Hoek van Böhler

De hoek van Böhler is een hoek die in de radiologie wordt gebruikt voor het aantonen van een fractuur van het hielbeen. De hoek is vernoemd naar Lorenz Böhler, een Oostenrijks chirurg die de hoek in 1931 introduceerde.
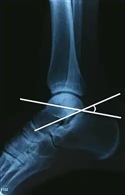
Om de hoek van Böhler te verkrijgen worden op een laterale enkelfoto, waarop de malleolus medialis en malleolus lateralis over elkaar projecteren, twee lijnen getrokken. De ene lijn loopt van de bovenste rand van de tuberositas posterior van de calcaneus naar de apex van het achterste deel van de articulus subtalaris (gewricht tussen calcaneus en talus), de andere wordt getrokken van deze apex naar de processus anterior van de calcaneus. De kleinst mogelijke hoek die deze lijnen maken, wordt de hoek van Böhler genoemd.
Böhler onderzocht 1900 patiënten die voor een calcaneusfractuur werden behandeld door van zowel de aangedane als de gezonde enkel een foto te maken en de hoeken hierop te meten. Hierbij vond hij een gemiddelde "gezonde" hoek van 30-35 graden. Volgens Böhler was een hoek kleiner dan 28° afwijkend, waarbij de kans op het bestaan van een calcaneusfractuur groot was.[1] In de loop der jaren is zijn onderzoek echter vaak herhaald, waarbij andere getallen naar voren kwamen, zie ook onderstaande tabel. Recent onderzoek toonde aan dat verschillende beoordelaars nagenoeg dezelfde hoeken van Böhler kunnen meten, waardoor de foutmarge tussen twee beoordelaars klein is. Het hulpmiddel bleek volgens deze studie echter van beperkte waarde in het diagnostisch proces bij verdenking op een hielbeenbreuk.[2]
De hoek van Böhler zou prognostisch zijn bij het herstel van een intra-articulaire fractuur van het hielbeen.[3] Een lagere hoek was in onderzoek geassocieerd met een onbevredigend eindresultaat.[4] De hoek wordt dan ook veelvuldig door chirurgen en orthopeden gebruikt om het herstel van een dergelijke fractuur bij een patiënt te vervolgen.
| auteur | patiëntenaantal | gemiddelde hoek (standaarddeviatie) |
spreiding | ondergrens |
|---|---|---|---|---|
| Böhler (1931)[1] | 1900 | 30-35° | 28-40° | 28° |
| Hauser et al. (1975)[5] | 122 | 32° (6°) | 20-44° | 20° |
| Steel et al. (1980)[6] | 82 | 35° (8°) | 22-48° | |
| Chen et al. (1991)[7] | 120 | 30° (6°) | 14-50° | 18° |
| Didia et al. (1999)[8] | ? | 32,83° (2,84°) | 28-38° | |
| Igbigbi et al. (2003)[9] | 206 | ♂: 35,1° (7,5°) ♀: 37,6 (5,6°) | 20-50° | |
| Khoshhal et al. (2004)[10] | 229 | 31,21° (?) | 16-47° |
Referenties
- 1 2 Boehler L. Diagnosis, pathology and treatment of fractures of the os calcis. J Bone Joint Surg. 1931; 13: 75-89
- ↑ Knight JR et al. Boehler's angle and the critical angle of Gissane are of limited use in diagnosing calcaneus fractures in the ED. Am J Emerg Med. 2006; 24 :423-427
- ↑ Csizy et al. Displaced intra-articular calcaneal fractures: variables predicting late subtalar fusion. J Orthop Trauma 2003; 17: 106-12
- ↑ Paley et al. Intra-articular fractures of the calcaneus. A critical analysis of results and prognostic factors. J Bone Joint Surg Am. 1993; 75: 342-354
- ↑ Hauser ML et al. Boehler's angle: a review and study. J Am Podiatr Med Assoc. 1975; 65: 517-521
- ↑ Steel MW 3rd et al. Radiographic measurements of the normal adult foot. Foot Ankle 1980; 1: 151-158
- ↑ Chen MY et al. Boehler's angle: a reappraisal. Ann Emerg Med. 1991; 20: 122-124
- ↑ Didia BC et al. The calcaneal angle in Nigerians. Relationship to sex, age, and side of the body. J Am Podiatr Med Assoc. 1999; 89: 472-474
- ↑ Igbigbi BS et al. Calcaneal angle in Ugandans. Clin Anat. 2003; 16: 328-330
- ↑ Khoshhal KI et al. Böhler's and Gissane's angles of the calcaneus in the Saudi population. Saudi Med J. 2004; 25: 1967-1970