Endesmale ossificatie

Endesmale ossificatie of íntramembraneuze ossificatie is een van de twee essentiële processen tijdens de foetale ontwikkeling van het skelet bij kaakdieren, waarbij primair botweefsel wordt gevormd (met uitzondering van kraakbeenvissen zoals haaien). Endesmale ossificatie vindt vooral plaats bij de vorming van platte botten zoals de schedel en het schouderblad, evenals bij de verdikking van lange botten zoals het dijbeen en het opperarmbeen. Endesmale ossificatie is ook een essentieel proces tijdens de natuurlijke genezing van botbreuken[1] en de primaire vorming van de schedelbeenderen.[2]
In tegenstelling tot endochondrale ossificatie, wat het andere proces is waarbij botweefsel wordt gevormd tijdens de foetale ontwikkeling, is er geen kraakbeen aanwezig.
Vorming primair of gevlochten botweefsel

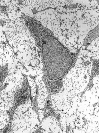
Het cellichaam van de mesenchymatische stamcel bevat een grote, ronde celkern met een prominente nucleolus, die wordt omgeven door fijn verspreide chromatinedeeltjes, waardoor de kern een helder uiterlijk krijgt. De rest van het cellichaam bevat een kleine hoeveelheid golgicomplexen, ruw endoplasmatisch reticulum, mitochondriën en polysomen. De cellen, die lang en dun zijn, zijn wijd verspreid, en in de aangrenzende extracellulaire matrix zitten enkele reticulinevezels, maar bevat geen andere soorten collageenfibrillen. Deze onderscheidende morfologische kenmerken van mesenchymatische stamcellen kunnen ongelabeld zichtbaar worden gemaakt met behulp van time-lapse microscopy.

Het proces van endesmale ossificatie begint wanneer een kleine groep aangrenzende mesenchymatische stamcellen begint te repliceren en een kleine, dichte cluster van cellen vormt. Zodra een dichte cluster is gevormd, stoppen deze mesenchymatische stamcellen met repliceren. Op dit punt beginnen morfologische veranderingen in de mesenchymatische stamcellen op te treden: het cellichaam is nu groter en ronder; de lange, dunne celuitlopers zijn niet langer aanwezig; en de hoeveelheid Golgi-apparaat en ruw endoplasmatisch reticulum neemt toe. Uiteindelijk ontwikkelen alle cellen in het dichte cluster zich tot osteogene cellen met de bijbehorende morfologische kenmerken.[1]

.jpg)
In dit stadium van ontwikkeling vinden er veranderingen plaats in de morfologie van de osteogene cellen: hun vorm wordt meer zuilvormig en de hoeveelheid Golgi-apparaat en ruw endoplasmatisch reticulum neemt toe. Uiteindelijk ontwikkelen alle cellen in de dichte cluster zich tot een osteoblast met de bijbehorende morfologische kenmerken. Vervolgens vormen de osteoblasten een osteoïd bestaande uit een extracellulaire matrix met type-I collageenfibrillen. De osteoblasten, terwijl ze de periferie van de dichte celmassa bekleden, blijven osteoïd vormen in het centrum van de dichte celmassa. Sommige osteoblasten worden opgenomen in de osteoïd om osteocyten te worden.[1]

Op dit punt wordt de osteoïd gemineraliseerd, wat resulteert in een dichte celmassa bestaande uit gemineraliseerd osteoïd dat osteocyten bevat en bekleed is met actieve osteoblasten. De dichte celmassa, dat begon als een diffuse verzameling mesenchymatische stamcellen, heeft zich ontwikkeld tot primair of gevlochten botweefsel bot, dat wordt gekenmerkt door een willekeurige organisatie van een complex netwerk van trabeculae en mechanisch zwak is, het meest primaire botweefsel.[1] Het primair of gevlochten bot onderscheidt zich duidelijk van het secundair of lamellair bot dat later bij volwassenen wordt waargenomen tijdens het bot-hermodelleringsproces.
Vorming secundair of lamellair botweefsel

De eerste stap in het proces van de vorming van secundair of lamellair botweefsel is de vorming van bottuberkels die uiteindelijk met elkaar fuseren tot trabeculae. Het beenvlies wordt gevormd en de botgroei gaat door op het oppervlak van de trabeculae. Net als tuberkels resulteert de toenemende groei van trabeculae in onderlinge verbindingen en dit netwerk wordt gevlochten bot genoemd. Uiteindelijk wordt gevlochten bot vervangen door lamellair bot. Lamellair botweefsel heeft een evenwijdige rangschikking van collagene vezels in parallelle of concentrische lamellen.
Vorming van tuberkels

Embryologische mesenchymale cellen vormen lagen van primitief bindweefsel met bloedvaten. Bepaalde mesenchymcellen groeperen zich, meestal in de buurt van of rond de bloedvaten, en differentiëren tot osteogene cellen die de bindweefselmatrix vormen. Deze matrix-aggregaten worden bottuberkels genoemd. Afzonderlijke mesenchymcellen differentiëren tot osteoblasten, die langs het oppervlak van de tuberkels gaan liggen en meer osteoïde afscheiden, waardoor de grootte van het tuberkel toeneemt.
Vorming van trabeculair bot
Naarmate de bottuberkels blijven groeien, fuseren ze met aangrenzende bottuberkels wat resulteert in de vorming van trabeculae. Wanneer osteoblasten vast komen te zitten in de matrix die ze afscheiden, differentiëren ze tot osteocyten. Osteoblasten blijven op het oppervlak zitten, waardoor de grootte toeneemt. Naarmate de groei doorgaat, raken trabeculae met elkaar verbonden en wordt trabeculair bot gevormd. De term primaire spongiosa wordt ook gebruikt om te verwijzen naar het initiële trabeculaire netwerk.
Primair centrum van ossificatie
Het beenvlies wordt gevormd rond de trabeculae door differentiërende mesenchymcellen. Het primaire centrum van ossificatie is het gebied waar botgroei plaatsvindt tussen het beenvlies en het bot. Botgroeicellen die afkomstig zijn van het beenvlies vormen een botkraag. De botkraag wordt uiteindelijk gemineraliseerd en er wordt lamellair bot gevormd.
Vorming van osteonen
Osteonen zijn buisvormige delen van compact bot. Tijdens de vorming van bottuberkels, verbinden cytoplasmatische uitlopers van osteoblasten zich met elkaar. Dit worden de haardunne kanaaltjes (canaliculi) van de osteonen. Omdat bottuberkels de neiging hebben zich te vormen rond een bloedvat, wordt de ruimte rondom het bloedvat sterk verminderd naarmate het bot groeit. Wanneer vervanging naar compact bot plaatsvindt, wordt het centrale kanaal (kanaal van Havers) van het osteon gevormd van waaruit omliggende osteocyten worden gevoed. Het kanaal bevat een of meer bloedvaten, zenuwen en wat losmazig bindweefsel. De concentrische lamellen liggen gerangschikt rond dit kanaal.
Zie ook
Dit artikel of een eerdere versie ervan is een (gedeeltelijke) vertaling van het artikel Intramembranous ossification op de Engelstalige Wikipedia, dat onder de licentie Creative Commons Naamsvermelding/Gelijk delen valt. Zie de bewerkingsgeschiedenis aldaar.
- 1 2 3 4 Brighton, Carl T., Robert M. Hunt (1991). Early histological and ultrastructural changes in medullary fracture callus. Journal of Bone and Joint Surgery 73-A (6): 832-847.
- ↑ Netter, Frank H. (1987). Musculoskeletal system: anatomy, physiology, and metabolic disorders. Ciba-Geigy Corporation, Summit, New Jersey, p. 129. ISBN 0-914168-88-6.