Syndroom van Peutz-Jeghers
| Syndroom van Peutz-Jeghers | ||||
|---|---|---|---|---|
![]() | ||||
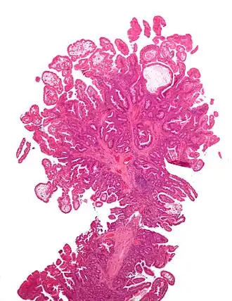
een peutz-jegherstype poliep uit de darm op kleine vergroting | ||||
| Synoniemen | ||||
| Latijn | polyposis adenomatosa gastrointestinalis generalisata heredofamiliaris[1] polyposis adenomatosa gastrointestinalis heredofamiliaris[2] | |||
| Nederlands | peutz-jegherssyndroom[4] | |||
| Coderingen | ||||
| ICD-11 | ||||
| OMIM | 175200 | |||
| DiseasesDB | 9905 | |||
| DOID | 3852 | |||
| MedlinePlus | 000244 | |||
| eMedicine | med/1807 | |||
| MeSH | D010580 | |||
| ||||
Het syndroom van Peutz-Jeghers[4][5] is een zeldzaam erfelijk syndroom dat wordt gekenmerkt door poliepen verspreid door het gehele spijsverteringskanaal en door kleine bruine pigmentvlekjes op het slijmvlies van de mondholte, rond de lippen, op het gezicht, de geslachtsdelen en de handpalmen. De poliepen zitten in 25% van de gevallen in de maag, in 30% in de dikke darm en in 100% in de dunne darm. De poliepen zijn geheel onschuldig, maar het syndroom geeft ook een verhoogde kans op kanker, onder andere van de borst, long en eierstokken.
De aandoening werd in 1921 beschreven door de Nederlandse internist Jan Peutz (1886-1957). Nadat Harald Jeghers en medewerkers in 1949 over dit syndroom schreven in een gerenommeerd Amerikaans medisch tijdschrift, spreekt men van het syndroom van Peutz-Jeghers.
- Kumar et al.; Robbins and Coltran Pathologic Basis of Disease, 7e druk, Elsevier, Philadelphia 2005.
- dr. T. Beijer en dr. C.G.L. Apeldoorn. Woordenboek van medische eponiemen. Bohn Stafleu Van Loghum, 2de druk, 1998.
- ↑ Everdingen, J.J.E. van, Klazinga, N.S., Pols, J. & Eerenbeemt, A.M.M. van den (1998). Pinkhof Geneeskundig woordenboek (10de druk). Houten/Diegem: Bohn Stafleu Van Loghum.
- ↑ Leflot-Soetemans, C. & Leflot, G. (1975). Standaard Geneeskundig woordboek Frans-Nederlands. Antwerpen-Amsterdam: Standaard Uitgeverij.
- ↑ Reuter, P. (2007). Springer Klinisches Wörterbuch. Heidelberg: Springer Medizin Verlag.
- 1 2 Everdingen, J.J.E. van, Eerenbeemt, A.M.M. van den (2012). Pinkhof Geneeskundig woordenboek (12e druk). Houten: Bohn Stafleu Van Loghum.
- ↑ Jochems, A.A.F. & Joosten, F.W.M.G. (2003). Coëlho Zakwoordenboek der geneeskunde (27ste druk). Doetinchem: ElsevierGezondheidszorg.
