Hemolytisch-uremisch syndroom
| Hemolytisch-uremisch syndroom | ||||
|---|---|---|---|---|
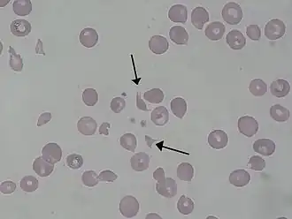
Schizocyten bij een patiënt met het hemolytisch-uremisch syndroom | ||||
| Synoniemen | ||||
| Nederlands | trombotische microangiopathie[1] syndroom van Gasser-Karrer[2]
gassersyndroom[1] | |||
| Coderingen | ||||
| ICD-11 | ||||
| OMIM | 235400 | |||
| DiseasesDB | 13052 | |||
| DOID | 12554 | |||
| MedlinePlus | 000510 | |||
| eMedicine | ped/960 | |||
| MeSH | D006463 | |||
| ||||
Het hemolytisch-uremisch syndroom[2][1] (HUS[1]) is een syndroom waarbij hemolytische anemie, acuut nierfalen (uremie) en trombocytopenie gezien worden. HUS treedt voornamelijk maar niet uitsluitend op bij kinderen. HUS treedt meestal op na een episode van diarree als gevolg van een besmetting met EHEC, de entero-hemorragische E. coli bacterie. HUS is een medisch noodgeval met mortaliteit van 5-10%. Bij de overige gevallen treedt meestal volledige genezing op maar een aantal patiënten ontwikkelt chronische nierproblemen.[4] HUS werd in 1955 als syndroom gedefinieerd.[5][6]
Literatuurverwijzingen
- 1 2 3 4 Everdingen, J.J.E. van, Eerenbeemt, A.M.M. van den (2012). Pinkhof Geneeskundig woordenboek (12de druk). Houten: Bohn Stafleu Van Loghum.
- 1 2 Jochems, A.A.F. & Joosten, F.W.M.G. (2003). Coëlho Zakwoordenboek der geneeskunde (27ste druk). Doetinchem: ElsevierGezondheidszorg.
- ↑ Boon, T. den & Geeraerts, D. (Red.) (2005). Van Dale Groot woordenboek van de Nederlandse Taal (14e editie). Utrecht/Antwerpen: Van Dale Lexicografie BV.
- ↑ Corrigan JJ, Boineau FG (November 2001). Hemolytic-uremic syndrome. Pediatr Rev 22 (11): 365–9. PMID 11691946.
- ↑ Anagnou NP, Papanicolaou N, Fessas P (1991). Recurrent attacks of hemolytic uremic syndrome. Haematologia (Budap) 24 (2): 101–5. PMID 1816053.
- ↑ (de) GAsser C, Gautier E, Steck A, Siebenmann RE, Oechslin R (September 1955). Hemolytic-uremic syndrome: bilateral necrosis of the renal cortex in acute acquired hemolytic anemia. Schweiz Med Wochenschr 85 (38-39): 905–9. PMID 13274004.