Granuloom
| Granuloom | ||||
|---|---|---|---|---|
![]() | ||||
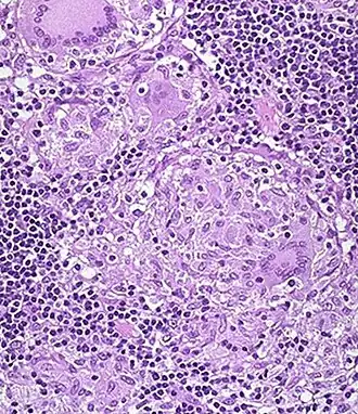
Een niet-necrotiserend granuloom van een patiënt met de Ziekte van Crohn, zoals dat er bij microscopisch weefselonderzoek uit kan zien. Linksboven tegen de rand een meerkernige reuscel | ||||
| Coderingen | ||||
| MeSH | D006099 | |||
| ||||
Een granuloom (meervoud granulomen) is een type ontstekingsreactie dat gezien kan worden bij histologisch onderzoek van weefsels. Het is een afgebakende opeenhoping van histiocyten (macrofagen). Granulomen ontstaan als een opruimreactie, bij deeltjes of micro-organismen die het lichaam niet goed kan verwerken. Een aantal andere kenmerken kunnen aanwezig zijn:
- Soms zijn er ook meerkernige reuscellen, die ontstaan door het vervloeien van een aantal histiocyten. Er ontstaat een grote cel met meerdere celkernen. Hiervan zijn weer verschillende types te onderscheiden, zoals vreemdlichaamstype en Toutonse reuscellen.
- Soms is er verkazing (necrose) centraal in het granuloom. Dit gebeurt onder andere bij tuberculose.
- Soms is er necrobiose: het verval van bindweefsel door de ontstekingsreactie. Dit gebeurt bijvoorbeeld bij necrobiosis lipoidica en granuloma anulare.
- Vaak zijn er behalve histiocyten ook lymfocyten en plasmacellen te vinden.
Ziektebeelden
- Als reactie op vreemd materiaal (vreemdlichaamsreactie): een gescheurde atheroomcyste, siliconen, talkpoeder, paraffine, berylliose.
- Auto-immuunziekte als de ziekte van Crohn, granulomatose van Wegener en het syndroom van Churg-Strauss komen ze voor. Waarschijnlijk zijn necrobiosis lipoidica en granuloma anulare ook auto-immuunziektes.
- Infecties met mycobacteriën, zoals tuberculose, lepra of bij langer bestaande syfilis of kattekrabziekte.
- Ziektebeelden als sarcoïdose en varianten daarvan.
Zie ook
- Granuloma teleangiectaticum: een bloedvat-gezwelletje, maar feitelijk geen granuloom.
