Hernia spiegeli
| Hernia spiegeli | ||||
|---|---|---|---|---|
![]() | ||||
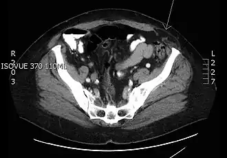
Hernia spiegeli op de plaats van de pijl. | ||||
| Coderingen | ||||
| ICD-9 | 553.29 | |||
| ||||

Een Hernia van Spiegel, ook wel hernia spiegeli of laterale ventrale hernia genoemd, is een hernia door spiegelse fascie. Deze fascie is de aponeurose (het peesblad) tussen de musculus rectus abdominis (de rechte buikspier) mediaal en de linea semilunaris (zie afbeelding) lateraal. Deze hernia's ontwikkelen zich meestal onder de linea semicircularis (de onderrand van de dorsale zijde van de rectusschede) omdat daar het weefsel minder steun heeft. Een hernia spiegeli ontwikkelt zich meestal niet tot aan het subcutane vet, maar blijft pariëtaal, dat wil zeggen tussen de spieren. Hierdoor is de hernia aan de buitenkant vaak niet goed zichtbaar. Doordat de breukpoort vaak klein is heeft deze hernia een grote kans in te klemmen met strangulatie, verstoring van de bloedtoevoer naar de breukinhoud, tot gevolg.
Voorkomen
Gewoonlijk ontstaan deze hernia's rond het vijftigste levensjaar, maar bijna altijd tussen 40 en 80 jaar en dan vaker rechts dan links. In vergelijking met andere hernia's is dit type zeldzaam.[1]
Symptomen en diagnose
Patiënten presenteren zich gewoonlijk met wisselende zwelling ter plaatse, pijn lokaal of tekenen van darmobstructie.[1] Met echografie of een CT-scan kan de diagnose worden bevestigd.
Behandeling
Deze hernia's moeten altijd worden verholpen vanwege het grote risico van inklemming;[2] gelukkig is de ingreep door de kleine breukpoort meestal weinig uitgebreid: alleen bij grotere defecten moet er een buikwandversteviging gedaan worden.
Eponiem
Adriaan van den Spiegel, een chirurg-anatoom geboren in Brussel, beschreef deze hernia. De eerste officiële publicatie was in 1645, twintig jaar na zijn overlijden.
Referenties
- 1 2 Larson DW, Farley DR (2002). Spigelian hernias: repair and outcome for 81 patients. World journal of surgery 26 (10): 1277–81. PMID 12205553. DOI: 10.1007/s00268-002-6605-0.
- ↑ Vos DI, Scheltinga MR (2004). Incidence and outcome of surgical repair of spigelian hernia. The British journal of surgery 91 (5): 640–4. PMID 15122618. DOI: 10.1002/bjs.4524.
