Acute respiratory distress syndrome
| Acute respiratory distress syndrome | ||||
|---|---|---|---|---|
![]() | ||||
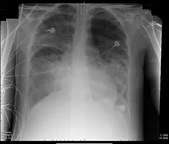
Röntgenfoto van een patiënt met ARDS | ||||
| Coderingen | ||||
| ICD-11 | ||||
| DiseasesDB | 892 | |||
| DOID | 11394 | |||
| MedlinePlus | 000103 | |||
| eMedicine | med/70 | |||
| MeSH | D012128 | |||
| ||||
Acute respiratory distress syndrome (ARDS, ook adult respiratory distress syndrome[1] of shocklong) is een levensbedreigende plotselinge ontstekingsreactie in de longen waarbij zich vocht ophoopt dat zuurstofopname bemoeilijkt.
ARDS ontstaat op nog onbekende wijze ten gevolge van een ernstige ziekte van de longen zelf (bijvoorbeeld een longontsteking), of een ziekte elders in het lichaam. Door de ontstekingsreactie treden vocht, eiwitten en ontstekingscellen uit de longbloedvaten in het longweefsel. Hierdoor wordt de overdracht van zuurstof vanuit de longen naar het bloed bemoeilijkt, waardoor een tekort aan zuurstof in het bloed (hypoxemie) ontstaat. Op een röntgenfoto van de longen zijn in beide longen zogenoemde consolidaties te zien: opeenhopingen van vocht, cellen en afvalmateriaal.
Belangrijkste oorzaken van ARDS
- Sepsis ('bloedvergiftiging')
- Ernstige verslikking (aspiratie)
- Longontsteking
- Verdrinking
- Rookinhalatie
- inademing van gevaarlijke stoffen zoals chloor in nevel vorm
- Ernstig ongeval (trauma)
- Bloedtransfusie van veel bloedproducten
- Vetemboliesyndroom
- Beademing (shear stress, barotrauma)
- Malaria
- Coronavirussen (SARS, MERS, SARS-CoV-2)
Behandeling van ARDS
ARDS is een reactie van de longen op een ernstige onderliggende aandoening. De meeste gevallen van ARDS ontstaan dan ook en dienen in ieder geval te worden behandeld op een intensivecareafdeling.
In het overgrote deel van de gevallen is beademing met een beademingsmachine noodzakelijk om een voldoende zuurstoftoevoer te garanderen. Beademing dient om de patiënt in leven te houden zodat ARDS de tijd heeft om te genezen. Er zijn geen medicamenten voorhanden om een ARDS te behandelen.
Ook beademing kan ARDS veroorzaken, in stand houden of verergeren. De beademing dient dan ook met de grootste zorgvuldigheid te worden uitgevoerd. De sterfte ten gevolge van ARDS is de laatste jaren, door verbeterde beademingstechnieken, enigszins afgenomen maar is nog altijd rond de 30%.
