Kernicterus
| Kernicterus | ||||
|---|---|---|---|---|
![]() | ||||
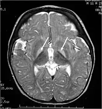
MRI van de hersenen. Hyperintense laesies van de basale kernen op T2-gewogen afbeeldingen. | ||||
| Coderingen | ||||
| ICD-11 | ||||
| DiseasesDB | 7161 | |||
| DOID | 2382 | |||
| MedlinePlus | 003243 | |||
| eMedicine | ped/1247 | |||
| MeSH | D007647 | |||
| ||||
Kernicterus[1] is een zeldzame aandoening waarbij de hersenen worden beschadigd als gevolg van een te hoog bilirubinegehalte in het bloed van baby's. Het woord kern in kernicterus verwijst naar de basale kernen in de hersenen. Deze kern speelt een belangrijke rol in het bewegen en het reageren op emoties. Een Engelse term die hiervoor gebruikt wordt is Bilirubin-Induced Neurologic Dysfunction (BIND). Induced betekent veroorzaakt door, Neurologic Dysfunction betekent dat de hersenen niet meer goed kunnen functioneren.
Oorzaken
Het brein van een zuigeling is nog niet effectief door een bloed-hersenbarrière beschermd, en de lever is nog niet in staat grote hoeveelheden bilirubine door conjugatie onschadelijk te maken. Bij abnormale bloedafbraak zoals bij resusantagonisme zal de bilirubine dan ook gemakkelijk de hersenen van een pasgeborene kunnen beschadigen, hierbij blijken de in de hersenstam gelegen kernen erg gevoelig. Resusantagonisme ontstaat als de moeder, antistoffen maakt tegen het bloed van het kind. Deze antistoffen veroorzaken bloedafbraak in de foetus en de pasgeborene. Voor de geboorte wordt het bilirubine dat hierbij ontstaat, door het lichaam van de moeder opgenomen, na de geboorte kan dit niet meer en kan een kernicterus ontstaan. In de eerste weken na de geboorte wordt de geelheid van kinderen goed in de gaten gehouden. Wanneer er wordt geconstateerd dat de kinderen te geel worden, krijgen ze een behandeling om kernicterus te voorkomen. Bij 2% van de voldragen pasgeborenen raakt de bilirubinewaarde boven de afgesproken grenswaarde, hierdoor is een behandeling nodig. Echter ligt dit percentage veel hoger bij te vroeg geborenen. Baby's met G6PD-deficiëntie lopen een verhoogd risico. Er wordt geschat dat in Nederland 1 op de 100.000-200.000 kinderen een mildere/ernstigere vorm van kernicterus heeft. De laatste jaren neemt het aantal kinderen met kernicterus weer toe in Nederland.
Kernicterus wordt veroorzaakt door een te hoge hoeveelheid van het stofje bilirubine. Een te hoge hoeveelheid aan bilirubine is schadelijk voor de bepaalde diepgelegen delen van de hersenen. Een van de delen die gevoelig is voor beschadiging is de globus pallidus. De globus pallidus is betrokken bij het reguleren van vrijwillige bewegingen.
Chronische gevolgen
Kinderen met kernicterus ontwikkelen zich langzamer dan hun leeftijdsgenootjes. Ze gaan later rollen, zitten, staan en lopen. De meesten leren dit allemaal wel. Ook is het zo dat kinderen vaak meer moeite hebben met de zogeheten fijne motoriek, zoals schrijven, tekenen en knippen. Kinderen die op jonge leeftijd kernicterus hebben doorgemaakt hebben een lagere spierspanning, waardoor ze slapper aanvoelen en ze moeten goed worden ondersteund bij het optillen. Daarbij komt dat door de lage spierspanning het erg moeilijk wordt om hun hoofd op te tillen.
Na het eerste levensjaar krijgt een deel van de kinderen te maken met een bewegingsstoornis, die dystonie wordt genoemd. Een bepaald lichaamsdeel gaat hierbij onbedoeld in een afwijkende stand staan. Vaak vindt dystonie meer in de armen dan in de benen plaats. De afwijkende stand van de arm geeft problemen met het eten, drinken en schrijven. Dystonie kan ook aanwezig zijn in de nek, daarbij gaat de nek in een gedraaide of gekantelde stand staan. Vaak kunnen kinderen met trucjes, zoals bijvoorbeeld het aanraken van de kin, ervoor zorgen dat de nek weer recht komt te staan. De afwijkende stand kan zorgen voor spierpijnklachten.
Een ander veel voorkomend probleem met bewegen is chorea. Hierbij maken de handen, armen of spieren in het gezicht of in de romp kleine schokkerige dansachtige bewegingen. Deze bewegingen kunnen kinderen niet tegenhouden. Een arm kan als gevolg van de chorea ineens uitschieten waardoor kinderen iets omstoten of een kras in hun schrift maken. Chorea in het gezicht kan zorgen voor problemen met eten, drinken en schrijven.
Overige gevolgen kunnen zijn:
- De kern van de gehoorzenuw (VIII) (achtste hersenzenuw) nervus vestibulocochlearis kan beschadigd raken waardoor een ernstige perceptieve slechthorendheid ontstaat of zelfs doofheid. Een klein deel van de kinderen is volledig doof geworden. Bij milde vormen kunnen kinderen de hoge tonen niet horen, maar de lage juist wel. Bij ernstigere vormen kunnen ze de lagere tonen ook niet horen. Dit geeft problemen met niet alleen het verstaan van de eigen, maar ook andermans stem. Daarbij komt dat het invloed heeft op de spraak-taalontwikkeling.
- Kinderen met kernicterus kunnen ook last hebben van trillende handen, waardoor eten, schrijven en drinken lastiger wordt.
- De kernen van de hersenzenuwen die de ogen besturen (III nervus oculimotorius (derde hersenzenuw),IV nervus trochlearis (vierde hersenzenuw) en VI nervus abducens (zesde hersenzenuw)) kunnen beschadigd raken. Hierdoor kunnen kinderen last hebben van slechtziendheid en kunnen ze moeite hebben om hun ogen goed te kunnen bewegen. Vooral het naar boven kijken kan lastig zijn, maar ook als de ogen zijdelingse bewegingen maken (het kijken naar rechts of links) kan voorkomen. Scheelzien komt regelmatig voor.
Bovendien hebben mensen die een kernicterus hebben doorgemaakt een verstandelijke beperking. Dit wordt vaak laat ontdekt omdat er niks mis is met hun intelligentie en ze zich goed kunnen uiten. Hierdoor worden ze vaak overschat.
Preventie
In Nederland wordt het bloed van de moeder tijdens de zwangerschap gecontroleerd op antistoffen. Indien nodig kan het ongeboren kind al voor de geboorte een foetale bloedtransfusie ontvangen. Als de moeder resusnegatief is en uit navelstrengbloed van de pasgeborene blijkt deze resuspositief te zijn, dan wordt de moeder anti-D toegediend. Door antistoffen tegen de resuspositieve bloedcellen die tijdens de geboorte van het kind in de bloedsomloop van de moeder zijn geraakt, toe te dienen, wordt voorkomen dat het lichaam van de moeder deze zelf aanmaakt wat bij een volgende zwangerschap problemen zou opleveren.
Behandeling
Als een pasgeborene te geel ziet, of onrijp is, wordt middels lichttherapie getracht het bilirubinegehalte binnen veilige grenzen te houden. Als dit niet mogelijk blijkt, wordt het bloed van het kind vervangen door bloed dat niet wordt afgebroken door de antistoffen, bijvoorbeeld door resusnegatief bloed (wisseltransfusie).
Referentie
- ↑ Schieving, JH, Kernicterus. Kinderneurologie. Gearchiveerd op 13 juni 2021. Geraadpleegd op 13 juni 2021.
