Bijholteontsteking
| Bijholteontsteking | ||||
|---|---|---|---|---|
| Sinusitis | ||||
![]() | ||||
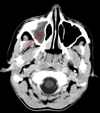
Kaakholte-ontsteking. De sinus maxillaris (rode pijl) is licht gekleurd door ontstoken slijmvlies en vocht in de holte. Normaal zijn de holten op de foto donkerder dan het omgevende bot omdat er lucht in zit. | ||||
| Coderingen | ||||
| ICD-11 | ||||
| DiseasesDB | 12136 | |||
| DOID | 0050127 | |||
| MedlinePlus | 000647 | |||
| eMedicine | emerg/536 | |||
| MeSH | D012852 | |||
| ||||
Sinusitis of bijholteontsteking is een aandoening die veroorzaakt wordt door bacteriën, virussen of soms een allergie in de slijmvliezen van de neusbijholten. Dikwijls als gevolg van een verkoudheid zijn de bijholten, die door kanaaltjes in verbinding staan met de neus, gevuld met dik slijm. Het neusslijmvlies is ontstoken en dus gezwollen. Hierdoor kan het slijm en/of pus niet goed weglopen. Het gevolg hiervan is een pijnlijk en drukkend gevoel aan de bovenkant van het gelaat, en rond de ogen. Bij voorover bukken kan het drukkende gevoel toenemen. Ook is er soms sprake van hoofdpijn. In zeldzame gevallen is het mogelijk dat er een dentogene vorm van sinusitis ontstaat: pijn in deel van het bovengebit waarvoor geen tandheelkundige verklaring gevonden wordt. De aandoening komt vooral veel voor bij volwassenen. Bij kinderen tot 8 jaar nooit, de kaakholte is dan wegens de aanwezigheid van het wisselgebit nog niet voldoende ontwikkeld.
In zeldzame gevallen kan een sinusitis een chronisch karakter krijgen. Leegzuigen van de holten kan dan nodig gevonden worden. Een kno-arts kan met een CT-scan van het hoofd goed zien waar de problemen zich voordoen. Ook kan een scheef neustussenschot de reiniging van de holtes belemmeren met een verhoogde kans op een bijholteontsteking tijdens een verkoudheid. Meestal gaat een sinusitis echter vanzelf over.
Volgens de Standaard van het Nederlands Huisartsengenootschap is antibiotische behandeling zelden nodig, en is de effectiviteit hiervan niet aangetoond, terwijl bijwerkingen wel mogelijk zijn.[1][2]
Operatie

De ontsteking kan poliepvorming tot gevolg hebben. Als medicatie niet blijvend helpt, kan een operatie noodzakelijk zijn. Hierbij worden de poliepen verwijderd en de kanaaltjes naar de voorhoofdsholten schoongemaakt. Na de operatie moet er 4-6 keer per dag 6 weken lang gespoeld worden met een zoutoplossing. Een hulpmiddel hierbij is de Rhinohorn of een 10 ml injectiespuit.
Een operatie zal in 80% van de gevallen de conditie verbeteren, in 10% van de gevallen gaat het om het opnieuw optreden van de ontstekingen. Deze operaties worden nu meestal uitgevoerd vanuit de neus, snijwonden in het gezicht (transfasciale toegang) zijn voorbehouden aan individuele gevallen. Patiënten met uitgebreide frontale sinusinfecties hebben een slechtere prognose en een slechter risicoprofiel. Vanwege de nabijheid van de ogen en de hersenen, omvatten de risico's van sinuschirurgie letsel aan de oogkas met de vorming van dubbelzien, verlies van gezichtsvermogen, drainage van hersenvocht, meningitis en bloeding in de hersenen. Deze ernstige complicaties komen nu voor in minder dan 1% van de gevallen.
Referenties
- ↑ NHG-standaard. Gearchiveerd op 3 juni 2019.
- ↑ Cochrane collaboration review. Gearchiveerd op 10 januari 2014.
