open versus gesloten

Een open breuk is een breuk waarbij het bot niet langer volledig omgeven is door de omliggende weke weefsels (als spieren, vet en huid), maar waarbij het bot rechtstreeks aan de buitenwereld bloot staat en dus kans heeft op infectie.
Een gesloten breuk is een breuk van het bot, waarbij huid en omliggend weefsel ononderbroken is gebleven. Het weke weefsel kan wel beschadiging hebben opgelopen, maar het bot staat niet rechtstreeks in verbinding met de buitenwereld.

Dit heeft tot gevolg dat een open breuk rechtstreeks in contact kan komen met kiemen die een infectie kunnen veroorzaken. Bijkomend probleem is dat het botweefsel maar weinig bevloeid wordt en dus slecht bestand is tegen besmetting. Het kan niet rekenen op de goede humorale verdediging vanuit het bloed. Een open breuk loopt dus een groot risico op infectie en dient dus steeds preventief behandeld te worden met antibiotica. Nog een laatste bijkomend probleem bij open botbreuken is de tragere botheling omdat er zich geen hematoom kan vormen. Dit belemmert de natuurlijke genezing, de genezing door callusvorming. Callusvorming is de natuurlijke manier, waarop een breuk in een bot weer dichtgroeit.

Bij beide typen breuken kan bloedverlies optreden als bijvoorbeeld het gebroken bot een bloedvat beschadigt. In het geval van een open breuk zal het bloed uit het lichaam vloeien via de wond; bij een gesloten breuk zal het bloed zich ophopen in het lichaamsdeel rond het gebroken bot. Met name bij het ontstaan van een slagaderlijke bloeding en bij de breuk van grotere botten (opperarmbeen, borstbeen, heupbeen, dijbeen) kan de levensbedreigende situatie shock optreden.

Endochondrale ossificatie bij een botbreuk

Complexiteit van de breuk

Een breuk kan enkelvoudig zijn, met andere woorden is er slechts één breuk in het botsegment.
Bij de meervoudige breuken onderscheidt men:

  • de bifocale breuken; dit zijn twee breuken in hetzelfde bot.
  • de multifocale breuken; minstens drie breuken in hetzelfde bot.
  • de comminutieve breuken; verbrijzeling van het bot met zeer veel fragmenten.

Een breuk kan ook articulair zijn; hierbij loopt de breuklijn door een gewricht. Deze breuk vraagt extra aandacht omdat de botstukken zeer nauwkeurig aan elkaar moeten groeien om beschadiging van het gewricht te vermijden door incongruentie van de gewrichtsoppervlakken.
Verder kan een breuk ook geassocieerde letsels (bijvoorbeeld vaat- of zenuwletsels) vertonen die bepalend zullen zijn voor de functionele prognose. Dit zijn de vooruitzichten betreffende de functie van het beschadigde lichaamsdeel.

Genezen

De actieve genezing kan op twee manieren geschieden:

  • Genezing per primam, met een orthopedische of chirurgische ingreep, waarbij de botstukken aan elkaar worden gezet (absoluut stabiele fixatie) met behulp van platen en schroeven.
  • Genezing per secundam, het bot natuurlijk laten genezen, maar het geblesseerde lichaamsdeel extra verzorgen. Hierbij vindt callusvorming plaats.

Vaak wordt een gipsverband aangebracht om de posities van de botstukken ten opzichte van elkaar te fixeren. Vaak is het nodig, om zelfs nadat het bot goed is genezen, te revalideren. Het kan dat de plaats om het bot, waar het gebroken is geweest, gevoelig blijft.

Zie ook

Zie de categorie Bone fractures van Wikimedia Commons voor mediabestanden over dit onderwerp.