Hersentumor
| Hersentumor | ||||
|---|---|---|---|---|
![]() | ||||
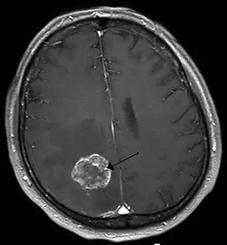
Afbeelding van een MRI-scan van een uitzaaiing van longkanker in de rechterhersenhelft (L=links, P=occipitaal, achterkant van het hoofd). | ||||
| Coderingen | ||||
| ICD-11 | ||||
| MedlinePlus | 007222 | |||
| MeSH | D001932 | |||
| ||||
Een hersentumor of intracranieel neoplasma ('nieuwgevormd weefsel binnen de schedel') is een goed- of kwaadaardige zwelling in het hoofd. Voorbeelden van goedaardige nieuwvormingen zijn het craniofaryngeoom en het meningeoom. Voorbeelden van kwaadaardige tumoren zijn het astrocytoom, en de uitzaaiingen van tumoren die oorspronkelijk buiten de schedel zijn ontstaan.
Goedaardige tumoren in andere delen van het lichaam zijn bijna nooit dodelijk, maar goedaardige hersentumoren, dat zijn zwellingen die zijn ontstaan in de hersenen, en niet uitzaaien in andere weefsels, kunnen dodelijk zijn. Dit heeft te maken met de centrale rol die de hersenen spelen in het aansturen van de verschillende lichaamsfuncties (homeostase). Een groeiende tumor drukt hersenweefsel weg, waardoor de hersenen bekneld raken. Hierdoor houden de hersenen langzamerhand op met functioneren, waardoor de patiënt uiteindelijk overlijdt. Een neurochirurg kan trachten de tumor te verwijderen, zonder de hersenen ernstig te beschadigen.
Als een hersentumor niet geheel operatief kan worden verwijderd, bijvoorbeeld omdat het geheel verwijderen te veel schade aan zou richten, kan met bestraling geprobeerd worden de tumor in omvang te verkleinen. Daarnaast wordt, met wisselend succes, geprobeerd via chemotherapie de tumor te verkleinen. Verder worden er nieuwe medicijnen ontwikkeld, die erop gericht zijn de vaatgroei in tumorweefsel te remmen. Een tumor wordt, net als gezonde weefsels, namelijk gevoed met voedingsstoffen die opgelost in het bloed worden aangevoerd.
Er zijn veel soorten hersentumoren; in lang niet alle gevallen overlijdt de patiënt. Wanneer bijvoorbeeld de tumor in de vierde hersenkamer zit, is deze bijna geheel operatief te verwijderen. Bovendien zijn er goedaardige hersentumoren die maar heel langzaam groeien. Kenmerkend voor hersentumoren is dat essentiële levensfuncties uitvallen, doordat tumorweefsel gezond hersenweefsel verdringt. Bijvoorbeeld het signaal dat je naar het toilet moet, het spreken, het begrijpen, het zicht of het evenwicht kunnen daardoor wegvallen. Een hersentumor kan tot mentale retardatie of een persoonlijkheidsverandering, bijvoorbeeld het frontale syndroom, leiden. In principe is een hersentumor in een eerder stadium beter operabel, maar de locatie van de tumor kan een grote rol spelen bij de mogelijkheden om te opereren.
