Pariëtale cel
| Pariëtale cel | ||||
|---|---|---|---|---|
| Exocrinocytus parietalis | ||||
![]() | ||||
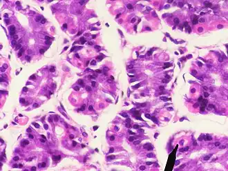
Microscopisch beeld van maagweefsel. Rechtsonder wordt een der pariëtale cellen aangewezen. | ||||
| Gegevens | ||||
| Orgaanstelsel | Maag-darmstelsel | |||
| Zenuw | Nervus vagus | |||
| Naslagwerken | ||||
| MeSH | Gastric+Parietal+Cells | |||
| ||||
Pariëtale cellen zijn cellen die zich bevinden in de mucosa van de maag. Ze zorgen voor de productie van maagzuur, intrinsic factor (IF) en worden gestimuleerd door gastrine. Somatostatine is de belangrijkste inhibitor van de cel. Een goede functie van deze cellen is belangrijk voor de vertering en opname van voedsel en voor de bescherming van het lichaam tegen micro-organismen.
Een te sterke productie van maagzuur komt voor bij het syndroom van Zollinger-Ellison.
Als de klepfunctie tussen slokdarm en maag niet voldoende werkt (wat m.n. voorkomt bij de hernia diaphragmatica), kan maagzuur teruglopen en refluxoesofagitis veroorzaken.
De pariëtale cellen zorgen voor de neuro-hormonale stimulatie van maagzuursecretie.
Onder in de pariëtale cel liggen blaasjes waarin een protonpomp zit, als de cel HCl moet produceren, gaan deze blaasje naar het afgiftekanaal toe en fuseren daar. Een belangrijke activator hiervan is histamine. Histamine grijpt aan op de H2receptor, die de second messenger cAMP (cyclisch adenosinemonofosfaat) vormt. cAMP stimuleert de fusie van de membraanblaasjes, acetylcholine en gastrine kunnen dit proces versterken door een verhoging van de calciumconcentratie in de cel.
14-01-2012
