Pleuraal empyeem
| Pleuraal empyeem | ||||
|---|---|---|---|---|
![]() | ||||
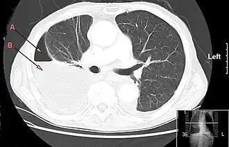
CT-thorax laat een grote rechtszijdige hydro-pneumothorax zien, ontstaan door empyeem. Pijl A: lucht, B: vocht | ||||
| Coderingen | ||||
| ICD-11 | ||||
| DiseasesDB | 4200 | |||
| DOID | 3798 | |||
| MedlinePlus | 000123 | |||
| eMedicine | med/659 | |||
| MeSH | D016724 | |||
| ||||
Pleuraal empyeem, pleura-empyeem of empyema pleurae is een empyeem (opeenhoping van pus) in de pleurale ruimte of pleuraholte.
Deze ziekte wordt ook wel pyothorax of pleuritis purulenta genoemd. Meestal wordt een dergelijke infectie veroorzaakt door een ontsteking in de long (pneumonie), welke vaak gepaard gaat met het ontstaan van een parapneumonische effusie. Het empyeem kent drie fasen: exsudatief, fibrinopurulent en organiserend. In de exsudatieve fase accumuleert het vocht. Dit wordt gevolgd door de fibrinopurulente fase, waarin er binnen de pusophoping pockets ontstaan met fibrinogene schotten. In de laatste fase, de organiserende fase, kan er compressie van longweefsel optreden door verlittekening van de pleuraholte.
Symptomen
De symptomen van een empyeem variëren in ernst. Typische symptomen zijn koorts, pijn op de borst of in de rug, hoesten, zweten en kortademigheid. Bij lichamelijk onderzoek wordt een gedempte percussie gevonden en afgenomen ademgeruis op de plaats van het empyeem.
Diagnostiek
Het eerste diagnosticum dat gebruikt wordt, is de thoraxfoto, vaak gevolgd door een CT-scan. De diagnose wordt bevestigd door het aantonen van bacteriën in het pleuravocht dat door middel van een pleurapunctie verkregen wordt. In dit vocht is er vaak een laag pH- (< 7,20) en een laag glucosegehalte. Het LDH en het eiwitgehalte zijn verhoogd.

Behandeling
De behandeling bestaat uit drainage van het vocht, vaak door middel van een dikke drain. Daarnaast worden antibiotica intraveneus toegediend. Als dit onvoldoende is, kan een chirurgische ingreep noodzakelijk zijn.
