Herseninfarct
| Herseninfarct | ||||
|---|---|---|---|---|
![]() | ||||
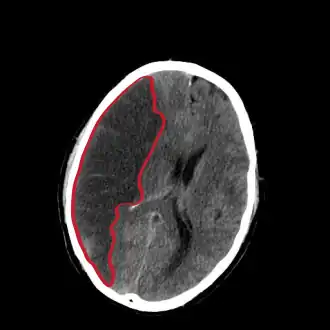
CT-beeld van een herseninfarct rechts (links op de afbeelding). Het donkere gebied is oedeem, met daarin (niet te onderscheiden) necrotisch weefsel. | ||||
| Coderingen | ||||
| ICD-11 | ||||
| OMIM | 601367 | |||
| DOID | 3526 | |||
| MeSH | D002544 | |||
| ||||
Een herseninfarct, in de volksmond ook wel beroerte genoemd, ontstaat door een blokkade van een bloedvat in de hersenen. Een deel van de hersenen wordt afgesneden van zuurstof en voedingsstoffen en gaat daardoor minder functioneren of sterft af.
Oorzaken
Herseninfarcten zijn grofweg in te delen in twee soorten:
- Trombo-embolisch
- Een trombo-embolie is de afsluiting van een deel van de slagaderlijke circulatie door een bloedprop (trombus) die is losgeschoten uit een ander deel van de circulatie, en die is vast komen te zitten in een slagader. De trombo-embolie kan zich in de hersenen zelf bevinden, maar ook in een ader die bloed naar de hersenen brengt. Als een bloedprop losschiet en een bloedvat in de hersenen blokkeert, ontstaat een infarct. Belangrijkste plaatsen waar de stolsels vandaan komen zijn de halsslagaderen (door aderverkalking aldaar) en het hart (door hartritmestoornissen, vooral bij atriumfibrilleren ('boezemfladderen') en door afwijkingen van de vorm van het hart (bv cardiomyopathie) of de kleppen.
- Atherosclerotisch
- Bij een atherotrombotische of -sclerotische beroerte is aderverkalking de boosdoener. Vetten hebben zich aan de binnenkant van de bloedvaten vastgezet. Hiervan kan een stukje afbreken. Als dit stukje een bloedvat in de hersenen blokkeert, treedt een infarct op. Risicofactoren zijn hoge bloeddruk (hypertensie), hoog cholesterolgehalte, hoge leeftijd, familiair voorkomen van hartvaatziekten, overgewicht, roken en suikerziekte (diabetes mellitus).
Diagnostiek
In de acute fase is een CT-scan van de hersenen nodig. De CT-scan zal in deze fase het infarct niet kunnen aantonen, maar dient om een hersenbloeding uit te sluiten. Pas als zeker is dat er geen bloeding is, kan begonnen worden met de trombolyse ter behandeling. Alleen als er twijfel is, kan voor een MRI worden gekozen, maar deze heeft als nadeel dat de beschikbaarheid minder groot is en dat het onderzoek langer duurt. Verder wordt altijd bloed afgenomen, wordt de bloeddruk geregeld gemeten en wordt een hartfilmpje (ECG) gemaakt. In de dagen na de beroerte wordt vaak een echo onderzoek (duplex) van de halsvaten gemaakt om vernauwingen (stenosen) aldaar op te sporen.
Behandeling
Behandeling valt in 2 delen uiteen: directe behandeling van het acute infarct (trombolyse en/of dotteren) en secundaire preventie ter voorkoming van nieuwe herseninfarcten en andere hart- en vaatziekten.
Trombolyse
Indien een patiënt met een herseninfarct (ruim) binnen 4.5 uur in het ziekenhuis aanwezig is en er geen medische bezwaren (contra-indicaties) zijn, kan een directe behandeling worden gegeven om het stolsel te proberen op te lossen. Er wordt dan na de onderzoeken op de spoedeisende hulp direct een medicijn gegeven, binnen 3 uur na ontstaan van de eerste klachten. Dit medicijn (r-tPA, actilyse®) kan helaas bijwerkingen hebben in de vorm van kleine maar ook ernstige bloedingen in de hersenen en elders in het lichaam. Bij zwangere vrouwen kan trombolyse negatief werken op de foetus. In sommige gevallen sterft deze, in andere gevallen worden deze geboren met een hartaandoening of vernauwing van de aorta. De kans op bijwerkingen op de foetus is echter klein. Bij elkaar heeft 1 op de 10 mensen baat bij trombolyse, en omdat het om veel herseninfarct patiënten per jaar gaat, is dit op landelijk (en mondiaal) niveau (kosten)effectief. Trombolyse kan bij iemand worden toegepast zonder toestemming van de patiënt zelf. De verzekering dekt in de meeste gevallen de lage kosten van een trombolyse-behandeling bijna voor de volle honderd procent. Het is onder andere daardoor een populair medicijn in de Verenigde Staten, waar velen onverzekerd zijn.
Dotteren
Uit onderzoek van een grote groep Nederlandse neurologen, radiologen en neurochirurgen in 19 ziekenhuizen, gedaan in 2014 onder 500 patiënten, blijkt dat een snelle behandeling om het verstopte bloedvat weer te openen door middel van een katheter hersenschade en daarmee een leven met ernstige beperkingen, kan voorkomen. Per jaar komen zo'n 2000 patiënten in Nederland voor deze behandeling in aanmerking.[1]
Secundaire preventie
Onafhankelijk of er nu wel of geen trombolyse is gegeven, zullen alle patiënten een behandeling krijgen ter preventie van nieuwe hart- en vaatziekten en herseninfarcten. Deze bestaat uit leefregels (afvallen, stoppen met roken, gezonde voeding, regelmatige lichaamsbeweging en matig met alcoholgebruik) en uit medicijnen. Bijna alle patiënten komen in aanmerking voor bloedverdunners in de vorm van bloedplaatjesremmers (carbasalaatcalcium = Ascal® en dipyridamol = Persantin®). Daarnaast zullen de meeste patiënten medicijnen krijgen om de bloeddruk en het cholesterolgehalte te verlagen, want recent onderzoek heeft laten zien dat ook bij licht verhoogde waarden het effectief is om deze naar beneden te krijgen. Bij een ernstige vernauwing van de halsslagader aan de kant van het herseninfarct van > 70% kan een operatie worden gedaan (carotisendarterectomie), deze ingreep is veel effectiever voor mannen dan vrouwen om nog onbekende redenen. Als er een specifieke stolselbron uit het hart is, worden meestal sterke bloedverdunners via de trombosedienst gegeven (orale anticoagulantia).
Gevolgen
Recent onderzoek laat zien dat 70% van de patiënten na een beroerte last heeft van cognitieve-, emotionele- en gedragsproblemen. Ongeveer 2 op de 5 patiënten ondervindt als gevolg van de beroerte minder of meer ernstige beperkingen bij het uitvoeren van algemene dagelijkse levensverrichtingen. Beroerte is daarmee een van de belangrijkste oorzaken van invaliditeit.
De gevolgen van een herseninfarct zijn afhankelijk van de plaats in de hersenen waar het infarct optreedt en de hoeveelheid hersenweefsel dat beschadigd is. In elk deel van de hersenen bevindt zich een ander "regelcentrum" voor bepaalde lichaamsfuncties, emoties en gevoelens. Naast hersenschade zoals het frontaal syndroom, verlamming (meestal halfzijdig), gevoelsstoornissen, gezichtsvelduitval (hemianopsie), slikstoornissen, taalstoornissen zoals afasie en spraakstoornissen zoals dysartrie is er vaak ook sprake van minder zichtbare gevolgen zoals vergeetachtigheid, depressiviteit en gedragsveranderingen. Er is nog weinig systematisch onderzoek gedaan naar de mate van herstel van cognitieve functies na een herseninfarct. Recente studies met een taaltest laten zien dat bij afasiepatiënten taalfuncties zoals het begrijpen en spreken van klanken evenals het begrijpen van woordbetekenissen en zinsstructuur zich in veel gevallen binnen enkele jaren goed blijken te herstellen.[2]
Al deze verschijnselen kunnen ook ontstaan na een hersenbloeding. Ze worden samen beschreven onder de noemer CVA (cerebrovasculair accident).
Beroerte is de derde doodsoorzaak in de Westerse wereld, na hartaandoeningen en kanker. Van alle patiënten met een beroerte overlijdt een derde binnen het eerste jaar na de beroerte. Ongeveer 10% van de patiënten krijgt opnieuw een beroerte in de loop van het eerste jaar.
Externe link
- ↑ Nieuwe behandeling herseninfarct voorkomt invaliditeit
- ↑ H. El Hachioui, et al. (2011) A 3-year evolution of linguistic disorders in aphasia after stroke. International Journal of Rehabilitation Research: September, Volume 34 - Issue 3 - p 215–221
- Neurologie. A.Hijdra. Elsevier/Bunge
- Handboek cerebrovasculaire aandoeningen. Franke & Limburg. Uitgeverij de Tijdstroom
