Niercelkanker
| Niercelkanker | ||||
|---|---|---|---|---|
![]() | ||||
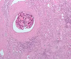
Histopathologische (van ziek weefsel) afbeelding van niercelkanker. Monster (deel van weefsel) na nefrectomie. Hematoxyline-eosinekleuring | ||||
| Coderingen | ||||
| ICD-11 | ||||
| ICD-O | M8312/3 | |||
| OMIM | 144700 605074 | |||
| DiseasesDB | 11245 | |||
| DOID | 4450 | |||
| MedlinePlus | 000516 | |||
| eMedicine | med/2002 | |||
| MeSH | D002292 | |||
| ||||
Niercelkanker, ook grawitztumor of hypernefroom genoemd (niercelcarcinoom is de door de WHO geprefereerde term), is de meest voorkomende vorm van kanker in de nier: 80% van de gevallen van alle soorten nierkanker.[1] Ze ontstaat in de proximale niertubulus.
Behandeling geschiedt gewoonlijk door totale of gedeeltelijke verwijdering van de nier of nefrectomie, hetgeen nog steeds het belangrijkste deel is van de behandeling.[2] Als de tumor beperkt is tot het functionele deel van de nier (parenchym) is de vijfjaarsoverleving 60-70%. Dit percentage daalt aanzienlijk als er uitzaaiingen zijn ontstaan. De tumor is resistent tegen bestraling en chemotherapie; sommige vormen van niercelkanker reageren op immunotherapie. Gerichte 'tumortherapie' (behandeling van het gezwel) met medicijnen als sunitinib, pazopanib, temsirolimus, bevacizumab, interferon-alfa en mogelijk sorafenib biedt uitstel van de voortwoekering van de tumor. Het is nog niet duidelijk of ze ook de levensduur van de patiënt verlengen.
Symptomen
De belangrijkste drie symptomen (de klassieke trias) voor niercelkanker zijn: bloed in de urine (hematurie), pijn in de flank, en een voelbare massa (klomp) in de buik. Men spreekt ook wel van de te-laattriade, omdat bij vaststelling van deze drie symptomen de ziekte vaak al te ver is gevorderd om er nog van te kunnen genezen. Daarbij is deze trias wel 'zeer suggestief' (een duidelijke indicatie) voor niercelkanker, maar komt deze maar in 15% van de gevallen ook daadwerkelijk voor. De meeste niertumoren worden tegenwoordig bij toeval gevonden tijdens het maken van afbeeldingen om andere medische redenen.
Symptomen:
- Abnormale kleur van de urine (donkerbruin of roestkleurig) door hematurie (60% van de gevallen)
- Pijn in de flank (40% van de gevallen)
- Massa (gezwel) voelbaar in de buik (25%)
- Malaise, gewichtsverlies of verminderde eetlust (30%)
- polycythemie (5%)
- Bloedarmoede door erytropoëtinetekort (5%)
- Symptomen door uitzaaiingen: bijvoorbeeld breuken door ziekte i.p.v. door vallen (pathologische fracturen) van de heup door een uitzaaiing in het heupbeen
- Varicocele, stuwing van een teelbal, meestal links, door belemmering van de afvloed (terugvloeiing van bloed naar het hart) vanuit de vena testicularis sinistra (de ader in de linker teelbal) via de linker-nierader als daarin sprake is van tumor-ingroei. (rechts mondt deze ader gewoonlijk uit in de onderste holle ader) (2%)[3])
- Moeilijkheden met zien
- Bleekheid of juist opvallend versterkte huidskleur, blos (plethora)
- Overmatige haargroei (Hirsutisme) vooral merkbaar bij vrouwen
- Verstopping (Obstipatie)
- Hoge bloeddruk (Hypertensie) door productie van renine door de tumor (30% van de gevallen)
- Verhoogd calciumgehalte in het bloed (Hypercalciëmie)
- Aandoeningen elders in het lichaam die ontstaan door stoffen die door de tumor worden uitgescheiden (Para-neoplastische aandoeningen)
Classificatie

Recent genetisch onderzoek heeft geleid tot een nieuwe indeling van de verschillende soorten niercelkanker. Deze nieuwe indeling is als volgt:[4][5][6]
- ‘Clear cell’ carcinoom (met het VHL-gen en andere op chromosoom 3)
- Papillair carcinoom (MET- en PRCC-gen)
- Chromofoob niercarcinoom
- Verzamelbuis-carcinoom
Andere genen geassocieerd met (die een rol spelen bij) deze tumor zijn onder andere TRC8, OGG1, HNF1A, HNF1B, TFE3, RCCP3 en RCC17.
Epidemiologie
De diagnose niercelkanker wordt jaarlijks over de hele wereld ongeveer 400 000 keer gesteld, iets minder dan 2% van het totale aantal gevallen van kanker.[7] De incidentie is het hoogst in Noord-Amerika, het laagst in Afrika en Azië.[8] De incidentie stijgt gestaag: in de Verenigde Staten waren er 51.190 nieuwe gevallen en 12.890 overlijdensgevallen als gevolg van niercelkanker in 2007. Niercelkanker komt meer voor bij mannen dan bij vrouwen in een verhouding van 1,6:1; deze verhouding (dit verschil) vertoont de afgelopen tien jaar overigens een dalende lijn. Bij mensen met een donkere sterk gepigmenteerde huidskleur komt het iets meer voor dan bij mensen met weinig pigment in de huid. De oorzaak hiervan is niet duidelijk.[9]
In Europa is de incidentie (het zich voordoen) van niercelkanker tussen 1975 en 2005 verdubbeld tot 63.300 per jaar in de Europese Unie; dat is bijna 3% van het totale aantal maligniteiten (kwaadaardige gezwellen).[10] In het Verenigd Koninkrijk staat de tumor met 4.622 gevallen per jaar op de achtste plaats wat betreft kanker bij mannen. Bij vrouwen werd de diagnose 'niercelkanker' 2.758 keer gesteld, een man:vrouwverhouding van 1,5:1. Bij vrouwen staat de tumor op plaats 14. Bij mannen is de incidentie gestegen van 7,1 naar 13,4 per 100.000 (meer dan 85% toename), bij vrouwen was de stijging van 3,2 naar 6,6 per 100.000 (meer dan verdubbeld). De grootste stijging was in deze periode bij ouderen: meer dan een verdubbeling bij mannen van 70 jaar en ouder en bij vrouwen van 65+.[11][12][13][14] In 2006 overleden 3.777 aan GT: 2.372 mannen en 1.820 vrouwen.[15][16][17] Meer dan 50% van de mensen in het Verenigd Koninkrijk bij wie deze ziekte werd gevonden, overlijdt hieraan.
Risicofactoren
De sterkste risicofactoren zijn het roken van sigaretten en obesitas. Andere zijn hypertensie (hoge bloeddruk) en een positieve familie-anamnese (reeds aanwezige ziektegeschiedenis binnen de familie) voor de ziekte.[18] Dialysepatiënten met verworven cystenieren hebben een 30 keer grotere kans op niercelkanker dan de gezonde populatie.[19] Blootstelling aan asbest, polycyclische aromatische koolwaterstoffen of dieselolie is niet overtuigend bewezen een risicofactor te zijn.[20]
Ook patiënten die reeds lijden aan bepaalde erfelijke ziekten, zoals: de ziekte van Von Hippel-Lindau; erfelijke papillair niercarcinoom; een erfelijke vorm van het leimyoom RCC-syndroom; het syndroom van Birt-Hogg-Dubé; lopen een groter risico om niercelkanker te ontwikkelen.[21][22][23]
Pathologie

Macroscopisch onderzoek (onderzoek met het blote oog) toont een gelige, multilobulaire (meerlobbige) tumor in de nierschors met vaak zones met necrose (afgestorven weefsel), bloeding en verlittekening.
Bij licht-microscopisch onderzoek is te zien dat de tumorcellen samenklonteren tot strengen, papillen, buisstructuren of nestjes. De individuele cellen zijn atypisch (afwijkend van de normale structuur van de niercel), polygonaal (veelhoekig) en groot. Omdat de cellen glycogeen en lipiden opslaan in het cytoplasma zien ze er helder (Engels: clear), vetbeladen uit; de celkern blijft centraal in de cel, de celmembraan is duidelijk zichtbaar. Sommige cellen zien er kleiner uit met eosinofiel cytoplasma en lijken op normale tubuluscellen. Het stroma, het omringende bindweefsel van het gezwel, is verminderd, maar wel gevacuoliseerd (met vacuolen). De tumor drukt op het omringende parenchym van de nier en vormt een pseudokapsel.[24]
Doordat de tumor vaak vasoactieve stoffen (zoals renine) produceert, kan er hypertensie (hoge bloeddruk) ontstaan; productie door het gezwel van erytropoëtine geeft poly-cythemie (vermeerdering van rode bloedcellen)
Radiologisch onderzoek
Het karakteristieke beeld van niercelkanker is een solide laesie (breuk) in de nier die zorgt voor een verstoring van de normale niercontour. Vaak heeft de tumor een onregelmatige of lobbige rand. 85% Van dit soort laesies blijkt niercelkanker. 10% van de tumoren heeft verkalkingen, sommige bevatten vet (waarschijnlijk door invasie (doordringen) van de tumor in het perirenale (om de nieren gelegen) vetweefsel. Afbeeldingen met Computertomografie of MRI met contrast tonen aankleuring aan, waarmee de verdenking op niercelkanker, zich onderscheidend van het normale parenchym, wordt vergroot.
Solide massa’s in de nier kunnen berusten op:
- Niercelkanker
- Metastase van een tumor die zijn oorsprong vindt buiten de nier
- Lymfoom in de nier
- Plaveiselcelcarcinoom
- Juxtaglomerulaire tumor (reninoom)
- Carcinoom van het overgangsepitheel (van de urinewegen)
- Angio-myo-lipoom
- Oncocytoom
- Wilmstumor
Het is niet mogelijk op een betrouwbare manier onderscheid te maken tussen niercelkanker en oncocytoom (een goedaardig gezwel) op grond van afbeeldingstechnieken of percutane biopsie (weefselpunctie door de huid heen).
Niercelkanker kan cysteus van aard zijn, d.w.z. dat er sprake is van pathologische (abnormale) holte-vorming. Omdat er behalve kanker ook andere vormen zijn van cysteuze nierziekte: enkelvoudige niercyste; hemorragische (met bloeduitstortingen) niercyste; multi-loculair (met veel holten) cysteus nefroom; poly-cysteuze nierziekte; is het voor de radioloog moeilijk op grond van foto’s of scans het onderscheid te maken tussen een goed- en een kwaadaardige aandoening. Er is een classificatiesysteem ontworpen voor cysteuze nierziekten dat uitgaat van specifieke kenmerken op de beelden om dit onderscheid te maken.[25] Ten tijde van de diagnose is 30% van de tumoren ingegroeid (doorgedrongen) in de vena renalis en 5-10% in de onderste holle ader.[26]
Om de juiste diagnose te kunnen stellen kan er door de radioloog een percutane biopsie onder CT- of echogeleide worden uitgevoerd. Doordat er echter een grote kans is op een fout-negatief resultaat, en op complicaties bij de patiënt, wordt dit zelden gedaan om uitsluitsel te krijgen nadat een typisch beeld voor niercelkanker op de afbeeldingen eenmaal is vastgesteld.
Behandeling
Als de tumor zich alleen nog in de nier bevindt (40% van de gevallen) kan er in 90% van de gevallen volledige genezing worden bereikt door te opereren. Als er verspreiding is, gewoonlijk via de lymfeklieren of de nierader is adjuvante therapie (aanvullende behandeling) nodig, vaak ook door operatief verwijderen van de uitgezaaide tumoren.
’Controlerend afwachten’
Kleinere tumoren (<4 cm) worden in toenemende mate behandeld door partiële nefrectomie (gedeeltelijke verwijdering van de nier).[27][28][29] Meestal vertonen deze tumoren een zeer onschuldig gedrag met een uitstekende prognose.[30] Centra van betekenis voeren eerst naaldbiopsie uit voordat men overgaat tot operatie. De kleinere tumoren worden, zeker bij ouderen, mensen 'met co-morbiditeit' (met meerdere aandoeningen) en mensen in slechte conditie, ongemoeid gelaten, maar wel nauwkeurig en regelmatig afgebeeld. Pas vanaf een grootte van 3–5 cm neemt de kans op uitzaaien toe tot ongeveer 5%.
Chirurgie

Operatieve verwijdering van de gehele of een gedeelte van de nier wordt aanbevolen.[2] Hierbij worden zo nodig de bijnier, de retro-peritoneale lymfeklieren en eventueel omringende weefsels verwijderd als deze door de tumor zijn aangedaan. In gevallen waarbij de tumor is doorgegroeid tot in de nierader, de onderste holle ader of zelfs de rechterhartboezem wordt ook dit deel van de tumor verwijderd. Zelfs in het geval van uitzaaiingen zijn er aanwijzingen dat het verwijderen van de nier (“cytoreductieve nefrectomie”) de termijn van overleven kan vergroten.[31] Dit geldt overigens ook voor het verwijderen van een enkele metastase. Vóór de operatie wordt de nier vaak geëmboliseerd (afgesloten) om bloedverlies tijdens de operatie te verminderen (zie afbeelding). Steeds meer wordt de operatie laparoscopisch uitgevoerd. Deze techniek is minder belastend voor de patiënt en heeft dezelfde ziektevrije overleving als de ‘open’ techniek.[2]
Percutane therapie
Percutane, beeldgeleide behandelingen worden meestal uitgevoerd door de radioloog, gewoonlijk bij patiënten die een normale operatie niet aankunnen. Bij deze behandeling wordt een sonde ingebracht op geleide van Echo, CT of MRI (real-time) om sonde en tumor bij elkaar te brengen. De tumor wordt dan vernietigd door hitte (radiofrequente ablatie) of koude (cryotherapie: zie verder). Het nadeel van deze behandeling is dat er geen pathologisch onderzoek gedaan kan worden om te zien of de tumor radicaal (geheel) verwijderd is. Om dit te kunnen vaststellen is het nodig dat de patiënt langdurig gevolgd wordt.[32][33]
Medicatie
Niercelkanker "lokt een immuunrespons uit, die er in sommige gevallen voor zorgt dat er een dramatische spontane remissie (afname van het gezwel) optreedt". Daarom zijn er immuun-modulerende behandelingen ontwikkeld, zoals kankervaccins en interleukine-2 (IL-2) om deze immuunreactie kunstmatig op te wekken (kankerimmunotherapie). IL-2 heeft “duurzame remissies” gebracht bij een klein aantal patiënten maar tegen behoorlijke toxiciteit (giftige bijwerking). Een andere strategie is om de functie van het VHL-gen te herstellen om daarmee de eiwitten te vernietigen die verantwoordelijk zijn voor de vorming van niet-wenselijke bloedvaten (als die in de tumor). Bevacizumab (Avastin), een antistof tegen VEGF, remt de progressie van de tumor, maar fase-3-studies zijn nog niet voltooid. Sunitinib (Sutent), Sorafenib (Nexavar) en temsirolimus (Torisel) uit de groep tyrosinekinaseremmers (TKI's); ze zijn goedgekeurd door de FDA in de Verenigde Staten, maar zijn ook in Nederland in de handel.[34] Sorafenib was in 2005 de eerste van de groep tyrosinekinaseremmers, geregistreerd door de FDA voor de behandeling van gevorderde niercelkanker, een maand later gevolgd door sunitinib. Beide middelen werken als RTK-remmer, alleen sunitinib werkt op meerdere plaatsen tegelijk om bloedvatvorming en tumorgroei tegen te gaan. Door dit laatste effect zou Sunitinib krachtiger werken dan Sorafenib. Er is echter nog geen onderzoek gedaan om beide middelen te vergelijken.[35][36]
Recent werd in het New England Journal of Medicine een onderzoek gepubliceerd, een fase-3-studie, waarin een RTKI vergeleken werd met cytokine. Sunitinib was hierin superieur aan interferon-α. De ziektevrije interval (eerste eindpunt) was meer dan verdubbeld. Het voordeel van Sunitinib was significant in alle patiëntengroepen, ook bij degenen met een slechte prognose bij het begin van het onderzoek. 28% Van de behandelden met Sunitinib had significante afname van de tumorgrootte tegen slechts 5% in de interferon-α-groep. Hoewel de cijfers over de overall overleving nog niet bekend zijn, zijn er duidelijk aanwijzingen voor een verlengde overlevingstijd met sunitinib. Daarbij gaven de patiënten een betere kwaliteit van leven aan tijdens de behandeling dan degenen die interferon-α kregen.[37]
Temsirolimus (CCI-779), een remmer van het mTOR kinase (mammalian target of rapamycin). heeft laten zien dat het op drie of meer prognostische factoren beter werkt dan interferon-α bij patiënten die voordien niet behandeld konden worden. Deze resultaten van deze fase-3-studie werden in 2006 gepresenteerd op het jaarlijkse congres van de American Society of Clinical Oncology (www.ASCO.org).
In maart 2009 kwam everolimus in de V.S op de markt onder de naam Afinitor (fabrikant Novartis AG): een orale mTOR-remmer die gebruikt kan worden als men niet goed (meer) reageert op Sunitinib of Sorafenib.
Chemotherapie
De meest gebruikelijke cytostatica zijn onwerkzaam bij niercelkanker en worden dan ook niet aanbevolen voor gebruik. Voor de tyrosinekinaseremmers zie boven.[1]
Vaccins
Kankervaccins zoals Tro Vax hebben veelbelovende resultaten laten zien in de behandeling van niercelkanker in fase-2-studies.[38] Problemen als immunosuppressie door de tumor en het ontbreken aan geïdentificeerde tumorantigenen moeten eerst worden opgelost voordat deze behandeling op grote schaal kan worden toegepast bij niercelkanker.[39]
Cryo-ablatie
Dit houdt in het door middel van bevriezen vernietigen van de tumor, dus zonder operatie. Deze techniek kan 95% van de tumor in één behandeling verwijderen en wordt goed verdragen, ook door patiënten in slechtere conditie.[39]
Prognose
Het resultaat van behandeling hangt af van: de grootte van de tumor; of deze beperkt is tot de nier of niet; en van de aan- of afwezigheid van uitzaaiingen. De Fuhrmanindeling geeft de agressiviteit van de tumor en kan enige aanwijzing geven voor de overlevingskans. De mate van accuraatheid van deze indeling is nog niet duidelijk.
De 'vijfjaarsoverleving' in het geval van tumoren kleiner dan 4 centimeter is 90-95%. Ook bij grotere tumoren die zich beperken tot de nier, dus zonder vaatingroei (angiogenese), is de vijfjarige overlevingskans met 80-85% nog relatief goed. Is het gezwel vanuit de nier via angiogenese doorgedrongen tot in het omringende weefsel, dan daalt deze kans naar ongeveer 60%. Bij lymfeklier-uitzaaiing is de overleving na vijf jaar slechts 5-15%. Bij metastasen 'op afstand' (elders in het lichaam) daalt de vijfjaarsoverleving verder tot onder de 5%. Terugkeer van de tumor na operatie geeft een erg matige prognose, vooral vanwege de slechte reactie op radio- en chemotherapie. Immunotherapie geeft bemoedigende resultaten, hoewel complete remissie (verdwijning van de kanker) voorlopig nog maar in 12-20% van de gevallen wordt bereikt.
- 1 2 Mulders PFA et al. Richtlijn 'Niercelcarcinoom'Ned Tijdschr Geneeskd. 2008;152:376-380.
- 1 2 3 Rini BI, Rathmell WK, Godley P. Renal cell carcinoma.Curr Opin Oncol. 2008;20:300-6.
- ↑ Motzer RJ, Bander NH, Nanus DM (September 1996). Renal-cell carcinoma. N. Engl. J. Med. 335 (12): 865–75. PMID 8778606.
- ↑ Reuter VE, Presti JC (April 2000). Contemporary approach to the classification of renal epithelial tumors. Semin. Oncol. 27 (2): 124–37. PMID 10768592.
- ↑ Bodmer D, van den Hurk W, van Groningen JJ, et al (October 2002). Understanding familial and non-familial renal cell cancer. Hum. Mol. Genet. 11 (20): 2489–98. PMID 12351585.
- ↑ Cotran, Ramzi S.; Kumar, Vinay; Fausto, Nelson; Nelso Fausto; Robbins, Stanley L.; Abbas, Abul K. (2005). Robbins and Cotran pathologic basis of disease. Elsevier Saunders, St. Louis, Mo, pp. 1016. ISBN 0-7216-0187-1.
- ↑ Lindblad, P. and Adami H.O, Kidney Cancer, in Textbook of Cancer.
- ↑ GLOBOCAN 2002, Cancer Incidence, Mortality and Prevalence Worldwide 2002 estimates. 2006.
- ↑ American Cancer Society. Cancer facts & figures 2007. American Cancer Society; 2007.
- ↑ Ferlay, J., et al., Estimates of the cancer incidence and mortality in Europe in 2006. Ann Oncol, 2007. 18(3): p. 581-92.
- ↑ Office for National Statistics, Registrations of cancer diagnosed in 2005, England 2008.
- ↑ Northern Ireland Cancer Registry, Registrations of cancer diagnosed in 2005, Northern Ireland 2008.
- ↑ Information and Statistics Division, Scotland Registrations of cancer diagnosed in 2005, Scotland 2008.
- ↑ Welsh Cancer Intelligence and Surveillance Unit, Registrations of cancer diagnosed in 2005, Wales 2008.
- ↑ Office for National Statistics, Mortality Statistics: Cause England & Wales, 2006. Vol. DH2 No.32. 2006: TSO.
- ↑ GRO for Scotland Registrar General's Annual Report, 2006.
- ↑ Northern Ireland Cancer Registry, Cancer Mortality in Northern Ireland, 2006. 2006.
- ↑ Lipworth, R. E. Tarone and J. K. McLaughlin. The Epidemiology of Renal Cell CarcinomaL. J Urol. 2006;176:2353–2358.
- ↑ Brennan JF et al. Acquired renal cystic disease: implications for the urologist, Br J Urol. 1999;67:342–348.
- ↑ McLaughlin JK, Kidney Cancer, Oxford University Press, Oxford, 2006, pp. 1087–1100.
- ↑ Lamiell JM et al. von Hippel-Lindau disease affecting 43 members of a single kindred, Medicine (Baltimore) 1989;68:1–29.
- ↑ Pavlovich CP, Schmidt LS, Searching for the hereditary causes of renal-cell carcinoma, Nat. Rev. Cancer. 2004;4:381–393.
- ↑ Washecka R, Hanna M, Malignant renal tumors in tuberous sclerosis. Urology. 1991;37:340–343.
- ↑ pathologyatlas.ro. Geraadpleegd op 29 december 2007.
- ↑ Israel GM, Bosniak MA (August 2005). How I do it: evaluating renal masses. Radiology 236 (2): 441–50. PMID 16040900. DOI: 10.1148/radiol.2362040218.
- ↑ Oto A, Herts BR, Remer EM, Novick AC (December 1998). Inferior vena cava tumor thrombus in renal cell carcinoma: staging by MR imaging and impact on surgical treatment. AJR Am J Roentgenol. 171 (6): 1619–24. PMID 9843299.
- ↑ Novick AC. Nephron-sparing surgery for renal cell carcinoma. Br J Urol 1998;82:321-4.
- ↑ Herr HW. Partial nephrectomy for unilateral renal carcinoma and a normal contralateral kidney: 10-year followup. J Urol 1999;161:33-4.
- ↑ Van Poppel H, Bamelis B, Oyen R, Baert L. Partial nephrectomy for renal cell carcinoma can achieve long-term tumor control. J Urol 1998;160:674-8.
- ↑ Mattar K, Jewett MA. Watchful waiting for small renal masses.Curr Urol Rep. 2008 Jan;9:22-5.
- ↑ Flanigan RC, Mickisch G, Sylvester R, Tangen C, Van Poppel H, Crawford ED (March 2004). Cytoreductive nephrectomy in patients with metastatic renal cancer: a combined analysis. J Urol. 171 (3): 1071–6. PMID 14767273. DOI: 10.1097/01.ju.0000110610.61545.ae.
- ↑ Mogami T, Harada J, Kishimoto K, Sumida S. Percutaneous MR-guided cryoablation for malignancies, with a focus on renal cell carcinoma.Int J Clin Oncol. 2007 Apr;12(2):79-84.
- ↑ Boss A, Clasen S, Kuczyk M, Schick F, Pereira PL. Image-guided radiofrequency ablation of renal cell carcinoma.Eur Radiol. 2007 Mar;17(3):725-33.
- ↑ Michaelson MD, Iliopoulos O, McDermott DF, McGovern FJ, Harisinghani MG, Oliva E (May 2008). Case records of the Massachusetts General Hospital. Case 17-2008. A 63-year-old man with metastatic renal-cell carcinoma. N Engl J Med. 358 (22): 2389–96. PMID 18509125. DOI: 10.1056/NEJMcpc0802449.
- ↑ Sunitinib in de NCI Drug Dictionary
- ↑ Sorafenib in de NCI Drug Dictionary]
- ↑ Motzer RJ et al. (2007). Sunitinib versus interferon alfa in metastatic renal-cell carcinoma. N Engl J Med 356 (2): 115–124. PMID 17215529. DOI: 10.1056/NEJMoa065044.
- ↑ Vaccine for kidney and bowel cancers 'within three years' | Mail Online
- 1 2 Amato RJ. Vaccine therapy for renal cancer. Expert Rev Vaccines. 2008;7:925-35.
_Nephrectomy.jpg)