Alfa-1-antitrypsinedeficiëntie
| Alfa-1-antitrypsinedeficiëntie | ||||
|---|---|---|---|---|
![]() | ||||
| Coderingen | ||||
| ICD-11 | ||||
| OMIM | 107400 | |||
| DiseasesDB | 434 | |||
| DOID | 13372 | |||
| MedlinePlus | 000120 | |||
| eMedicine | med/108 | |||
| MeSH | D019896 | |||
| ||||
Alfa-1-antitrypsinedeficiëntie of alfa-1-proteïnase-inhibitordeficiëntie, ook wel AATD, alfa-1, of A1AT-tekort genoemd, is een ondergediagnosticeerde erfelijke metabole stoornis, die zowel kan leiden tot longziekten bij volwassenen en leverziekten bij zowel kinderen als volwassenen, als in zeldzame gevallen tot een welbepaalde huidziekte (panniculitis). De aandoening wordt vaker gevonden bij Asjkenazische Joden[1] en Europeanen.
Het genetische defect bij AAT-deficiëntie verandert de configuratie van het alfa-1-antitrypsine (AAT)-molecuul en voorkomt de vrijstelling ervan uit de lever. Hierdoor vermindert de serumconcentratie van AAT. Dit leidt ook tot een lagere alveolaire concentratie, waar AAT bescherming biedt tegen proteases. Als gevolg van de verminderde bescherming raken de wanden van de longblaasjes beschadigd en leidt dit tot emfyseem. De ophoping van AAT in de hepatocyten kan ook schade veroorzaken aan de lever en leiden tot levercirrose en leverfalen.
De ernst en de vorm van de aandoening kan bij AAT-deficiënte personen sterk variëren. Niet alle patiënten met een AAT-tekort vertonen symptomen maar bij diegenen die klinische emfyseem en cirrose ontwikkelen is de mortaliteit hoog. De behandeling bestaat uit het stoppen met roken, bronchodilatoren en fysische revalidatietherapie. Sommige patiënten hebben baat bij de intraveneuze aanvulling van AAT.
Alfa-1-antitrypsine (AAT)
AAT is een protease-inhibitor uit de familie van de serpines en wordt beschouwd als de klinisch belangrijkste protease-inhibitor. De meeste serpines inactiveren enzymen door een covalente binding aan te gaan met het desbetreffende enzym. Dit werkingsmechanisme vereist relatief hoge concentraties om werkzaam te zijn. In de acute fase van een ontstekingsreactie is een verdere stijging van de hoeveelheid protease-inhibitor noodzakelijk om de schade te beperken die door de geactiveerde neutrofiele granulocyten en hun vrijgestelde enzymen kunnen veroorzaakt worden.
AAT heeft een kenmerkende secundaire structuur bestaande uit bèta-sheets en alfahelices. Mutaties in deze regio's kunnen leiden tot niet functionele proteïnes die kunnen polymeriseren en accumuleren in de levercellen (bijvoorbeeld levercirrose bij kinderen).
AAT heeft zijn naam te danken aan de eigenschap zich in vitro blijvend (covalent) te binden (en daardoor het ook inactiveren) aan het enzym trypsine. De term alfa-1 verwijst naar de plaats waar het proteïne terug te vinden is bij een gel-elektroforese van de bloedeiwitten.
AAT bestaat uit een enkele streng glycoproteïne van 394 aminozuren.
Voorkomen
Het is een van de meest voorkomende ernstige erfelijke aandoeningen in de blanke populatie, met ongeveer 1 tot 2 gevallen per 5000 personen. De ziekte kan voorkomen in alle bevolkingsgroepen maar komt het meest voor in individuen van Europese afkomst. Wereldwijd zijn er ongeveer 117 miljoen dragers en 3,4 miljoen zieken. Er is een grote variabiliteit in zowel de vorm als de ernst van de aandoening, die kan gaan van asymptomatisch tot levensbedreigende ziekte. De specifieke mortaliteit en morbiditeit zijn onbekend. Niet iedereen met een homozygote deficiëntie ontwikkelt emfyseem of cirrose maar bij wie deze ziektebeelden zich ontwikkelen is de overlijdensgraad hoog.
AATD heeft een bimodale leeftijdsverdeling op vlak van symptomen. Bij pasgeborenen veroorzaakt het vaak geelzucht en het is de hoofdoorzaak van levertransplantaties bij kinderen. De luchtwegaandoeningen komen vaak pas tot uiting tegen de leeftijd van 50 of 60 jaar behalve bij rokers vanaf 40 jaar. De kans op het ontwikkelen van een leverziekte stijgt met de leeftijd.
Geschiedenis
A1AD was voor het eerst ontdekt in 1963 door Carl-Bertil Laurell (1919-2001) en Sten Eriksson aan de universiteit van Lund, Zweden. Ze ontdekten de afwezigheid van de α1 band in een proteïne elektroforese bij vijf stalen van de in totaal 1500 patiënten. Drie van deze personen ontwikkelden emfyseem op jonge leeftijd. Het verband met leverziekte werd zes jaar later door Harvey Sharp et al. beschreven.
Diagnose
De symptomen van het door AATD veroorzaakte emfyseem beperken zich tot de luchtwegen en zijn initieel vrij algemeen. Hoest, verhoogde slijmproductie en wheezing komen afwisselend voor. Hierdoor wordt vaak de foutieve diagnose astma of luchtweginfectie gegeven.
Vervolgens ontwikkelt er zich een progressieve dyspneu of kortademigheid als voornaamste klacht. Eerst alleen bij een zware inspanning maar in een later stadium constant en kan zuurstoftoediening noodzakelijk zijn.
Vaak is het pas na het optreden van een verslechterende kortademigheid dat een diagnose gesteld wordt. De meeste patiënten hebben dan reeds over een tijdspanne van verscheidene jaren verschillende artsen geraadpleegd zonder tot een diagnose te komen. Het interval tussen het eerste optreden van de symptomen en een uiteindelijke diagnose is gemiddeld meer dan vijf jaar. Bij patiënten met een licht emfyseem worden vaak amper abnormale bevindingen gedaan tijdens een lichamelijk onderzoek.
De bepaling van de concentratie AAT in het bloed is een vrij eenvoudige bloedtest die waarschijnlijk te weinig gebruikt wordt. Slechts een minderheid van de AAT-deficiënte patiënten heeft reeds een correcte diagnose gekregen. Hoe vroeger de diagnose gesteld kan worden, hoe sneller maatregelen als stoppen met roken kunnen genomen worden.
Pathofysiologie

Bij gezonde personen beschermt AAT de alveolaire wand tegen de gevolgen van de constante inhalatie van pathogenen. Deze pathogenen lokken een cellulaire immuunreactie op. Dit gaat gepaard met de lokale vrijzetting van proteases. De aanwezigheid van AAT beschermt de longen van een te grote proteasewerking. Het verstoorde evenwicht tussen protease en antiprotease bij AAT-deficiënte personen leidt tot een verhoogde en ongecontroleerde neutrofiele elastasewerking. Dit elastase breekt de elastine en collageen af in de wanden van de longblaasjes. Dit komt tot uiting als een progressief emfyseem.
Apoptose speelt ook een belangrijke rol in pathogenese van emfyseem. Recent onderzoek wijst uit dat AAT mogelijk de alveolaire apoptose inhibeert en beschermt tegen emfyseem in de afwezigheid van een neutrofiele inflammatie.
Het roken van tabak versnelt het optreden van de symptomatische ziekte met ongeveer 10 jaar. De schadelijke rook verhoogt het aantal neutrofielen in de longblaasjes, wat de antiprotease werking bij reeds AAT-deficiënte personen verder verlaagt. Naast de verhoogde ontstekingsreactie inactiveert tabaksrook ook rechtstreeks A1AT door middel van oxidatie van bepaalde methionineresiduen. Andere factoren die volgens hetzelfde werkingsprincipe bijdragen aan een versneld ziekteverloop zijn naast infecties ook de (herhaaldelijke) blootstelling aan stofdeeltjes of andere luchtverontreiniging.
Erfelijkheid
De productie van AAT wordt gereguleerd door genen op de protease-inhibitorlocus. Het SERPINA1 gen dat codeert voor A1AT, gelegen op chromosoom 14, is sterk variabel en kent meer dan 100 mogelijke verschillende allelen. Deze varianten worden ingedeeld op basis van de AAT-serumconcentratie. Het M-allel komt het meest voor (90%) en geven een normale AAT-concentratie (20-53 µmol/L of 150–350 mg/dL). De meeste patiënten met de klinische ziekteverschijnselen zijn homozygoot SS of ZZ of minder frequent heterozygoot MS, MZ of SZ.
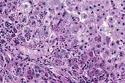
De meest voorkomende vorm van AAT-deficiëntie is ten gevolge van de Z-variant. Homozygote PiZZ-personen hebben 3-7 µmol/L AAT in hun bloed terwijl een minimum van ongeveer 11 µmol/L noodzakelijk is om de longen te beschermen. Emfyseem ontwikkelt zich bij de meeste personen met een serumconcentratie lager dan 9 µmol/L. Deze personen maken dus veel kans om reeds op jonge leeftijd emfyseem te ontwikkelen. De fout geconfigureerde AAT hoopt op in de levercellen en veroorzaakt onherstelbare schade zoals cirrose. Een biopsie van de lever zal in dat geval kenmerkende PAS-positieve granules aantonen.
Andere allelen die een ernstige deficiëntie veroorzaken zijn de zeldzamere PiSZ, PiZ/Null, en PiNull. Het S-gen komt vaker bij personen van Spaanse of Portugese afkomst terwijl de frequentie van het Z-gen het hoogst is bij personen van West-Europese afkomst. Het null-gen is het zeldzaamst, deze personen produceren helemaal geen AAT. Dit geeft een zeer groot risico op emfyseem (100% tegen de leeftijd van 30 jaar) maar geen leveraandoeningen wegens het volledig ontbreken van de productie van AAT in de levercellen en aldus ook geen ophoping ervan.
Dragers van de ziekte zijn heterozygoot (MZ, MS of M/Null) en hebben ten minste 35% van de normale serumconcentratie. Dit geeft een afdoende bescherming en deze personen ontwikkelen de ziekte dan ook niet. Bij individuen met PiSS en PiSZ fenotypes is de AAT-hoeveelheid vaak met 50 tot 70% afgenomen. Deze hoeveelheid biedt meestal ook voldoende bescherming wanneer er niet gerookt wordt.
AATD wordt autosomaal recessief overgeërfd. Dit wil zeggen dat als de beide ouders heterozygoot (drager) zijn (PiMZ) dan hebben de kinderen 25% kans op de aandoening (PiZZ), 50% kans om zelf heterozygote drager(PiMZ) te zijn zonder ziek te zijn en 25% kans om geen drager te zijn (PiMM). Wanneer een van de ouders de aandoening heeft (PiZZ) en de andere ouder is drager dan zal de helft van de kinderen de aandoening zelf hebben en de andere helft zal drager zijn. Als één ouder de aandoening heeft (PiZZ) maar de andere ouder geen drager is (PiMM) dan zullen alle kinderen drager zijn van AATD maar de ziekte zelf meestal niet ontwikkelen.
Behandeling
De behandeling richt zich vooral op het verminderen van de inflammatoire stimuli met betrekking tot de longen. Dit houdt eerst en vooral in stoppen met roken. Geen enkele andere behandeling heeft een even groot positief effect op het ziekteverloop als het stoppen met roken. Het adequaat behandelen van astma en luchtweginfecties verlaagt ook de blootstelling aan neutrofiele elastase. Preventief kan men best zich laten vaccineren tegen het griepvirus en tegen pneumokokken die longontsteking veroorzaken. De toediening van bronchodilatoren als β2-mimetica of anticholinergica verbeteren de longfunctie en verlichten de klachten als dyspneu. Over hun effect op langere termijn specifiek bij AATD-patiënten is nog onvoldoende bekend.
Patiënten met AATD die duidelijk tekenen van emfyseem ontwikkelen kunnen ook behandeld worden met een wekelijkse intraveneuze aanvulling van AAT. Deze uit menselijk bloed gewonnen en gezuiverde plasmaproteïne vult het tekort dat deficiënte personen hebben aan en kan zo bescherming geven tegen verdere achteruitgang van de longfunctie.
Zie ook
- ↑ Ashkenazi Jewish diseases genetic testing | Asper Biogene. Gearchiveerd op 10 april 2021.
