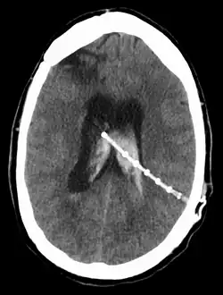
Ventrikeldrain

Een ventrikeldrain is een drain of shunt (kunststof afvoerbuisje) in de ventrikels van de hersenen en wordt door een neurochirurg geplaatst in de steriele omgeving van een operatiezaal. De functie van de ventrikeldrain is tweeledig. Enerzijds kan men via deze drain de druk van het hersenvocht meten. Anderzijds kan men, indien nodig, bij overdruk ventrikelvocht draineren (afvoeren) in een recipiënt (zakje, bakje, holte) om zo de hersenen meer ruimte te geven en de druk van het hersenvocht op de hersenen te verminderen. De tip van de ventrikeldrain bevindt zich in de ventrikels, in het midden van de hersenen. Normale menselijke hersenen bevatten vier ventrikels, meestal bevindt een ventrikeldrain zich in de derde en grootste ventrikel.
Indicatie
Er zijn verschillende indicaties voor het plaatsen van een ventrikeldrain zoals een ruimte-innemend proces (bloeding, tumoraal proces) en zware neurotraumata waarbij de hersenen beginnen te zwellen (hersenoedeem) en inklemming dreigt. Na het plaatsen van een ventrikeldrain is verdere observatie in een intensievezorgafdeling noodzakelijk.
Verzorging
Een ventrikeldrain dient dagelijks ontsmet te worden met een alcoholisch ontsmettingsmiddel (in samenspraak met de neurochirurg). Hoewel een verband op het hoofd aanbrengen niet evident is wordt dit toch aangeraden. Dit kan niet doordat de drain in het hoofd zit, je moet oppassen op infecties.
Ventriculoperitoneale drain
Een toepassing van een ventrikeldrain is de VPD (ventriculoperitoneale drain(age), VP-drain) bij een waterhoofd (hydrocefalus) waarbij een kunststof buisje (drain of shunt) met ventiel van een hersenventrikel naar de buikholte wordt aangelegd voor permanent gebruik zodat overtollig hersenvocht (liquor) wordt afgevoerd en vergrote ventrikels tot normale afmetingen kunnen slinken. Deze operatie (neurochirurgie) duurt ongeveer 2 uur, daarna is nog minstens één ligdag in het ziekenhuis nodig. Dit type drain wordt na de operatie niet meer ontsmet maar moet in tegendeel na een herstelperiode van bijvoorbeeld 6 weken de patiënt in staat stellen normaal te functioneren, zij het dat deze niet meer mag diepzeeduiken of bungeejumpen.[1][2][3]
Heling van chirurgische wonden voor de ventriculoperitoneale drain
Hoofdwond op dag 6
Buikwond op dag 12
Hoofdwond op dag 15, hechtingen zojuist verwijderd
Buikwond op dag 15, hechtingen zojuist verwijderd
- ↑ Uitvoerige informatie voor patiënten over het waterhoofd van het Neurochirurgisch Centrum Nijmegen van Radboud Ziekenhuis Nijmegen en Canisius Wilhelmina Ziekenhuis, geraadpleegd op 7 mei 2018
- ↑ Universitair Ziekenhuis Leuven Ventriculoperitoneale shunt, geraadpleegd op 7 mei 2018
- ↑ VUMC Ventriculo-peritoneale drain bij kinderen, geraadpleegd op 7 mei 2018