Acromegalie
| Acromegalie | ||||
|---|---|---|---|---|
![]() | ||||
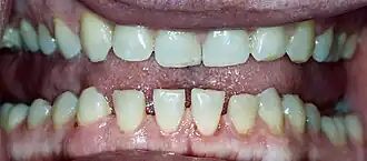
Door acromegalie ontstane ruimtes tussen de tanden van de onderkaak | ||||
| Coderingen | ||||
| ICD-11 | ||||
| OMIM | 102200 | |||
| DOID | 2449 | |||
| MedlinePlus | 000321 | |||
| MeSH | D000172 | |||
| ||||
Met acromegalie (acra "hoogte", megalie "vergroting") wordt een zeldzame ziekte aangeduid die gepaard gaat met een buitenproportionele groei van lichaamsdelen. Ze ontstaat als een overactieve hypofyse veel groeihormonen produceert. Meestal betreft het een adenoom, een goedaardig gezwel.
De aard van de lichamelijke kenmerken die symptomatisch zijn bij deze ziekte, hangt af van de leeftijd waarop de kwaal manifest wordt. Bij nog niet uitgegroeide jonge mensen treedt reuzengroei op tot soms wel 2,50 meter lang. De bekendste voorbeelden zijn Robert Wadlow, die 2,72 meter mat en Trijntje Keever die 2,54 meter lang was. Onder professionele basketballers, die sterk op lengte worden geselecteerd, komt de ziekte duidelijk vaker voor.
Bij volwassenen is geen reuzengroei mogelijk omdat de groeischijven van het bot inmiddels verkalkt zijn. Bij hen treedt in de loop der jaren een kenmerkend beeld op van vergroving van extremiteiten, zoals grotere handen en voeten, kin, neus en oren, waarbij de veranderingen in het gelaat het meeste opvallen.
Acromegalie is ook bekend als 'de ziekte van Marie', naar de Franse neuroloog Pierre Marie, die de aandoening in 1886 beschreef en de naam gaf.[1] De symptomen van de aandoening werden in 1567 al beschreven door Johannes Wier, echter hij verbond er geen naam of specifieke aandoening aan. Ook andere artsen hebben de aandoening (mogelijk) beschreven, maar hun namen bleven niet in gebruik: bijvoorbeeld Alibert in 1822 (Géant scrofuleux), Verga 1864 (Prosopo-ectasia) en Lombroso (Macrosomia [2]).
Belangrijkste klinische kenmerken
De meest voorkomende klachten veroorzaakt door langdurige overproductie van groeihormoon zijn:[3]
- groei van handen en voeten
- vergroving van het gelaat
- groei van de onderkaak (bij gebruik van een kunstgebit kan het voorkomen dat het kunstgebit niet meer past)
- tintelingen in de handen
- pijnlijke en stijve gewrichten
- snurken
- vocht vasthouden, vooral in de benen
- gewichtstoename
- hoofdpijn
- verminderd zicht
Bekende voorbeelden
- Robert Wadlow
- Trijntje Keever, de langste vrouw die ooit geleefd heeft
- Richard Kiel, een acteur die vooral bekend was als Jaws van de James Bond-films The Spy Who Loved Me en Moonraker
- Carel Struycken, de bekendste Nederlander met acromegalie, onder andere bekend als de butler Lurch in The Addams Family
- Rigardus Rijnhout, bekend als de Reus van Rotterdam
- Giant González, Argentijns professioneel worstelaar
- Maurice Tillet, Frans worstelaar
- André the Giant, Frans worstelaar en acteur
- Irwin Keyes, Amerikaans acteur
Externe links
- S.W.J. Lamberts (1986), Honderd jaar acromegalie: algemene lessen van een zeldzame ziekte, artikel in Nederlands Tijdschrift Geneeskunde
- Informatie van de Hypofysestichting over acromegalie
- Informatie van de Hersenstichting over acromegalie
- ↑ (en) Herder, W.W. de, The History of Acromegaly. Karger (februari 2016). Gearchiveerd op 2 februari 2021. Geraadpleegd op 29 januari 2021.
- ↑ (en) Herder, Wouter W. de, Acromegaly and gigantism in the medical literature. Case descriptions in the era before and the early years after the initial publication of Pierre Marie (1886). NCBI (6 augustus 2008). Gearchiveerd op 29 september 2021. Geraadpleegd op 29 januari 2021.
- ↑ https://www.lumc.nl/patientenzorg/praktisch/patientenfolders/Acromegalie. Gearchiveerd op 1 februari 2022.
