Myelodysplasie
| myelodysplastisch syndroom | ||||
|---|---|---|---|---|
![]() | ||||
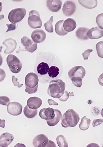
Bloeduitstrijkje van een persoon met myelodysplastisch syndroom. Een hypogranulaire neutrofiel met een pseudo-Pelger-Huet-kern wordt getoond. Er zijn ook abnormaal gevormde rode bloedcellen, deels gerelateerd aan verwijdering van de milt. | ||||
| Coderingen | ||||
| ICD-11 | ||||
| ICD-O | 9980/0-M9989/3 | |||
| OMIM | 614286 | |||
| DiseasesDB | 8604 | |||
| DOID | 0050908 | |||
| MedlinePlus | 007716 | |||
| eMedicine | med/2695 ped/1527 | |||
| MeSH | D009190 | |||
| ||||
Myelodysplasie of myelodysplastisch syndroom (MDS) staat voor een aantal stoornissen van het beenmerg waardoor de productie van bloedcellen is verstoord. Door een mutatie van de hematopoëtische stamcel gaat deze zich veelvuldig delen waarbij de normale hematopoëse wordt verdrongen en daardoor tekortschiet.
Deze storing uit zich in de aanmaak van misvormde bloedcellen of bloedcellen die niet volledig uitrijpen. Het gevolg is een gebrek aan bloedplaatjes en aan rode en witte bloedcellen. Daarnaast bestaat het risico dat voorlopercellen zich ontwikkelen naar leukemie (in ca. 1/3 van de gevallen).
De aandoening komt vooral voor onder ouderen (60 tot 80 jaar) en in die leeftijdsgroep wat meer bij mannen dan bij vrouwen. De behandeling is (vooral in de oudere leeftijdscategorie) vooral gericht op symptoombestrijding. Meer mensen overlijden ten gevolge van deze ziekte doordat ze te weinig bloedcellen hebben, dan ten gevolge van leukemie. Het is dus belangrijk dat mensen die aan deze ziekte lijden genoeg bloedplaatjes (trombocyten), witte bloedcellen (leukocyten) en rode bloedcellen (erytrocyten) hebben.
Myelodysplasie komt in vele gradaties voor. De behandeling (eventueel chemotherapie en zelfs stamceltransplantaties) hangt hier dus ook sterk van af.
Een belangrijke oorzaak van MDS is chemotherapie. Ook al klinkt het tegenstrijdig, maar sommige celdodende middelen kunnen op hun beurt ook weer een kwaadaardige beenmergziekte, namelijk MDS of acute myeloïde leukemie (AML) veroorzaken. Onder andere Susan Sontag, Joachim Streich en Gerrie Mühren zijn hieraan overleden.
Externe link
- Het myelodysplastische syndroom, Nederlands Tijdschrift voor Geneeskunde, 1991, 135:2473-8.
