Verstandskies

Tanden in volwassen gebit
Tanden in melkgebit
Afbeelding
Verstandskies
Verstandskies

De verstandskiezen in een volwassen gebit. In het melkgebit zitten geen verstandskiezen.

Portaal  Portaalicoon   Tandheelkunde
Een doorbrekende verstandskies 48 bij een 22-jarige vrouw
Alveolitis, ontstaan na het trekken van een verstandskies. Ook de hechtingen zijn hier nog zichtbaar
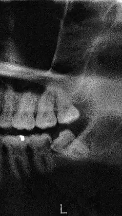
Een verstandskies die horizontaal geïmpacteerd was

De verstandskies (vooral gebruikelijk in Nederland) of wijsheidstand (algemeen Vlaams)[1] is een gebitselement bij de mens. Deze bevindt zich direct achter de tweede molaar en wordt dan ook wel de "derde molaar" genoemd.

In een normaal gebit is het de achtste tand vanaf het midden van de mond. In een normaal volwassen gebit bevinden zich in totaal vier verstandskiezen, één in elk kwadrant.

Naam

De verstandskiezen hebben hun naam te danken aan het feit dat ze pas opkomen met het bereiken van de volwassen leeftijd, de leeftijd waarop mensen ook verstandig zouden worden. In ouder Nederlands sprak men ook wel van wijsheidskies. In Vlaanderen is wijsheidstand het gangbare woord. Al deze benamingen gaan terug op het Latijnse dens sapientiae, 'tand der wijsheid', want veel medische termen zijn leenvertalingen uit het Latijn, dat lang de voornaamste wetenschapstaal was.

Door sommigen wordt beweerd dat de verstandskiezen zo worden genoemd omdat ze ver achter in de mond staan ("verstand" zou dan zijn afgeleid van "verre stand"), maar omdat al in het Latijn het verband werd gelegd tussen het verstand of wijsheid en de verstandskies, is deze verklaring onjuist.[2]

Ontwikkeling

Niet bij iedereen worden verstandskiezen gevormd en bij degenen die ze wel krijgen, groeien ze ook niet noodzakelijkerwijs alle vier. Wanneer een verstandskies niet gevormd wordt, spreekt men van agenesie van de verstandskies. Wanneer een verstandskies tijdens de doorbraak vastloopt door plaatsgebrek of een verkeerde doorbraakrichting, spreekt men van een geïmpacteerde verstandskies. Wanneer een verstandskies zonder aanwijsbare reden stokt in zijn doorbraak, spreekt men van een geretineerde verstandskies. Soms groeien er meer dan vier verstandskiezen.

Internationale tandnummering

Twee verstandskiezen
(28 en 38)

Om onduidelijkheid te voorkomen heeft elke tand in het menselijke gebit door de internationale tandnummering een nummer, gebaseerd op het kwadrant en de precieze plaats vanaf het midden. Voor de verstandskiezen zijn dit:

Rechtsboven: 18 Linksboven: 28
Rechtsonder: 48 Linksonder: 38

Pathologie van de verstandskies

De meest voorkomende pathologie bij de verstandskies is de pericoronitis. Het is een ontsteking van het tandvlees rond de tandkroon van een nog niet volledig uitgekomen verstandskies. Het wordt gekenmerkt door pijn, een beperkte mondopening en slikklachten.

Verwijdering van de verstandskiezen

Doordat de mens sinds de Industriële Revolutie steeds meer bewerkt voedsel is gaan eten, zijn de kaken bij veel mensen minder goed gaan groeien, waardoor er minder ruimte overbleef voor de verstandskiezen, die als laatste doorkomen.[3] Hierdoor zorgen de verstandskiezen tegenwoordig bij steeds meer mensen voor problemen wegens ruimtegebrek.[3]

Wanneer een verstandskies voor problemen zorgt, kan de tandarts de verstandskies verwijderen. Wanneer hij het verwijderen van een verstandskies als moeilijk beschouwt, zal hij de patiënt vaak doorverwijzen naar een kaakchirurg. Vaak zal van tevoren een röntgenfoto van de verstandskies gemaakt moeten worden om de wortelstructuur van de verstandskies te kunnen zien. Wanneer de kaakchirurg het besluit neemt, dan wordt de kies onder plaatselijke verdoving getrokken. In enkele gevallen wordt de verstandskies in twee of drie delen verwijderd. Wanneer de patiënt angst voor dit soort behandelingen heeft, dan kan diegene kiezen om de verstandskiezen onder sedatie te laten trekken. Dit gebeurt vaak poliklinisch. Een alternatief is de verstandskiezen onder narcose laten trekken, dit vereist wel een dagbehandeling of een opname in het ziekenhuis. Deze ingreep duurt maximaal een uur.

Enkele redenen om een verstandskies te verwijderen:

  • wanneer de verstandskies de kies ervoor aantast
  • bij chronische of terugkerende acute pericoronitis
  • wanneer de verstandskies carieus is
  • wanneer de verstandskies parodontaal is aangedaan
  • wanneer behandeling of mondhygiëne onmogelijk is, bijvoorbeeld doordat de verstandskies te ver achterin ligt
  • preventief, er wordt verwacht dat de verstandskies in de toekomst een van de bovengenoemde problemen zal geven.

Nabehandeling na verwijdering verstandskies

Over het algemeen kunnen na verwijdering van een verstandskies de volgende verschijnselen optreden:

  • zwelling van de wang
  • pijn
  • enig nabloeden
  • enige beperking van de mondopening
  • mogelijk enige temperatuursverhoging

De zwelling kan men beperken door zo snel mogelijk na de behandeling blokjes ijs of een ijskompres tegen de wang of lob te houden. Men doet dit 30 minuten lang zonder onderbreking. De zwelling zal na drie dagen het grootst zijn en na vijf dagen langzaam slinken (exclusief de dag van de behandeling).

Tegen napijn kan men pijnstillers nemen, bijvoorbeeld paracetamol of ibuprofen (welke eveneens ontstekingsremmend is). Men neemt deze bij voorkeur twee of drie uur na de behandeling, voordat de verdoving helemaal is uitgewerkt. Men gebruikt geen aspirine, Aspro of Chefarine. Deze verdunnen het bloed en dit is ongunstig voor nabloedingen.

Bij een nabloeding moet de mond eerst goed gespoeld worden met lauw water. Door zacht te bijten op een klein verbandgaas kan het bloeden gestopt worden (duurt ongeveer 45-60 minuten).

De wond kan worden ontzien door weinig hard voedsel te gebruiken. Melkproducten kunnen slechts met mate gebruikt worden: deze vergroten slijmvorming in de mondholte. Roken en alcohol zijn zeer slecht voor de genezing van de wond.

Men dient op de dag van de behandeling niet te spoelen en alleen de tanden ver van de wond vandaan te poetsen. De dag na de behandeling mogen ook de tanden en kiezen bij de wond voorzichtig gepoetst worden met een zachte tandenborstel, maar niet op eventuele hechtingen.

Na de maaltijden kan worden gespoeld met chloorhexidine 0,12% of lauw zout water om de wond schoon te houden. Commerciële spoelmiddelen, bijvoorbeeld listerine, zijn ongeschikt. In sommige gevallen geeft de arts een spuitje mee om de wond en hechtingen schoon te spuiten.

De hechtingen vallen er in de regel na 7 tot 14 dagen vanzelf uit.

Verhoging van de lichaamstemperatuur naar meer dan 39,5 graden of forse pijn na 10 dagen zijn ongewoon. In dit geval kan het beste contact worden opgenomen met de kaakchirurg of tandarts.

Controverse

Preventief verwijderen van verstandskiezen is in ontwikkelde landen een veel voorkomende behandeling zonder dat er voldoende overtuigend wetenschappelijk bewijs is dat deze behandeling ondersteunt.[4] In 2006 publiceerde de Cochrane Collaboration een literatuuronderzoek om het effect van preventieve verwijdering te bestuderen. Er was betrouwbaar bewijs dat preventieve verwijdering het later scheef zitten van snijtanden niet beïnvloedde. De auteurs suggereerden dat het aantal ingrepen met minstens 60% verminderd kan worden.[5] Andere onderzoeken komen tot soortgelijke conclusies.[4]

Verschillende gezondheidsorganisaties hebben dan ook opgeroepen tot terughoudendheid met het verwijderen van verstandskiezen. Zo raadt het Belgische Federaal Kenniscentrum voor Gezondheidszorg de preventieve verwijdering van gezonde verstandskiezen af met het argument dat het niet helpt scheefstand van de voortanden te voorkomen, terwijl de ingreep gepaard gaat met een kans op ernstige complicaties.[6] In het Verenigd Koninkrijk adviseert de National Institute for Health and Clinical Excellence dat geïmpacteerde verstandskiezen die ziektevrij zijn, kunnen blijven zitten.[7]

In de Verenigde Staten daarentegen adviseert de American Association of Oral and Maxillofacial Surgeons dat alle verstandskiezen preventief verwijderd worden op jonge leeftijd.[8] Dit suggereert dat aanbevelingen betreffende verwijdering sterk afhangen van het land waar de patiënt woont en dat commerciële belangen een rol spelen. In de VS is dit een grote industrie waar ieder jaar 3 miljard dollar uitgegeven wordt om jaarlijks 10 miljoen verstandskiezen te verwijderen bij circa 5 miljoen mensen.[4] Geschat wordt dat twee derde van deze ingrepen niet noodzakelijk zijn.[4] De American Public Health Assocation echter, bepleit terughoudendheid bij het verwijderen van de verstandskiezen met als belangrijkste argumenten dat veruit de meeste geïmpacteerde verstandskiezen zonder problemen kunnen blijven zitten, terwijl er bij het verwijderen ervan een reële kans bestaat op ernstige, soms permanente, complicaties.[9] Zo kunnen er zenuwen beschadigd raken waardoor permanente gevoelloosheid optreedt in lip, tong of wang, wat weer kan leiden tot kwijlen, geheel of gedeeltelijk niet meer kunnen proeven en problemen met praten. Volgens Amerikaans onderzoek gebeurt dit jaarlijks bij ongeveer 11.000 Amerikanen.[4]. Andere mogelijke complicaties zijn onder andere schade aan naastgelegen gebitselementen, gebroken kaak, ernstige bloedingen, schade aan kaakgewrichten en infecties.[4]

Zie ook

Noten en referenties

  1. Correct Nederlands en woordenboeken, VRTtaal.net
  2. Verstandskies (herkomst). Onze Taal. Genootschap Onze Taal. Geraadpleegd op 12 februari 2020.
  3. 1 2 (en) What teeth reveal about the lives of modern humans. What teeth reveal about the lives of modern humans. Geraadpleegd op 5 augustus 2019.
  4. 1 2 3 4 5 6 Jay W. Friedman, DDS, MPH (September 2007). The Prophylactic Extraction of Third Molars: A Public Health Hazard. American Journal of Public Health 97 (9): 1554–1559. Geraadpleegd op 4 november 2009.
  5. The Cochrane Collaboration (2005). Interventions for treating asymptomatic impacted wisdom teeth in adolescents and adults (John Wiley and Sons, Ltd). PMID 15846686. DOI: 10.1002/14651858.CD003879.pub2. Geraadpleegd op 30 november 2006.
  6. “Wijsheidstanden preventief trekken is overbodig”. hln.be. Geraadpleegd op 5 augustus 2019.
  7. Gearchiveerde kopie. Gearchiveerd op 5 januari 2010. Geraadpleegd op 28 januari 2010.
  8. https://web.archive.org/web/20100728221912/http://www.aaoms.org/wisdom_teeth.php
  9. Opposition to Prophylactic Removal of Third Molars (Wisdom Teeth). www.apha.org. Geraadpleegd op 1 december 2018.
Zie de categorie Wisdom teeth van Wikimedia Commons voor mediabestanden over dit onderwerp.